OGN Antibody
-
中文名稱:OGN兔多克隆抗體
-
貨號:CSB-PA016314LA01HU
-
規格:¥440
-
圖片:
-
Western blot
All lanes: OGN antibody at 14µg/ml
Lane 1: Rat liver tissue
Lane 2: 293T whole cell lysate
Secondary
Goat polyclonal to rabbit IgG at 1/10000 dilution
Predicted band size: 34 kDa
Observed band size: 34 kDa -
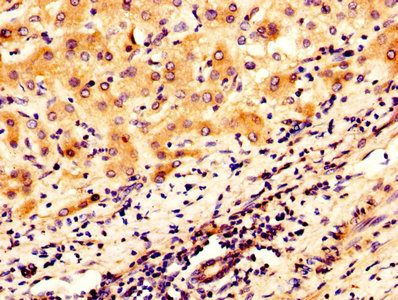
IHC image of CSB-PA016314LA01HU diluted at 1:300 and staining in paraffin-embedded human liver cancer performed on a Leica BondTM system. After dewaxing and hydration, antigen retrieval was mediated by high pressure in a citrate buffer (pH 6.0). Section was blocked with 10% normal goat serum 30min at RT. Then primary antibody (1% BSA) was incubated at 4°C overnight. The primary is detected by a biotinylated secondary antibody and visualized using an HRP conjugated SP system.
-
Immunofluorescence staining of HepG2 cells with CSB-PA016314LA01HU at 1:100, counter-stained with DAPI. The cells were fixed in 4% formaldehyde, permeabilized using 0.2% Triton X-100 and blocked in 10% normal Goat Serum. The cells were then incubated with the antibody overnight at 4°C. The secondary antibody was Alexa Fluor 488-congugated AffiniPure Goat Anti-Rabbit IgG(H+L).
-
-
其他:
產品詳情
-
產品名稱:Rabbit anti-Homo sapiens (Human) OGN Polyclonal antibody
-
Uniprot No.:
-
基因名:OGN
-
別名:Corneal keratan sulfate proteoglycan antibody; DKFZP586P2421 antibody; MIME_HUMAN antibody; Mimecan antibody; Mimecan proteoglycan antibody; OG antibody; OGN antibody; OIF antibody; Osteoglycin antibody; Osteoinductive factor antibody; SLRR3A antibody
-
宿主:Rabbit
-
反應種屬:Human, Rat
-
免疫原:Recombinant Human Mimecan protein (21-298AA)
-
免疫原種屬:Homo sapiens (Human)
-
標記方式:Non-conjugated
本頁面中的產品,OGN Antibody (CSB-PA016314LA01HU),的標記方式是Non-conjugated。對于OGN Antibody,我們還提供其他標記。見下表:
-
克隆類型:Polyclonal
-
抗體亞型:IgG
-
純化方式:>95%, Protein G purified
-
濃度:It differs from different batches. Please contact us to confirm it.
-
保存緩沖液:Preservative: 0.03% Proclin 300
Constituents: 50% Glycerol, 0.01M PBS, PH 7.4 -
產品提供形式:Liquid
-
應用范圍:ELISA, WB, IHC, IF
-
推薦稀釋比:
Application Recommended Dilution WB 1:1000-1:5000 IHC 1:200-1:500 IF 1:50-1:200 -
Protocols:
-
儲存條件:Upon receipt, store at -20°C or -80°C. Avoid repeated freeze.
-
貨期:Basically, we can dispatch the products out in 1-3 working days after receiving your orders. Delivery time maybe differs from different purchasing way or location, please kindly consult your local distributors for specific delivery time.
-
用途:For Research Use Only. Not for use in diagnostic or therapeutic procedures.
相關產品
靶點詳情
-
功能:Induces bone formation in conjunction with TGF-beta-1 or TGF-beta-2.
-
基因功能參考文獻:
- OGN expression is positively associated with CD8+ cell density in colorectal cancer tissue, suggesting a possible influence of OGN expression on tumor reactive T cells in the tumor niche. PMID: 30037719
- Results provide evidence that osteoglycin expression is increased in the heart in response to pressure overload and its absence results in increased cardiac inflammation and fibrosis resulting in increased diastolic dysfunction. PMID: 28958774
- OGN identified as a novel oncogene in meningioma proliferation. PMID: 28931407
- serum osteoglycin is a potential predictor of adverse outcomes in patients with chronic kidney disease. PMID: 28824047
- NK cells promote fetal development through the secretion of growth-promoting factors, pleiotrophin and osteoglycin. PMID: 29262349
- Increased serum mimecan is associated with poor angiographic coronary collateralization in patients with chronic total occlusion PMID: 27508318
- the association of serum OGN and FAM5C levels and muscle mass with bone mineral density (BMD), bone turnover markers, and the presence of vertebral fractures (VFs) in 156 postmenopausal women with type 2 diabetes mellitus, is reported. PMID: 27836731
- OGN plays a critical role in negatively regulating ischaemia-induced angiogenesis by inhibiting VEGF-VEGFR2 signalling and thereby attenuating endothelial cells tube formation, proliferation, and migration. PMID: 28069703
- The current study discovered a novel 72-kDa chondroitin sulfate-OGN that is specific for innate immune cells. This variant is able to bind and activate TLR4. PMID: 27878326
- mimecan is a satiety hormone in adipose tissue, and that mimecan inhibits food intake independently of leptin signaling by inducing IL-1beta and IL-6 expression in the hypothalamus. PMID: 26870797
- Increased plasma mimecan levels are independently associated with increased arterial stiffness in hypertensive patients. PMID: 26206738
- OIF may be an indicator of the earlier-stage diabetic nephropathy in subjects with type 2 diabetes mellitus PMID: 26045825
- OGN might play a role in the development of Ovarian Cancer, and may be a therapeutic target in OC. PMID: 25953442
- The lack of the proteoglycan OGN does not affect the progression of atherosclerosis in mice. Possible causes for the absence of phenotype in the Apoe/Ogn double mutants are discussed. PMID: 25463067
- Circulating OGN and NGAL/MMP9 complex are promising biomarkers that are expressed in vulnerable atherosclerotic plaques and may have incremental value for prediction of MACE within 1 year after coronary angiography. PMID: 24651681
- We found that IGF-2 and IGFBP2 synergistically increased neurite outgrowth via enhanced early signaling through the IGF type 1 receptor. PMID: 23714241
- This work provides insight into the regulating mechanism of mimecan in pituitary and suggests that mimecan may be an unidentified pituitary secretory protein, and certain pituitary cells secreting ACTH or GH also secrete mimecan. PMID: 16189248
- All adenoma and cancer tissues did not express mimecan, but all normal mucosa did (P < 0.01). PMID: 17895523
- High expression in the cochlea may be suggestive of a fundamental role for a transcript in the auditory system PMID: 18243607
- Includes the characterization of two human splice variants. PMID: 10373482
顯示更多
收起更多
-
亞細胞定位:Secreted, extracellular space, extracellular matrix.
-
蛋白家族:Small leucine-rich proteoglycan (SLRP) family, SLRP class III subfamily
-
組織特異性:Bone.
-
數據庫鏈接:
Most popular with customers
-
-
YWHAB Recombinant Monoclonal Antibody
Applications: ELISA, WB, IHC, IF, FC
Species Reactivity: Human, Mouse, Rat
-
Phospho-YAP1 (S127) Recombinant Monoclonal Antibody
Applications: ELISA, WB, IHC
Species Reactivity: Human
-
-
-
-
-















