PARP10 Antibody
-
中文名稱:PARP10兔多克隆抗體
-
貨號:CSB-PA776699
-
規格:¥1100
-
圖片:
-
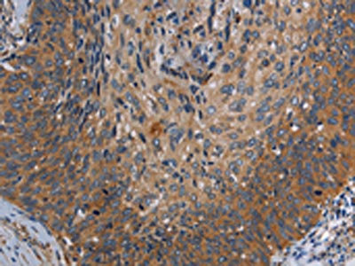
The image on the left is immunohistochemistry of paraffin-embedded Human ovarian cancer tissue using CSB-PA776699(PARP10 Antibody) at dilution 1/30, on the right is treated with synthetic peptide. (Original magnification: ×200)
-
The image on the left is immunohistochemistry of paraffin-embedded Human cervical cancer tissue using CSB-PA776699(PARP10 Antibody) at dilution 1/30, on the right is treated with synthetic peptide. (Original magnification: ×200)
-
-
其他:
產品詳情
-
Uniprot No.:
-
基因名:PARP10
-
別名:PARP10 antibody; Protein mono-ADP-ribosyltransferase PARP10 antibody; EC 2.4.2.- antibody; ADP-ribosyltransferase diphtheria toxin-like 10 antibody; ARTD10 antibody; Poly [ADP-ribose] polymerase 10 antibody; PARP-10 antibody
-
宿主:Rabbit
-
反應種屬:Human
-
免疫原:Synthetic peptide of Human PARP10
-
免疫原種屬:Homo sapiens (Human)
-
標記方式:Non-conjugated
-
抗體亞型:IgG
-
純化方式:Antigen affinity purification
-
濃度:It differs from different batches. Please contact us to confirm it.
-
保存緩沖液:-20°C, pH7.4 PBS, 0.05% NaN3, 40% Glycerol
-
產品提供形式:Liquid
-
應用范圍:ELISA,IHC
-
推薦稀釋比:
Application Recommended Dilution ELISA 1:2000-1:5000 IHC 1:50-1:200 -
Protocols:
-
儲存條件:Upon receipt, store at -20°C or -80°C. Avoid repeated freeze.
-
貨期:Basically, we can dispatch the products out in 1-3 working days after receiving your orders. Delivery time maybe differs from different purchasing way or location, please kindly consult your local distributors for specific delivery time.
-
用途:For Research Use Only. Not for use in diagnostic or therapeutic procedures.
相關產品
靶點詳情
-
功能:ADP-ribosyltransferase that mediates mono-ADP-ribosylation of glutamate and aspartate residues on target proteins. In contrast to PARP1 and PARP2, it is not able to mediate poly-ADP-ribosylation. Catalyzes mono-ADP-ribosylation of GSK3B, leading to negatively regulate GSK3B kinase activity. Involved in translesion DNA synthesis in response to DNA damage via its interaction with PCNA.
-
基因功能參考文獻:
- PARP10 expression decreased upon fasting, a condition that is characterized by increases in mitochondrial biogenesis. Finally, lower PARP10 expression is associated with increased fatty acid oxidation PMID: 29293500
- ARTD10 plays roles in immunity, metabolism ,apoptosis and DNA damage repair. [review] PMID: 24878761
- PARP10 binding to PCNA is required for translesion DNA synthesis. PMID: 24695737
- study results show that the interaction between PARP10 and NS1 of H5N1 avian influenza virus can change cell cycle, and PARP10 can affect virus replication PMID: 22176891
- novel PARP enzyme involved in the control of cell proliferation PMID: 15674325
- Overexpression of PARP10 results in loss of cell viability, although down-expression by short hairpin RNA leads to delayed G1 progression and concomitant cell death. PMID: 16455663
- alternative catalytic mechanism for PARP10 compared to PARP1 in which the acidic target residue of the substrate functionally substitutes for the catalytic glutamate by using substrate-assisted catalysis to transfer ADP-ribose PMID: 18851833
顯示更多
收起更多
-
亞細胞定位:Nucleus, nucleolus. Cytoplasm.
-
組織特異性:Highly expressed in spleen and thymus. Intermediate levels in liver, kidney, pancreas, prostate, testis, ovary, intestine, and leukocytes. Low expression in heart, brain, placenta, lung, skeletal muscle, and colon.
-
數據庫鏈接:
Most popular with customers
-
-
YWHAB Recombinant Monoclonal Antibody
Applications: ELISA, WB, IHC, IF, FC
Species Reactivity: Human, Mouse, Rat
-
Phospho-YAP1 (S127) Recombinant Monoclonal Antibody
Applications: ELISA, WB, IHC
Species Reactivity: Human
-
-
-
-
-















