PAXIP1 Antibody
-
中文名稱:PAXIP1兔多克隆抗體
-
貨號:CSB-PA761652LA01HU
-
規格:¥440
-
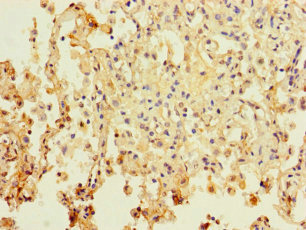
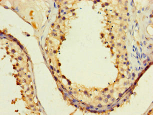
圖片:
-
其他:
產品詳情
-
產品名稱:Rabbit anti-Homo sapiens (Human) PAXIP1 Polyclonal antibody
-
Uniprot No.:
-
基因名:PAXIP1
-
別名:CAGF 28 antibody; CAGF 29 antibody; CAGF28 antibody; CAGF29 antibody; FLJ41049 antibody; PACIP 1 antibody; PACIP1 antibody; PAX interacting (with transcription activation domain) protein 1 antibody; PAX interacting protein 1 antibody; PAX transactivation activation domain-interacting protein antibody; PAX transcription activation domain interacting protein 1 like antibody; PAX-interacting protein 1 antibody; PAXI1_HUMAN antibody; PAXIP 1 antibody; PAXIP 1L antibody; paxip1 antibody; PAXIP1 protein antibody; PAXIP1L antibody; Protein encoded by CAG trinucleotide repeats antibody; PTIP antibody; TNRC 2 antibody; TNRC2 antibody
-
宿主:Rabbit
-
反應種屬:Human
-
免疫原:Recombinant Human PAX-interacting protein 1 protein (613-812AA)
-
免疫原種屬:Homo sapiens (Human)
-
標記方式:Non-conjugated
本頁面中的產品,PAXIP1 Antibody (CSB-PA761652LA01HU),的標記方式是Non-conjugated。對于PAXIP1 Antibody,我們還提供其他標記。見下表:
-
克隆類型:Polyclonal
-
抗體亞型:IgG
-
純化方式:>95%, Protein G purified
-
濃度:It differs from different batches. Please contact us to confirm it.
-
保存緩沖液:Preservative: 0.03% Proclin 300
Constituents: 50% Glycerol, 0.01M PBS, PH 7.4 -
產品提供形式:Liquid
-
應用范圍:ELISA, IHC
-
推薦稀釋比:
Application Recommended Dilution IHC 1:20-1:200 -
Protocols:
-
儲存條件:Upon receipt, store at -20°C or -80°C. Avoid repeated freeze.
-
貨期:Basically, we can dispatch the products out in 1-3 working days after receiving your orders. Delivery time maybe differs from different purchasing way or location, please kindly consult your local distributors for specific delivery time.
-
用途:For Research Use Only. Not for use in diagnostic or therapeutic procedures.
相關產品
靶點詳情
-
功能:Involved in DNA damage response and in transcriptional regulation through histone methyltransferase (HMT) complexes. Plays a role in early development. In DNA damage response is required for cell survival after ionizing radiation. In vitro shown to be involved in the homologous recombination mechanism for the repair of double-strand breaks (DSBs). Its localization to DNA damage foci requires RNF8 and UBE2N. Recruits TP53BP1 to DNA damage foci and, at least in particular repair processes, effective DNA damage response appears to require the association with TP53BP1 phosphorylated by ATM at 'Ser-25'. Together with TP53BP1 regulates ATM association. Proposed to recruit PAGR1 to sites of DNA damage and the PAGR1:PAXIP1 complex is required for cell survival in response to DNA damage; the function is probably independent of MLL-containing histone methyltransferase (HMT) complexes. However, this function has been questioned. Promotes ubiquitination of PCNA following UV irradiation and may regulate recruitment of polymerase eta and RAD51 to chromatin after DNA damage. Proposed to be involved in transcriptional regulation by linking MLL-containing histone methyltransferase (HMT) complexes to gene promoters by interacting with promoter-bound transcription factors such as PAX2. Associates with gene promoters that are known to be regulated by KMT2D/MLL2. During immunoglobulin class switching in activated B-cells is involved in trimethylation of histone H3 at 'Lys-4' and in transcription initiation of downstream switch regions at the immunoglobulin heavy-chain (Igh) locus; this function appears to involve the recruitment of MLL-containing HMT complexes. Conflictingly, its function in transcriptional regulation during immunoglobulin class switching is reported to be independent of the MLL2/MLL3 complex.
-
基因功能參考文獻:
- PAXIP1 and 53BP1 protein levels followed gene expression results, i.e., are intrinsically correlated, and also reduced in more advanced breast cancer tumors. PMID: 28475402
- PAXIP1 is involved in sensitizing lung cancer cells to the WEE1 inhibitor AZD1775 in combination with platinum-based treatment. PMID: 27196765
- PTIP promotes double-strand break repair through a direct role in homologous recombination. PMID: 20088963
- PPM1B can dephosphorylate the Pax2 activation domain and displace the adaptor protein PTIP, thus inhibiting H3K4 methylation and gene activation. PMID: 25631048
- uncovered a nuclease, Artemis, as a PTIP-binding protein PMID: 25512557
- PITX2 and PTIP co-occupy the promoter of the PITX2's transcriptional target. PMID: 24486544
- Polyglutamine expansion AR sequesters PTIP to attenuate DNA repair and increase genomic instability. PMID: 22736030
- a new clue to identify the role of PTIP in DNA damage pathway PMID: 22064073
- PTIP controls expression of PPARgamma and C/EBPalpha, the two principal adipogenic transcription factors, and is therefore required for adipogenesis. PMID: 19583951
- PTIP (PAXIP1) is a strong inhibitor of the trans-activation activities of Pax2A and Pax2B on the glucagon gene promoter and p8 binding to PTIP prevents inhibition of this promoter. PMID: 11940591
- identified tandem BRCT (BRCA1 carboxyl-terminal) domains in PTIP and in BRCA1 as phosphoserine- or phosphothreonine-specific binding modules that recognize substrates phosphorylated by the kinases ATM and ATR in response to gamma-irradiation PMID: 14576432
- hPTIP (PAXIP1) shows increased association with 53BP1 in response to ionizing radiation but not in response to other DNA-damaging agents. PMID: 15456759
- Determination of a single ATM-phosphorylated residue in 53BP1--Ser25--that is required for binding of 53BP1 to hPTIP. PMID: 17690115
- PTIP depletion from mammalian cells by RNAi reduced PCNA ubiquitination in response to DNA damage, and also decreased the recruitment to chromatin of polymerase eta and the recombination protein Rad51 PMID: 18353733
- subset of PTIP.PA1 complex is recruited to DNA damage sites via the RNF8-dependent pathway and is required for cell survival in response to DNA damage. PMID: 19124460
- PTIP regulates 53BP1-dependent signaling pathway following DNA damage PMID: 19414588
- Without DNA damage agent treatment, endogenous PTIP associates with MLL3- and MLL4-containing histone H3 K4 methyltransferase complex that also contains ASH2L, RBBP5, WDR5, hDPY-30, NCOA6, PA1 and JmjC domain-containing putative histone demethylase UTX. PMID: 17500065
顯示更多
收起更多
-
亞細胞定位:Nucleus matrix. Chromosome.
-
數據庫鏈接:
Most popular with customers
-
-
YWHAB Recombinant Monoclonal Antibody
Applications: ELISA, WB, IHC, IF, FC
Species Reactivity: Human, Mouse, Rat
-
Phospho-YAP1 (S127) Recombinant Monoclonal Antibody
Applications: ELISA, WB, IHC
Species Reactivity: Human
-
-
-
-
-















