ORMDL3 Antibody
-
中文名稱:ORMDL3兔多克隆抗體
-
貨號:CSB-PA854016LA01HU
-
規格:¥440
-
圖片:
-
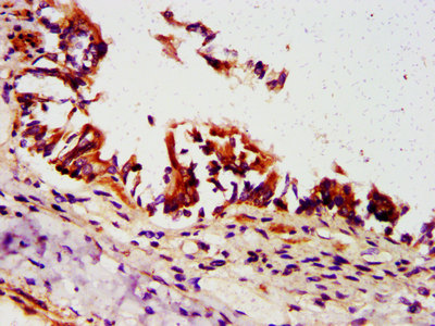
IHC image of CSB-PA854016LA01HU diluted at 1:500 and staining in paraffin-embedded human lung tissue performed on a Leica BondTM system. After dewaxing and hydration, antigen retrieval was mediated by high pressure in a citrate buffer (pH 6.0). Section was blocked with 10% normal goat serum 30min at RT. Then primary antibody (1% BSA) was incubated at 4°C overnight. The primary is detected by a biotinylated secondary antibody and visualized using an HRP conjugated SP system.
-
Immunofluorescence staining of PC-3 cells with CSB-PA854016LA01HU at 1:166, counter-stained with DAPI. The cells were fixed in 4% formaldehyde, permeabilized using 0.2% Triton X-100 and blocked in 10% normal Goat Serum. The cells were then incubated with the antibody overnight at 4°C. The secondary antibody was Alexa Fluor 488-congugated AffiniPure Goat Anti-Rabbit IgG(H+L).
-
-
其他:
產品詳情
-
產品名稱:Rabbit anti-Homo sapiens (Human) ORMDL3 Polyclonal antibody
-
Uniprot No.:
-
基因名:ORMDL3
-
別名:ORMDL3; ORM1-like protein 3
-
宿主:Rabbit
-
反應種屬:Human
-
免疫原:Recombinant Human ORM1-like protein 3 protein (43-94AA)
-
免疫原種屬:Homo sapiens (Human)
-
標記方式:Non-conjugated
本頁面中的產品,ORMDL3 Antibody (CSB-PA854016LA01HU),的標記方式是Non-conjugated。對于ORMDL3 Antibody,我們還提供其他標記。見下表:
-
克隆類型:Polyclonal
-
抗體亞型:IgG
-
純化方式:>95%, Protein G purified
-
濃度:It differs from different batches. Please contact us to confirm it.
-
保存緩沖液:Preservative: 0.03% Proclin 300
Constituents: 50% Glycerol, 0.01M PBS, pH 7.4 -
產品提供形式:Liquid
-
應用范圍:ELISA, IHC, IF
-
推薦稀釋比:
Application Recommended Dilution IHC 1:500-1:1000 IF 1:50-1:200 -
Protocols:
-
儲存條件:Upon receipt, store at -20°C or -80°C. Avoid repeated freeze.
-
貨期:Basically, we can dispatch the products out in 1-3 working days after receiving your orders. Delivery time maybe differs from different purchasing way or location, please kindly consult your local distributors for specific delivery time.
-
用途:For Research Use Only. Not for use in diagnostic or therapeutic procedures.
相關產品
靶點詳情
-
功能:Negative regulator of sphingolipid synthesis. May indirectly regulate endoplasmic reticulum-mediated Ca(+2) signaling.
-
基因功能參考文獻:
- ORMDL3 inhibits the generation of sphingolipids including ceramide and S1P PMID: 27826095
- These associations with ORMDL3 are cell type specific, with the most significant 17q21 genotype effects on ORMDL3 expression and HSPA5 induction evident in B cells. Together, these findings have implications for how the interaction of increased ORMDL3 and rhinovirus may predispose to asthma. PMID: 28192616
- IRF-3 is an important regulator of ORMDL3 induction following RSV infection by binding directly to the promoter of ORMDL3 PMID: 28336364
- MiR-665 induced apoptosis by inhibiting XBP1 and ORMDL3. PMID: 28333149
- These studies suggest that increased levels of ORMDL3 contribute to antiviral defense to rhinovirus infection in mice (hORMDL3(zp3-Cre) mice which have universal increased expression of human ORMDL3) through pathways that may include IFNs (IFN-alpha, IFN-beta, IFN-lambda), OAS, and RNAse L. PMID: 28827284
- this study demonstrated the upregulation of ORMDL3 in patients with systemic lupus erythematosus PMID: 28747345
- ORMDL3 might influence de novo sphingolipid metabolism downstream of serine palmitoyltransferase PMID: 27645259
- modest changes (8-13%) in promoter methylation levels of ZPBP2 and GSDMA may cause substantial changes in RNA levels and allelic expression of ZPBP2 and ORMDL3 is mediated by DNA methylation PMID: 28241063
- Decreased ORMDL3 expression increased levels of free sphingoid bases and sphingoid base phosphates, and also caused increases in cellular levels of ceramides. PMID: 27313060
- ORMDL3 overexpression is associated with asthma. PMID: 27784618
- The TT homozygote and the T allele of rs7216389 in ORMDL3 increased bronchiolitis risk. The rs7216389 polymorphism may be a predictor for identifying infants with predisposition to virus-induced wheezing to persistent asthma. PMID: 26782568
- Two single nucleotide polymorphisms regulating ORMDL3 expression (rs7216389 and rs9303277) significantly associated with atherosclerosis risk and the evidence of increased ORMDL3 expression in AS cases compared to controls. PMID: 26603569
- The SNP (rs7216389) of ORMDL3 does not influence the expression of OPN and TGF-beta1, suggesting that it may not be associated with airway remodeling. PMID: 27097577
- ORMDL3 variants have been shown to be associated with Asthma in children with Rhinovirus infections -induced wheezing illnesses. PMID: 26270739
- The meta-analysis indicates that ORMDL3 rs7216389 may contribute to increasing susceptibility to asthma. (Meta-analysis) PMID: 26125920
- genetic polymorphisms are associated with childhood asthma, and with changes in TH2 cytokines levels PMID: 25930191
- the contribution of ORMDL3 to asthma risk may involve changes in sphingolipid metabolism PMID: 25691431
- results show that Cbl-b suppresses human ORMDL3 expression through STAT6 PMID: 26112603
- Pro-inflammatory gene ORMDL3 SNP rs12603332 may be associated with high LysoPC and apoB levels, which leads to the occurrence of childhood asthma. PMID: 25815492
- Studies indicate that genetic variation of the ORMDL3 rs7216389 polymorphism may be a major independent predisposing factor for asthma in ethnically diverse populations. PMID: 25167772
- The ORMDL3 locus on chromosome 17q21 is a risk factor for childhood-onset asthma in the Northeastern Han Chinese population. PMID: 24649901
- All-trans retinoic acid modulates ORMDL3 expression via transcriptional regulation. PMID: 24204796
- results suggest that rs2872507 is associated with ORMDL3 gene expression and with inhaled corticosteroid treatment response in children with atopic asthma. PMID: 22986918
- Genetic variants of ORMDL3 on chromosome 17q21 are associated with ankylosing spondylitis susceptibility and severity in a Chinese Han population. PMID: 24219690
- signaling pathway cAMP/PKA/CREB plays an important role in regulating ORMDL3 expression PMID: 23577138
- The ORMDL3 gene influences childhood asthma and that the TT genotype of the rs7216389 polymorphism is associated with childhood asthma in the Chinese population. PMID: 23096927
- A polymorphism in ORMDL3 is associated not only with asthma without rhinitis but also with chronic obstructive pulmonary disease. PMID: 23964555
- We have shown that ORMDL3 expression levels modify T-cell calcium signaling and lymphocyte activation. PMID: 23100328
- STAT6 plays important roles in regulating the expression of human ORMDL3 by directly binding to the promoter region. PMID: 23461825
- ORMDL3 genetic variants in the 17q21 asthma susceptibility locus are significantly associated with AR in the Japanese population. PMID: 23157251
- Data show that transfection of ORMDL3 in bronchial epithelial cells induced expression of MMP-9, ADAM-8, CCL-20, IL-8, CXCL-10, CXCL-11, oligoadenylate synthetases (OAS) genes, and selectively activated activating transcription factor 6 (ATF6). PMID: 23011799
- allele-specific transcriptional regulation of genes in the asthma-associated chromosomal region 17q12-q21; rs4795397 influences activity of ZPBP2 promoter in an allele-dependent fashion; methylation of exon 1 of ZPBP2 masks the genetic effect on ZPBP2 promoter; ORMDL3 promoter is unmethylated PMID: 22271045
- Several polymorphisms in ORMDL3, including rs7216389, rs4378650, rs8076131 and rs4795405, have been associated with childhood asthma risk. PMID: 22017802
- This study reveals the presence of a novel ORMDL3 splicing isoform, ORMDL3 V1 in human. PMID: 22015541
- The TTAA haplotype of the ORMDL3 gene is marginally associated with asthma in the adult Czech population, and TCAG haplotype is significantly associated with asthma in males. PMID: 21843571
- Results suggest an association of 17q21 polymorphisms with ORMDL3, GSDMA expression, and IL-17 secretion early in life. These observations may imply a functional role of the 17q21 locus affecting T-cell development during immune maturation. PMID: 21546069
- analysis of whole-genome SNP data in 986 self-reported asthma cases and 1846 controls confirms that variants in ORMDL3 associate with asthma in European and North American populations PMID: 21150878
- Data indicat that Association analysis using risk variants for CD led to the identification of a new risk variant associated with AS, ORMDL3. PMID: 21072187
- ORMDL3 binds and inhibits SERCA resulting in a reduced ER Ca(2+) concentration and increased unfolded-protein response. PMID: 19819884
- results indicate that genetic variants regulating ORMDL3 expression are determinants of susceptibility to childhood asthma PMID: 17611496
- a significant association between susceptibility to childhood atopic asthma and the polymorphism regulating ORMDL3 expression in a Japanese population PMID: 18155279
- results confirm associations between two SNPs within ORMDL3 and asthma in Mexicans and African Americans, and a trend toward association in Puerto Ricans PMID: 18310477
- A common genetic variation at a locus (rs7216389) controlling expression of the ORMDL3 gene increases patient susceptibility to asthma and is associated with poor control of asthma symptoms in children and young adults. PMID: 18395550
- ORMDL3 variants associated with asthma susceptibility in North Americans of European ancestry. PMID: 18760456
- Childhood asthma and atopy are associated with chromosome 17q21 in Chinese, but such association may involve genes other than ORMDL3 in this region. PMID: 19175592
- multiple SNP associations were replicated in both IRAK-3 and ORMDL3, these likely reflect a single disease susceptibility locus in each gene PMID: 19264973
顯示更多
收起更多
-
相關疾病:Asthma (ASTHMA)
-
亞細胞定位:Endoplasmic reticulum membrane; Multi-pass membrane protein.
-
蛋白家族:ORM family
-
組織特異性:Widely expressed. Expressed in adult and fetal heart, brain, lung, liver, skeletal muscle and kidney. Expressed in adult pancreas and placenta and in fetal spleen abd thymus.
-
數據庫鏈接:
Most popular with customers
-
-
Phospho-YAP1 (S127) Recombinant Monoclonal Antibody
Applications: ELISA, WB, IHC
Species Reactivity: Human
-
-
-
-
-
-















