OPA3 Antibody
-
中文名稱:OPA3兔多克隆抗體
-
貨號:CSB-PA880985ESR1HU
-
規格:¥440
-
圖片:
-
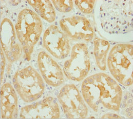
Immunohistochemistry of paraffin-embedded human kidney tissue using CSB-PA880985ESR1HU at dilution of 1:100
-
Immunohistochemistry of paraffin-embedded human gastric cancer using CSB-PA880985ESR1HU at dilution of 1:100
-
Immunofluorescent analysis of Hela cells using CSB-PA880985ESR1HU at dilution of 1:100 and Alexa Fluor 488-congugated AffiniPure Goat Anti-Rabbit IgG(H+L)
-
-
其他:
產品詳情
-
產品名稱:Rabbit anti-Homo sapiens (Human) OPA3 Polyclonal antibody
-
Uniprot No.:
-
基因名:OPA3
-
別名:OPA3 antibody; Optic atrophy 3 protein antibody
-
宿主:Rabbit
-
反應種屬:Human
-
免疫原:Recombinant Human Optic atrophy 3 protein (25-179AA)
-
免疫原種屬:Homo sapiens (Human)
-
標記方式:Non-conjugated
-
克隆類型:Polyclonal
-
抗體亞型:IgG
-
純化方式:Antigen Affinity Purified
-
濃度:It differs from different batches. Please contact us to confirm it.
-
保存緩沖液:PBS with 0.02% sodium azide, 50% glycerol, pH7.3.
-
產品提供形式:Liquid
-
應用范圍:ELISA, IHC, IF
-
推薦稀釋比:
Application Recommended Dilution IHC 1:20-1:200 IF 1:50-1:200 -
Protocols:
-
儲存條件:Upon receipt, store at -20°C or -80°C. Avoid repeated freeze.
-
貨期:Basically, we can dispatch the products out in 1-3 working days after receiving your orders. Delivery time maybe differs from different purchasing way or location, please kindly consult your local distributors for specific delivery time.
-
用途:For Research Use Only. Not for use in diagnostic or therapeutic procedures.
相關產品
靶點詳情
-
功能:May play some role in mitochondrial processes.
-
基因功能參考文獻:
- Mutations of the OPA3 gene can cause either autosomal dominant or autosomal recessive optic atrophy. PMID: 25205859
- Report the results of a comprehensive study on OPA3 mutations, including the mutation spectrum and its prevalence in a large cohort of ADOA patients, the associated clinical phenotype and the functional characterisation of a newly identified OPA3 mutant. PMID: 24136862
- A novel missense mutation identifies OPA3 as the cause of a complex neurological disorder with marked lower limb dystonia. PMID: 23700088
- OPA1 mutations are the most common genetic defects identified in patients with suspected Autosomal-dominant optic atrophy (DOA), whereas OPA3 mutations are very rare in isolated optic atrophy cases. PMID: 21036400
- OPA3, as an integral mitochondrial outer membane perotein, has a crucial role in mitochondrial fission, and provides a direct link between mitochondrial morphology and optic atrophy. PMID: 20372962
- findings thus place the cellular metabolic defect of 3-methylglutaconic aciduria type III in the mitochondrion rather than the peroxisome and implicate loss of OPA3A rather than gain of OPA3B in disease etiology. PMID: 20350831
- two missense mutations in OPA3 in two families affected by autosomal dominant optic atrophy and cataract (ADOAC) PMID: 15342707
- patient with Costeff syndrome presenting the characteristics of this syndrome and the single-nucleotide polymorphic gene that causes this disease. PMID: 16838891
- OPA1 mutations, mtDNA mutations, and OPA3 mutations in 980 patients Leber's hereditary optic neuropathy and autosomal dominant optic atrophy PMID: 19319978
- The mouse ortholog of OPA3 purifies with mitochondrial inner membranes. PMID: 12865426
- The mouse ortholog of OPA3 purifies with mitochondria PMID: 18614015
- type III 3-methylglutaconic aciduria (optic atrophy plus syndrome, or Costeff optic atrophy syndrome): identification of the OPA3 gene and its founder mutation in Iraqi Jews PMID: 11668429
顯示更多
收起更多
-
相關疾病:3-methylglutaconic aciduria 3 (MGA3); Optic atrophy 3 (OPA3)
-
亞細胞定位:Mitochondrion.
-
蛋白家族:OPA3 family
-
組織特異性:Ubiquitous. Most prominent expression in skeletal muscle and kidney.
-
數據庫鏈接:
Most popular with customers
-
YWHAB Recombinant Monoclonal Antibody
Applications: ELISA, WB, IHC, IF, FC
Species Reactivity: Human, Mouse, Rat
-
Phospho-YAP1 (S127) Recombinant Monoclonal Antibody
Applications: ELISA, WB, IHC
Species Reactivity: Human
-
-
-
-
-
-















