NUMBL Antibody
-
中文名稱:NUMBL兔多克隆抗體
-
貨號:CSB-PA897595LA01HU
-
規格:¥440
-
圖片:
-
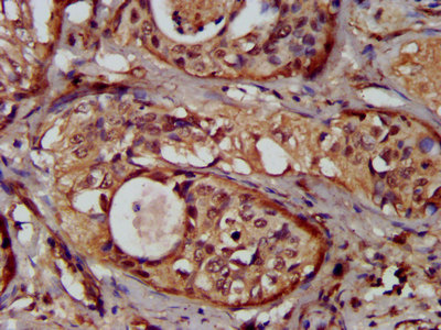
IHC image of CSB-PA897595LA01HU diluted at 1:300 and staining in paraffin-embedded human cervical cancer performed on a Leica BondTM system. After dewaxing and hydration, antigen retrieval was mediated by high pressure in a citrate buffer (pH 6.0). Section was blocked with 10% normal goat serum 30min at RT. Then primary antibody (1% BSA) was incubated at 4°C overnight. The primary is detected by a biotinylated secondary antibody and visualized using an HRP conjugated SP system.
-
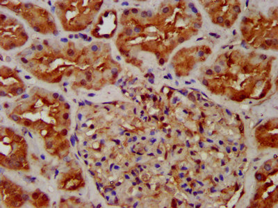
IHC image of CSB-PA897595LA01HU diluted at 1:300 and staining in paraffin-embedded human kidney tissue performed on a Leica BondTM system. After dewaxing and hydration, antigen retrieval was mediated by high pressure in a citrate buffer (pH 6.0). Section was blocked with 10% normal goat serum 30min at RT. Then primary antibody (1% BSA) was incubated at 4°C overnight. The primary is detected by a biotinylated secondary antibody and visualized using an HRP conjugated SP system.
-
Immunofluorescence staining of HepG2 cells with CSB-PA897595LA01HU at 1:100, counter-stained with DAPI. The cells were fixed in 4% formaldehyde, permeabilized using 0.2% Triton X-100 and blocked in 10% normal Goat Serum. The cells were then incubated with the antibody overnight at 4°C. The secondary antibody was Alexa Fluor 488-congugated AffiniPure Goat Anti-Rabbit IgG(H+L).
-
-
其他:
產品詳情
-
產品名稱:Rabbit anti-Homo sapiens (Human) NUMBL Polyclonal antibody
-
Uniprot No.:
-
基因名:
-
別名:CAG 3A antibody; CAG3A antibody; CTG 3a antibody; CTG3a antibody; NBL antibody; NUMB Drosophilia Homolog Like antibody; Numb homolog (Drosophila) like antibody; Numb homolog like antibody; Numb like protein antibody; NUMB R antibody; Numb-like protein antibody; Numb-R antibody; Numb-related gene antibody; Numb-related protein antibody; NUMBL antibody; NUMBL_HUMAN antibody; NUMBLIKE antibody; NUMBR antibody; TNRC 23 antibody; TNRC23 antibody; Trinucleotide repeat-containing gene 23 antibody
-
宿主:Rabbit
-
反應種屬:Human
-
免疫原:Recombinant Human Numb-like protein (447-576AA)
-
免疫原種屬:Homo sapiens (Human)
-
標記方式:Non-conjugated
本頁面中的產品,NUMBL Antibody (CSB-PA897595LA01HU),的標記方式是Non-conjugated。對于NUMBL Antibody,我們還提供其他標記。見下表:
-
克隆類型:Polyclonal
-
抗體亞型:IgG
-
純化方式:>95%, Protein G purified
-
濃度:It differs from different batches. Please contact us to confirm it.
-
保存緩沖液:Preservative: 0.03% Proclin 300
Constituents: 50% Glycerol, 0.01M PBS, pH 7.4 -
產品提供形式:Liquid
-
應用范圍:ELISA, IHC, IF
-
推薦稀釋比:
Application Recommended Dilution IHC 1:200-1:500 IF 1:50-1:200 -
Protocols:
-
儲存條件:Upon receipt, store at -20°C or -80°C. Avoid repeated freeze.
-
貨期:Basically, we can dispatch the products out in 1-3 working days after receiving your orders. Delivery time maybe differs from different purchasing way or location, please kindly consult your local distributors for specific delivery time.
-
用途:For Research Use Only. Not for use in diagnostic or therapeutic procedures.
相關產品
靶點詳情
-
功能:Plays a role in the process of neurogenesis. Required throughout embryonic neurogenesis to maintain neural progenitor cells, also called radial glial cells (RGCs), by allowing their daughter cells to choose progenitor over neuronal cell fate. Not required for the proliferation of neural progenitor cells before the onset of embryonic neurogenesis. Also required postnatally in the subventricular zone (SVZ) neurogenesis by regulating SVZ neuroblasts survival and ependymal wall integrity. Negative regulator of NF-kappa-B signaling pathway. The inhibition of NF-kappa-B activation is mediated at least in part, by preventing MAP3K7IP2 to interact with polyubiquitin chains of TRAF6 and RIPK1 and by stimulating the 'Lys-48'-linked polyubiquitination and degradation of TRAF6 in cortical neurons.
-
基因功能參考文獻:
- NumbL can act as an independent tumor suppressor inhibiting the Notch pathway and regulating the cancer stem cell pool PMID: 27613838
- let-7c inhibits Notch and progression markers but up-regulates Numbl in pancreatic cancer treated with quercetin PMID: 27521217
- Numbl might be involved in the inhibition of growth, proliferation, and invasion of 95-D lung cancer cells. PMID: 23681800
- Numbl-Klf4 signaling is critical to maintain multiple nodes of metastatic progression, including persistence of cancer-initiating cells. PMID: 23440423
- data suggest that Numbl regulates glioma cell migration and invasion by abrogating TRAF5-induced activation of NF-KappaB PMID: 22593207
- NUMBL interacts with TRAF6 and promotes the degradation of TRAF6 in vivo, leading to the inhibition of NF-kappaB signaling pathway. PMID: 20079715
- Both gene sequence alterations and amplifications of LNX1 and Numbl are present in a subset of human gliomas. PMID: 18940473
顯示更多
收起更多
-
亞細胞定位:Cytoplasm.
-
數據庫鏈接:















