-
中文名稱:PCSK5兔多克隆抗體
-
貨號:CSB-PA017644LA01HU
-
規格:¥440
-
圖片:
-
Immunofluorescent analysis of Hela cells using CSB-PA017644LA01HU at dilution of 1:100 and Alexa Fluor 488-congugated AffiniPure Goat Anti-Rabbit IgG(H+L)
-
Western Blot
Positive WB detected in: HepG2 whole cell lysate, Rat kidney tissue
All lanes: PCSK5 antibody at 6µg/ml
Secondary
Goat polyclonal to rabbit IgG at 1/50000 dilution
Predicted band size: 207, 102 kDa
Observed band size: 102 kDa -
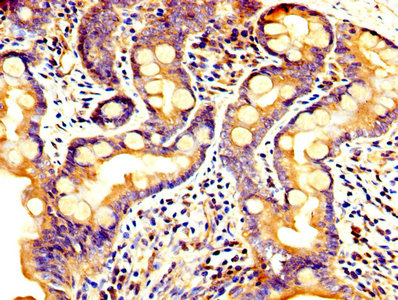
IHC image of CSB-PA017644LA01HU diluted at 1:300 and staining in paraffin-embedded human small intestine tissue performed on a Leica BondTM system. After dewaxing and hydration, antigen retrieval was mediated by high pressure in a citrate buffer (pH 6.0). Section was blocked with 10% normal goat serum 30min at RT. Then primary antibody (1% BSA) was incubated at 4°C overnight. The primary is detected by a biotinylated secondary antibody and visualized using an HRP conjugated SP system.
-
-
其他:
產品詳情
-
產品名稱:Rabbit anti-Homo sapiens (Human) PCSK5 Polyclonal antibody
-
Uniprot No.:
-
基因名:PCSK5
-
別名:FLJ11149 antibody; FLJ16215 antibody; hPC6 antibody; PC5 antibody; PC6 antibody; PC6A antibody; Pcsk5 antibody; PCSK5_HUMAN antibody; Prohormone convertase 5 antibody; Proprotein convertase 5 antibody; Proprotein convertase 6 antibody; Proprotein convertase PC5 antibody; Proprotein convertase subtilisin/kexin type 5 antibody; Protease PC6 antibody; SPC6 antibody; Subtilisin/kexin-like protease PC5 antibody
-
宿主:Rabbit
-
反應種屬:Human, Rat
-
免疫原:Recombinant Human Proprotein convertase subtilisin/kexin type 5 protein (201-500AA)
-
免疫原種屬:Homo sapiens (Human)
-
標記方式:Non-conjugated
本頁面中的產品,PCSK5 Antibody (CSB-PA017644LA01HU),的標記方式是Non-conjugated。對于PCSK5 Antibody,我們還提供其他標記。見下表:
-
克隆類型:Polyclonal
-
抗體亞型:IgG
-
純化方式:>95%, Protein G purified
-
濃度:It differs from different batches. Please contact us to confirm it.
-
保存緩沖液:Preservative: 0.03% Proclin 300
Constituents: 50% Glycerol, 0.01M PBS, PH 7.4 -
產品提供形式:Liquid
-
應用范圍:ELISA, WB, IHC, IF
-
推薦稀釋比:
Application Recommended Dilution WB 1:500-5000 IHC 1:200-1:500 IF 1:50-1:200 -
Protocols:
-
儲存條件:Upon receipt, store at -20°C or -80°C. Avoid repeated freeze.
-
貨期:Basically, we can dispatch the products out in 1-3 working days after receiving your orders. Delivery time maybe differs from different purchasing way or location, please kindly consult your local distributors for specific delivery time.
-
用途:For Research Use Only. Not for use in diagnostic or therapeutic procedures.
引用文獻
- Hypoxia reconstructed colorectal tumor microenvironment weakening anti-tumor immunity: construction of a new prognosis predicting model through transcriptome analysis R Zhang, Y Gao, C Li, R Tao, G Mao, T Song,Frontiers in Immunology,2024
相關產品
靶點詳情
-
功能:Serine endoprotease that processes various proproteins by cleavage at paired basic amino acids, recognizing the RXXX[KR]R consensus motif. Likely functions in the constitutive and regulated secretory pathways. Plays an essential role in pregnancy establishment by proteolytic activation of a number of important factors such as BMP2, CALD1 and alpha-integrins.
-
基因功能參考文獻:
- loss of the convertase furin or PC5/6 in hepatocytes results in a approximately 30% decrease in APC levels, with no significant contribution from PACE4. We conclude that prior convertase cleavage of protein C in hepatocytes is critical for its thrombin activation. PMID: 28468828
- Case Report: whole exome sequencing of a case with the VACTERL association uncovered a novel frameshift mutation in the PCSK5 gene. PMID: 26055999
- full-length alpha-DG in the human endometrial epithelium is a barrier for embryo attachment and that removal of alpha-DG-N by proprotein convertase 5/6 (PC6; a protease critical for implantation PMID: 26077903
- Proprotein convertase 5/6 cleaves PDGFA in the human endometrium in preparation for embryo implantation. PMID: 25429785
- PC5/6A is involved in squamous differentiation of human nasal epithelial cells, possibly through up-regulation of the BMP-2 signaling pathway. PMID: 25350918
- study implicates PC6 as a key regulatory protein essential for the attachment of the blastocyst to the endometrial epithelium through the processing of pro-integrin-alphas PMID: 22740495
- PC6 plays a key role in regulating fundamental cellular remodeling processes, such as plasma membrane transformation and membrane-cytoskeletal interface reorganization. PMID: 21971156
- Latent transforming growth factor beta-binding proteins-2 and -3 inhibit the proprotein convertase 5/6A. PMID: 21700711
- PC6 may have a role in uterine receptivity and its uterine lavage levels appear to be significantly lower in a subgroup of women with unexplained infertility PMID: 21273245
- PTPkappa was scissored by the processed form of proprotein convertase 5, and galectin-3 binding protein which is over-produced in colon cancer cells and tissues. PMID: 21094132
- The proteolytic activation and thus bioavailability of BMP2 is controlled by PC6. PMID: 20555025
- Variability at the PCSK5 locus influences high-density lipoprotein cholesterol levels. PMID: 20031622
- Results describe the mechanisms of PC6 action in decidualization and identify caldesmon as one of its physiological substrates. PMID: 19764806
- PC5/6 plays a key role for decidualization in human endometrium. PMID: 15522936
- PC6 is an essential molecule in modulating uterine function to support the establishment of embryo implantation PMID: 15601911
- in binding VEGFR-2, furin and PC5 promote cleavage of N-and C-terminal VEGF-D propeptides, whereas PC7 promotes cleavage of the C-terminal propeptide only PMID: 17242158
- after stimulation, the protease activity of PC5A is enhanced, as evidenced by the cleavage of the PC5A substrates Lefty, ADAMTS-4, endothelial lipase, and PCSK9. PMID: 18039650
- We propose that Pcsk5, at least in part via GDF11, coordinately regulates caudal Hox paralogs, to control anteroposterior patterning, nephrogenesis, skeletal, and anorectal development. PMID: 18519639
顯示更多
收起更多
-
亞細胞定位:[Isoform PC6A]: Secreted.; [Isoform PC6B]: Endomembrane system; Single-pass type I membrane protein.
-
蛋白家族:Peptidase S8 family
-
組織特異性:Expressed in T-lymphocytes.
-
數據庫鏈接:
Most popular with customers
-
YWHAB Recombinant Monoclonal Antibody
Applications: ELISA, WB, IHC, IF, FC
Species Reactivity: Human, Mouse, Rat
-
Phospho-YAP1 (S127) Recombinant Monoclonal Antibody
Applications: ELISA, WB, IHC
Species Reactivity: Human
-
-
-
-
-
-















