PARS2 Antibody
-
中文名稱:PARS2兔多克隆抗體
-
貨號:CSB-PA745334LA01HU
-
規格:¥440
-
圖片:
-
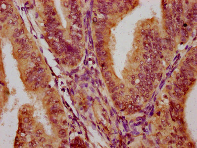
IHC image of CSB-PA745334LA01HU diluted at 1:300 and staining in paraffin-embedded human endometrial cancer performed on a Leica BondTM system. After dewaxing and hydration, antigen retrieval was mediated by high pressure in a citrate buffer (pH 6.0). Section was blocked with 10% normal goat serum 30min at RT. Then primary antibody (1% BSA) was incubated at 4°C overnight. The primary is detected by a biotinylated secondary antibody and visualized using an HRP conjugated SP system.
-
IHC image of CSB-PA745334LA01HU diluted at 1:300 and staining in paraffin-embedded human colon cancer performed on a Leica BondTM system. After dewaxing and hydration, antigen retrieval was mediated by high pressure in a citrate buffer (pH 6.0). Section was blocked with 10% normal goat serum 30min at RT. Then primary antibody (1% BSA) was incubated at 4°C overnight. The primary is detected by a biotinylated secondary antibody and visualized using an HRP conjugated SP system.
-
-
其他:
產品詳情
-
產品名稱:Rabbit anti-Homo sapiens (Human) PARS2 Polyclonal antibody
-
Uniprot No.:
-
基因名:PARS2
-
別名:PARS2 antibody; Probable proline--tRNA ligase antibody; mitochondrial antibody; EC 6.1.1.15 antibody; Prolyl-tRNA synthetase antibody; ProRS antibody
-
宿主:Rabbit
-
反應種屬:Human
-
免疫原:Recombinant Human Probable proline--tRNA ligase, mitochondrial protein (126-258AA)
-
免疫原種屬:Homo sapiens (Human)
-
標記方式:Non-conjugated
本頁面中的產品,PARS2 Antibody (CSB-PA745334LA01HU),的標記方式是Non-conjugated。對于PARS2 Antibody,我們還提供其他標記。見下表:
-
克隆類型:Polyclonal
-
抗體亞型:IgG
-
純化方式:>95%, Protein G purified
-
濃度:It differs from different batches. Please contact us to confirm it.
-
保存緩沖液:Preservative: 0.03% Proclin 300
Constituents: 50% Glycerol, 0.01M PBS, pH 7.4 -
產品提供形式:Liquid
-
應用范圍:ELISA, IHC
-
推薦稀釋比:
Application Recommended Dilution IHC 1:200-1:500 -
Protocols:
-
儲存條件:Upon receipt, store at -20°C or -80°C. Avoid repeated freeze.
-
貨期:Basically, we can dispatch the products out in 1-3 working days after receiving your orders. Delivery time maybe differs from different purchasing way or location, please kindly consult your local distributors for specific delivery time.
-
用途:For Research Use Only. Not for use in diagnostic or therapeutic procedures.
相關產品
靶點詳情
-
基因功能參考文獻:
- study provides further evidence for validating the role of PARS2 in the pathology of related infantile-onset encephalopathy, contributing to the phenotypic features of this condition, and providing clinical and molecular insight for the diagnosis of this disease entity. PMID: 29915213
- Depending on available data of six patients from three families, we describe a phenotype linked to PARS2 pathological variants. This phenotype includes: early epileptic encephalopathy, infantile spasms, and Alpers-like brain MRI changes with predominance of frontal cerebral volume loss (FCVL-AS). PMID: 29410512
- The individuals with PARS2 and NARS2 mutations demonstrate similar neurological features as those previously reported, with diversity in clinical presentation such as hearing loss and seizure type. PMID: 28077841
- The PARS2 gene produced a significant association signal in a recent replication study of all known CRS-associations and is now the first human gene to be re-sequenced within CRS research. PARS2 showed an accumulation of low-frequency variants in CRS patients compared to background populations. PMID: 27348859
- unusual 2.0 A structure showing that ATP directly locks onto and orients two parts of halofuginone (HF) onto human ProRS, so that one part of HF mimics bound proline and the other mimics the 3' end of bound tRNA. PMID: 23263184
顯示更多
收起更多
-
亞細胞定位:Mitochondrion matrix.
-
蛋白家族:Class-II aminoacyl-tRNA synthetase family
-
數據庫鏈接:
Most popular with customers
-
-
YWHAB Recombinant Monoclonal Antibody
Applications: ELISA, WB, IHC, IF, FC
Species Reactivity: Human, Mouse, Rat
-
Phospho-YAP1 (S127) Recombinant Monoclonal Antibody
Applications: ELISA, WB, IHC
Species Reactivity: Human
-
-
-
-
-















