OAS3 Antibody
-
中文名稱:OAS3兔多克隆抗體
-
貨號:CSB-PA897591LA01HU
-
規格:¥440
-
圖片:
-
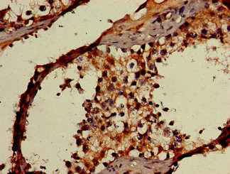
Immunohistochemistry of paraffin-embedded human testis tissue using CSB-PA897591LA01HU at dilution of 1:100
-
Immunohistochemistry of paraffin-embedded human brain tissue using CSB-PA897591LA01HU at dilution of 1:100
-
Immunofluorescent analysis of A549 cells using CSB-PA897591LA01HU at dilution of 1:100 and Alexa Fluor 488-congugated AffiniPure Goat Anti-Rabbit IgG(H+L)
-
-
其他:
產品詳情
-
產品名稱:Rabbit anti-Homo sapiens (Human) OAS3 Polyclonal antibody
-
Uniprot No.:
-
基因名:
-
別名:(2-5'')oligo(A) synthase 3 antibody; 2 5' oligo(A) synthetase 3 antibody; 2 5'LIGO antibody; 2 5A synthetase 3 antibody; 2''-5''-oligoadenylate synthase 3 antibody; 2-5A synthase 3 antibody; MGC133260 antibody; OAS3 2' 5' oligoadenylate synthetase 3, 100kDa antibody; OAS3 antibody; OAS3_HUMAN antibody; p100 antibody; p100 OAS antibody; p100OAS antibody
-
宿主:Rabbit
-
反應種屬:Human
-
免疫原:Recombinant Human 2'-5'-oligoadenylate synthase 3 protein (424-565AA)
-
免疫原種屬:Homo sapiens (Human)
-
標記方式:Non-conjugated
本頁面中的產品,OAS3 Antibody (CSB-PA897591LA01HU),的標記方式是Non-conjugated。對于OAS3 Antibody,我們還提供其他標記。見下表:
-
克隆類型:Polyclonal
-
抗體亞型:IgG
-
純化方式:>95%, Protein G purified
-
濃度:It differs from different batches. Please contact us to confirm it.
-
保存緩沖液:Preservative: 0.03% Proclin 300
Constituents: 50% Glycerol, 0.01M PBS, pH 7.4 -
產品提供形式:Liquid
-
應用范圍:ELISA, IHC, IF
-
推薦稀釋比:
Application Recommended Dilution IHC 1:20-1:200 IF 1:50-1:200 -
Protocols:
-
儲存條件:Upon receipt, store at -20°C or -80°C. Avoid repeated freeze.
-
貨期:Basically, we can dispatch the products out in 1-3 working days after receiving your orders. Delivery time maybe differs from different purchasing way or location, please kindly consult your local distributors for specific delivery time.
-
用途:For Research Use Only. Not for use in diagnostic or therapeutic procedures.
相關產品
靶點詳情
-
功能:Interferon-induced, dsRNA-activated antiviral enzyme which plays a critical role in cellular innate antiviral response. In addition, it may also play a role in other cellular processes such as apoptosis, cell growth, differentiation and gene regulation. Synthesizes preferentially dimers of 2'-5'-oligoadenylates (2-5A) from ATP which then bind to the inactive monomeric form of ribonuclease L (RNase L) leading to its dimerization and subsequent activation. Activation of RNase L leads to degradation of cellular as well as viral RNA, resulting in the inhibition of protein synthesis, thus terminating viral replication. Can mediate the antiviral effect via the classical RNase L-dependent pathway or an alternative antiviral pathway independent of RNase L. Displays antiviral activity against Chikungunya virus (CHIKV), Dengue virus, Sindbis virus (SINV) and Semliki forest virus (SFV).
-
基因功能參考文獻:
- Mitochondrial C11orf83 is a potent antiviral protein independent of interferon production; and knockdown of either OAS3 or RNase L impaired the antiviral capability of C11orf83. PMID: 28418037
- Protein-coding rare variations on the OAS3 gene are associated with the coexistence of HBsAg and anti-HBs in patients with chronic hepatitis B infection in Chinese Han population. PMID: 29582521
- The study findings suggest that the OAS3 rs1859330 G/A genetic polymorphism is associated with the severity of enterovirus 71 (EV71) infection, and that the A allele is a risk factor for the development of severe EV71 infection. PMID: 28444539
- Here we report, to our knowledge, the first analysis of nuclear signal import in the pseudo enzymatic domain DI of human OAS3 PMID: 27379722
- OAS3 displayed a higher affinity for dsRNA in intact cells than either OAS1 or OAS2, consistent with its dominant role in RNase L activation. PMID: 26858407
- By means of an allelic association study of a cohort of 740 patients with dengue, the authors found a protective effect of OAS3_R381 against shock. PMID: 26063222
- Common variation at 12q24.13 (OAS3 intron) influences chronic lymphocytic leukemia risk. PMID: 25363670
- The combined high affinity for double-stranded RNA and the capability to produce 2'-5'-linked oligoadenylates of sufficient length to activate RNase L suggests that OAS3 is a potent activator of RNase L. PMID: 25275129
- OAS are interferon-inducible enzymes catalyzing 2'-5' instead of 3'-5' phosphodiester bond formation [review] PMID: 17408844
顯示更多
收起更多
-
亞細胞定位:Cytoplasm. Nucleus.
-
蛋白家族:2-5A synthase family
-
組織特異性:Present at high level in placenta trophoblast.
-
數據庫鏈接:
Most popular with customers
-
-
Phospho-YAP1 (S127) Recombinant Monoclonal Antibody
Applications: ELISA, WB, IHC
Species Reactivity: Human
-
-
-
-
-
-















