-
中文名稱:PCNA兔多克隆抗體
-
貨號:CSB-PA01567A0Rb
-
規格:¥440
-
圖片:
-
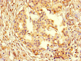
Immunohistochemistry of paraffin-embedded human pancreatic cancer using CSB-PA01567A0Rb at dilution of 1:100
-
Immunofluorescent analysis of HepG2 cells using CSB-PA01567A0Rb at dilution of 1:100 and Alexa Fluor 488-congugated AffiniPure Goat Anti-Rabbit IgG(H+L)
-
Western Blot
Positive WB detected in: NIH/3T3 whole cell lysate, Raji whole cell lysate
All lanes: PCNA antibody at 3.2μg/ml
Secondary
Goat polyclonal to rabbit IgG at 1/50000 dilution
Predicted band size: 29 kDa
Observed band size: 29, 25 kDa
-
-
其他:
產品詳情
-
產品名稱:Rabbit anti-Homo sapiens (Human) PCNA Polyclonal antibody
-
Uniprot No.:
-
基因名:
-
別名:ATLD2 antibody; cb16 antibody; Cyclin antibody; DNA polymerase delta auxiliary protein antibody; etID36690.10 antibody; fa28e03 antibody; fb36g03 antibody; HGCN8729 antibody; MGC8367 antibody; Mutagen-sensitive 209 protein antibody; OTTHUMP00000030189 antibody; OTTHUMP00000030190 antibody; PCNA antibody; Pcna/cyclin antibody; PCNA_HUMAN antibody; PCNAR antibody; Polymerase delta accessory protein antibody; Proliferating cell nuclear antigen antibody; wu:fa28e03 antibody; wu:fb36g03 antibody
-
宿主:Rabbit
-
反應種屬:Human, Mouse
-
免疫原:Recombinant Human Proliferating cell nuclear antigen protein (1-261AA)
-
免疫原種屬:Homo sapiens (Human)
-
標記方式:Non-conjugated
本頁面中的產品,PCNA Antibody (CSB-PA01567A0Rb),的標記方式是Non-conjugated。對于PCNA Antibody,我們還提供其他標記。見下表:
-
克隆類型:Polyclonal
-
抗體亞型:IgG
-
純化方式:>95%, Protein G purified
-
濃度:It differs from different batches. Please contact us to confirm it.
-
保存緩沖液:Preservative: 0.03% Proclin 300
Constituents: 50% Glycerol, 0.01M PBS, PH 7.4 -
產品提供形式:Liquid
-
應用范圍:ELISA, WB, IHC, IF
-
推薦稀釋比:
Application Recommended Dilution WB 1:2000-1:10000 IHC 1:20-1:200 IF 1:50-1:200 -
Protocols:
-
儲存條件:Upon receipt, store at -20°C or -80°C. Avoid repeated freeze.
-
貨期:Basically, we can dispatch the products out in 1-3 working days after receiving your orders. Delivery time maybe differs from different purchasing way or location, please kindly consult your local distributors for specific delivery time.
-
用途:For Research Use Only. Not for use in diagnostic or therapeutic procedures.
引用文獻
- Immune checkpoint silencing using RNAi-incorporated nanoparticles enhances antitumor immunity and therapeutic efficacy compared with antibody-based approaches Ji Eun Won,Journal for immunotherapy of cancer,2022
- ADNP promotes neural differentiation by modulating Wnt/β-catenin signaling Xiaoyun Sun, et al,Biorxiv,2019
相關產品
靶點詳情
-
功能:Auxiliary protein of DNA polymerase delta and is involved in the control of eukaryotic DNA replication by increasing the polymerase's processibility during elongation of the leading strand. Induces a robust stimulatory effect on the 3'-5' exonuclease and 3'-phosphodiesterase, but not apurinic-apyrimidinic (AP) endonuclease, APEX2 activities. Has to be loaded onto DNA in order to be able to stimulate APEX2. Plays a key role in DNA damage response (DDR) by being conveniently positioned at the replication fork to coordinate DNA replication with DNA repair and DNA damage tolerance pathways. Acts as a loading platform to recruit DDR proteins that allow completion of DNA replication after DNA damage and promote postreplication repair: Monoubiquitinated PCNA leads to recruitment of translesion (TLS) polymerases, while 'Lys-63'-linked polyubiquitination of PCNA is involved in error-free pathway and employs recombination mechanisms to synthesize across the lesion.
-
基因功能參考文獻:
- PCNA recognizes the DNA structure through a set of basic residues within the ring channel organized to match the pitch of B-DNA, establishing short-lived polar interactions with consecutive DNA phosphates. PMID: 28071730
- Results show that HECW2 interacts with PCNA mediating its ubiquitination and proteasomal degradation. PMID: 29753763
- It has been shown that conjugation of SUMO2, but not SUMO1 or SUMO3, to the essential replication factor PCNA is induced on transcribed chromatin by the RNAPII-bound helicase RECQ5. PMID: 30006506
- This study identified PCNA-peptide interactions formed in the peptide bound simulation that play a crucial role in complex formation. The calculated binding energies correlate well with the measured binding affinities of various peptides to PCNA. PMID: 29095607
- Results suggest that CDK-mediated phosphorylation of Cdt2 inactivates its ubiquitin ligase activity by reducing its affinity to PCNA, an important strategy for regulating the levels of key proteins in the cell cycle. PMID: 29424068
- CHAF1A and PCNA are highly expressed in cervical squamous cell carcinoma and associated with the malignancy PMID: 29382432
- DDB2-PCNA interaction may contribute to a correct DNA damage response for maintaining genome integrity PMID: 29604309
- this study shows that cytoplasmic PCNA connects glycolysis and cell survival in acute myeloid leukemia PMID: 27759041
- The results revealed that PCNA is predominantly localized in the cytoplasm, while hAng is distributed both in the nucleus and in the cytoplasm. hAng and PCNA colocalize in the cytoplasm, suggesting that they may interact in this compartment. PMID: 28777577
- PCNA and E-cadherin may have roles in prognosis of patients with gastric cancer PMID: 28611525
- PCNA and MutLalpha interact specifically but weakly in solution to form a complex of approximately 1:1 stoichiometry that depends on PCNA interaction with the C-terminal endonuclease domain of the MutLalpha PMS2 subunit. PMID: 28439008
- FAN1 interaction with ubiquitylated PCNA alleviates replication stress and preserves genomic integrity independently of BRCA2 PMID: 29051491
- Treatment with 240 mg/l matrine reduced the protein expression levels of PCNA and eIF4E. Matrine also reduced the migration ability of A549 cells and inhibited their proliferation, which may be associated with the overexpression of p53 and p21, and the reduction of PCNA and eIF4E expression levels. PMID: 28447756
- The here presented evidence that the PCNA inner surface is highly regulated to control DNA damage resistance represents a new concept that offers new opportunities to develop tools to manipulate the DNA damage response in cancer treatment. [review] PMID: 28814116
- Data suggest that, as part of DNA repair in nucleus of embryonic stem cells, IGF1R interacts with and phosphorylates PCNA at tyrosine residues 60, 133, and 250; this is followed by mono- and polyubiquitination of PCNA by RAD18 and SHPRH. (IGF1R = insulin-like growth factor 1 receptor; PCNA = proliferating cell nuclear antigen; RAD18 = E3 ubiquitin-protein ligase RAD18; SHPRH = E3 ubiquitin-protein ligase SHPRH) PMID: 28924044
- Here, we report the complex structure of PCNA and the peptide ((784)NEILQTLLDLFFPGYSK(800)) derived from UHRF2 that contains a PIP box. Structural analysis combined with mutagenesis experiments provide the molecular basis for the recognition of UHRF2 by PCNA via PIP-box. PMID: 28951215
- The complex between p15PAF and trimeric PCNA is of low affinity, forming a transient complex that is difficult to characterize at a structural level due to its inherent polydispersity. We have determined the structure, conformational fluctuations, and relative population of the five species that coexist in solution by combining small-angle X-ray scattering (SAXS) with molecular modelling. PMID: 28180305
- Dynamic binding of the PARG non-canonical PIP-box to PCNA. PMID: 28934471
- PCNA expression significantly associated with clinical stage, histological grade, and poor prognosis of Osteosarcoma, which could evaluate tumor cell proliferation, and predict its biological behavior and prognosis. PMID: 29019895
- These results propose a mechanism for progerin-induced genome instability and accelerated replicative senescence in Hutchinson-Gilford progeria syndrome. PMID: 28515154
- High PCNA expression is associated with lung adenocarcinoma. PMID: 28423618
- Eco1 mediated acetylation regulates PCNA sliding on DNA in the presence of DNA damage, favoring homologous recombination linked to sister-chromatid cohesion. PMID: 27916662
- Damage-induced fork reversal in mammalian cells requires PCNA ubiquitination, UBC13, and K63-linked polyubiquitin chains, previously involved in error-free damage tolerance. Fork reversal in vivo also requires ZRANB3 translocase activity and its interaction with polyubiquitinated PCNA, pinpointing ZRANB3 as a key effector of error-free DNA damage tolerance. PMID: 28886337
- Multiple studies provide evidence that PCNA lies at the center of the faithful duplication of eukaryotic genomes and therefore genome integrity. [review] PMID: 28157503
- Human CTF18-RFC clamp-loader complexed with non-synthesising POLE efficiently loads the PCNA sliding clamp. PMID: 28199690
- Results suggest that the UNG2 N-terminus may serve as a flexible scaffold to tether PCNA and RPA at the replication fork, and that post-translational modifications on the UNG2 N-terminus disrupt formation of the PCNA-UNG2-RPA protein complex. PMID: 28746850
- ECRG2 in combination with cisplatin (DDP) can inhibit viability and induce apoptosis in esophageal cancer DDP-resistant cells, possibly via upregulation of p53 expression and downregulation of PCNA expression. PMID: 28348485
- Reduced affinity of PCNA(S228I) for specific clients causes subtle cellular defects in undamaged cells which likely contribute to the etiology of PCNA-associated DNA repair disorder (PARD). Analysis of the binding between PCNA and PCNA-interacting proteins (PIPs) shows that the S228I change dramatically impairs the majority of these interactions, including that of Cdt1, DNMT1, PolD3(p66) and PolD4(p12). PMID: 28073635
- Data suggest that, during human DNA replication, restricting PCNA (proliferating cell nuclear antigen) to the vicinity of its DNA target site is important; PCNA can be maintained at or near primer/template junctions during DNA synthesis by RPA (replication protein A) or SSB (single-stranded DNA-binding protein); here, the SSB used was from Escherichia coli. PMID: 28590137
- Studies demonstrated that POLH interaction with PCNA plays an indispensable role in the recruitment of pol-eta to UV-induced cyclobutane pyrimidine dimers site to carry out translesion synthesis (TLS), and the dissociation of pol-eta from PCNA after TLS is essential for maintaining high fidelity DNA replication. PMID: 26988343
- PCNA is a substrate of the HSV-1 deubiquitinase UL36USP, which has previously been shown to be involved mainly in virus uptake and maturation PMID: 28348081
- Disruption of PCNA-lamins A/C interactions by prelamin A induces DNA replication fork stalling PMID: 27676213
- PCNA plays a critical role in preventing CAG repeat expansions by modulating the structures of dynamic DNA via cooperation with base excision repair enzymes. PMID: 27793507
- Replication protein A binds tightly to the single-stranded DNA adjacent to a blocked primer/template junction and restricts PCNA to the upstream duplex region by physically blocking diffusion of PCNA along ssDNA. PMID: 28177605
- These findings offer new insights into the determinants of PIP box for PCNA binding. PMID: 27084448
- collectively, this study uncovers a new role for CRL4CDT2 in protecting genomic integrity against replication stress via regulated proteolysis of PCNA-associated SDE2 and provides insights into how an integrated UBL domain within linear polypeptide sequence controls protein stability and function. PMID: 27906959
- The aim of this study is to analyze the immunoexpression of Ki67, p53, MCM3 and PCNA markers in epithelial remnants of dental follicles of impacted teeth and to identify a possible correlation between the immunoexpression of these markers in dentigerous cysts and keratocystic odontogenic tumors. PMID: 27516012
- REV1 promote PCNA monoubiquitylation after UV radiation through interacting with ubiquitylated RAD18. PMID: 26795561
- USP7 suppresses H2O2-induced mutagenesis involving cell-cycle-independent processes such as DNA repair. PMID: 26673319
- Effect of Fenugreek seed extract (FCE) was studied using HepG2 cell line; evaluated apoptosis effect and changes in expression of PCNA and tp53 due to FCE. PMID: 26557712
- The authors describe the structure of the disease-causing S228I variant, which reveals a large conformational change that dramatically transforms the binding pocket for PCNA client proteins. PMID: 26688547
- Studies show that acidic residue methyltransferase 1 (Armt1) has a vital role in regulation of the DNA damage response likely through its ability to O-methylate glutamyl residues of the DNA repair factor proliferating cell nuclear antigen (PCNA). PMID: 26450907
- Hydrophobic pocket of PCNA is the key domain mediating ALKBH2/PCNA interaction. PCNA association with ALKBH2 increases significantly during DNA replication, suggesting that ALKBH2 forms a cell-cycle dependent complex with PCNA. PMID: 26408825
- Report PCNA expression in giant cell tumor of bones. PMID: 26339416
- p15PAF acts as a flexible drag that regulates PCNA sliding along the DNA and facilitates the switch from replicative to translesion synthesis polymerase binding. PMID: 25762514
- 14-3-3zeta reduces DNA damage by interacting with and stabilizing proliferating cell nuclear antigen PMID: 25169136
- data indicated that IncRNA-PCNA-AS1 may participate in the gastric cancer carcinogenesis and development and may serve as a new biomarker for patients with gastric cancer PMID: 26731993
- Bub1 in complex with LANA recruits PCNA to regulate Kaposi's sarcoma-associated herpesvirus latent replication and DNA translesion synthesis. PMID: 26223641
- Results revealed that mutation of lysine K164 in PCNA disrupts mono-ubiquitination of the multiple units within a homo-trimer complex as well as a DNA damage tolerance pathway. PMID: 25692884
- A reverse PIP Box interaction occurs with PCNA. Small-molecule ligand binding at the PIP Box interaction site confirmed the adaptive nature of the protein in dictating overall shape and implicates allosterism in transmitting biological effects. PMID: 25036435
顯示更多
收起更多
-
相關疾病:Ataxia-telangiectasia-like disorder 2 (ATLD2)
-
亞細胞定位:Nucleus.
-
蛋白家族:PCNA family
-
數據庫鏈接:
Most popular with customers
-
-
Phospho-YAP1 (S127) Recombinant Monoclonal Antibody
Applications: ELISA, WB, IHC
Species Reactivity: Human
-
-
-
-
-
-















