PEX5 Antibody
-
中文名稱:PEX5兔多克隆抗體
-
貨號:CSB-PA017805LA01HU
-
規格:¥440
-
圖片:
-
Western Blot
Positive WB detected in: HepG2 whole cell lysate
All lanes: PEX5 antibody at 7.4µg/ml
Secondary
Goat polyclonal to rabbit IgG at 1/50000 dilution
Predicted band size: 71, 67, 70, 73 kDa
Observed band size: 71 kDa -
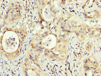
IHC image of CSB-PA017805LA01HU diluted at 1:200 and staining in paraffin-embedded human cervical cancer performed on a Leica BondTM system. After dewaxing and hydration, antigen retrieval was mediated by high pressure in a citrate buffer (pH 6.0). Section was blocked with 10% normal goat serum 30min at RT. Then primary antibody (1% BSA) was incubated at 4°C overnight. The primary is detected by a biotinylated secondary antibody and visualized using an HRP conjugated SP system.
-
-
其他:
產品詳情
-
產品名稱:Rabbit anti-Homo sapiens (Human) PEX5 Polyclonal antibody
-
Uniprot No.:
-
基因名:PEX5
-
別名:FLJ50634 antibody; FLJ50721 antibody; FLJ51948 antibody; PBD2A antibody; PBD2B antibody; Peroxin 5 antibody; Peroxin-5 antibody; Peroxisomal biogenesis factor 5 antibody; Peroxisomal C terminal targeting signal import receptor antibody; Peroxisomal C-terminal targeting signal import receptor antibody; Peroxisomal targeting signal 1 (SKL type) receptor antibody; Peroxisomal targeting signal 1 receptor antibody; Peroxisomal targeting signal import receptor antibody; Peroxisomal targeting signal receptor 1 antibody; Peroxisome receptor 1 antibody; pex5 antibody; PEX5_HUMAN antibody; PTS1 BP antibody; PTS1 receptor antibody; PTS1-BP antibody; PTS1R antibody; PXR1 antibody
-
宿主:Rabbit
-
反應種屬:Human
-
免疫原:Recombinant Human Peroxisomal targeting signal 1 receptor protein (149-283AA)
-
免疫原種屬:Homo sapiens (Human)
-
標記方式:Non-conjugated
本頁面中的產品,PEX5 Antibody (CSB-PA017805LA01HU),的標記方式是Non-conjugated。對于PEX5 Antibody,我們還提供其他標記。見下表:
-
克隆類型:Polyclonal
-
抗體亞型:IgG
-
純化方式:>95%, Protein G purified
-
濃度:It differs from different batches. Please contact us to confirm it.
-
保存緩沖液:Preservative: 0.03% Proclin 300
Constituents: 50% Glycerol, 0.01M PBS, pH 7.4 -
產品提供形式:Liquid
-
應用范圍:ELISA, WB, IHC
-
推薦稀釋比:
Application Recommended Dilution WB 1:500-1:5000 IHC 1:200-1:500 -
Protocols:
-
儲存條件:Upon receipt, store at -20°C or -80°C. Avoid repeated freeze.
-
貨期:Basically, we can dispatch the products out in 1-3 working days after receiving your orders. Delivery time maybe differs from different purchasing way or location, please kindly consult your local distributors for specific delivery time.
-
用途:For Research Use Only. Not for use in diagnostic or therapeutic procedures.
相關產品
靶點詳情
-
功能:Binds to the C-terminal PTS1-type tripeptide peroxisomal targeting signal (SKL-type) and plays an essential role in peroxisomal protein import.
-
基因功能參考文獻:
- these findings lend credit to the idea that inefficient catalase import, when coupled with the role of PEX5 as a redox-regulated import receptor, constitutes a cellular defense mechanism to combat oxidative insults of extra-peroxisomal origin. PMID: 28760655
- TRIM37-mediated ubiquitylation stabilizes PEX5 and promotes peroxisomal matrix protein import, suggesting that mulibrey nanism is a new peroxisomal biogenesis disorder. PMID: 28724525
- Data suggest that soluble/cytosolic PEX5 interacts with PEX14/PEX13 complex, a model for the docking/translocation module (DTM) of the peroxisomal matrix protein translocon; PEX14/PEX13 complex appears to function in peroxisomal membrane as large cavity into which cytosolic PEX5 can enter to release its cargo. (PEX = peroxisomal biogenesis factor) PMID: 28765278
- data reveal subpopulations of peroxisomes showing only weak colocalization between PEX14 and PEX5 or PEX11 but at the same time a clear compartmentalized organization. This compartmentalization, which was less evident in cases of strong colocalization, indicates dynamic protein reorganization linked to changes occurring in the peroxisomes. PMID: 27311714
- our data suggest that insertion of the trimeric PEX5-PEX7-PTS2 protein complex into the DTM is probably accompanied by conformational alterations in PEX5 to allow release of the PTS2 protein into the organelle matrix PMID: 26138649
- Our data suggest that the functional polymorphism rs3814058C>T in 3'-UTR of PXR may be a functional biomarker to predict risk of colorectal cancer PMID: 26547791
- PEX5 encodes two isoforms, PEX5L & PEX5S, & a homozygous frame shift mutation c.722dupA (p.Val242Glyfs( *)33), located in the PEX5L-specific exon 9, results in loss of PEX5L only. Loss of PEX5L results in deficient import of PTS2-tagged proteins PMID: 26220973
- bulky side chain within the recognition motif, which blocks contraction of the PEX5 binding cavity PMID: 25369882
- Data show that ataxia-telangiectasia mutated (ATM) phosphorylates peroxisomal biogenesis factor 5 (PEX5) at serine 141 in response to reactive oxygen species. PMID: 26344566
- the molecular recognition of PTS1 cargo proteins by Pex5p PMID: 25689234
- ubiquitination of peroxisome-targeting signal type 1 (PTS1) receptor Pex5p regulating PTS1 protein import PMID: 24662292
- PEX5 has a role in regulating peroxisome numbers by signaling to mediate pexophagy PMID: 24453954
- Cys11 in PEX5 serves as a functional redox switch regulating the peroxisomal/cytosolic localization of peroxisomal proteins. PMID: 24118911
- The novel Pex14-binding site may represent the initial tethering site of Pex5 from which the cargo-loaded receptor is further processed in a sequential manner. PMID: 24235149
- Translocation of proteins across the organelle membrane occurs downstream of a reversible docking step and upstream of the first cytosolic ATP-dependent step, i.e. before ubiquitination of PEX5. PMID: 23963456
- The molecular mechanism of recognition by the peroxisomal receptor Pex5p, in complex with alanine-glyoxylate aminotransferase revealed by X-ray crystallography. PMID: 22529745
- Our results suggest that ubiquitin-specific protease 9X (USP9X) is by far the most active deubiquitinase acting on Ub-PEX5, both in female rat liver and HeLa cells. PMID: 22371489
- interaction of PEX5 with catalase and PEX14 PMID: 21976670
- The Peroxisomal targeting signal 1 in Scp2 is autonomous and is essential for binding to pex5. PMID: 21375735
- the affinities of the PTS1-containing peptides from 42 proteins from the human proteome for Pex5p PMID: 20178365
- Data suggest that translocation of PTS1-containing proteins across the peroxisomal membrane occurs concomitantly with formation of the Pex5p-Pex14p membrane complex and that this is probably the site from which Pex5p leaves the peroxisomal compartment. PMID: 12411433
- binds the PTS1 independently of Hsp70 and the peroxin PEX12 PMID: 12456682
- Binding energy threshold data have been generated for PTS1 pentapeptides containing different C-terminal tripeptide sequences to determine the functionality of specific PTS1 sequences. PMID: 12578380
- concluded that the PTS1 domain of SR-BI is functional and can mediate peroxisomal interaction via Pex5p, in vitro PMID: 14652019
- the N terminus of Pex5p is required for redirecting the peroxisome-associated peroxin back to the cytosol PMID: 15328363
- Pex5p is a monomeric protein with an abnormal shape PMID: 15866874
- Pex5 most likely enters peroxisomes, changes its interacting partners, and then exits using ATP energy. PMID: 16314507
- Results indicate that the N-terminal half of Pex5p is best described as a natively unfolded pre-molten globule-like domain. PMID: 16403517
- study shows mutation-dependent, gain-of-function association between myocilin & PTS1R; there was correlation between glaucoma phenotype & specific MYOC mutations, with more severe early-onset POAG mutations having higher degree of association with PTS1R PMID: 17317787
- Results describe the affinities of mutated forms of Pex5p for a series of peroxisomal targeting signal type-1 (PTS1) peptides and conclude that PTS1-affinity reductions are correlated with Zellweger disease severity and cell biological phenotype. PMID: 17399738
- A previously unobserved conformation for PEX5 suggests roles for intrinsic flexibility and rigid domain motions in ligand binding. PMID: 17428317
- E2D1/2/3 (UbcH5a/b/c) are the mammalian functional counterparts of yeast/plant Pex4p PMID: 18359941
- The location of the different mutations within the PEX5 amino acid sequence correlates rather well with the peroxisomal protein import defect observed in the cell lines. PMID: 18712838
- Results describe the properties of the soluble and membrane-bound monoubiquitinated Pex5p species (Ub-Pex5p). PMID: 19208625
- analysis of the human Pex5.Pex14.PTS1 protein complex structure obtained by small angle X-ray scattering PMID: 19584060
- the step of protein translocation across the peroxisomal membrane into the PEX5 cycling pathway PMID: 19632994
顯示更多
收起更多
-
相關疾病:Peroxisome biogenesis disorder 2A (PBD2A); Peroxisome biogenesis disorder 2B (PBD2B); Rhizomelic chondrodysplasia punctata 5 (RCDP5)
-
亞細胞定位:Cytoplasm. Peroxisome membrane; Peripheral membrane protein. Note=Its distribution appears to be dynamic. It is probably a cycling receptor found mainly in the cytoplasm and as well associated to the peroxisomal membrane through a docking factor (PEX13).
-
蛋白家族:Peroxisomal targeting signal receptor family
-
組織特異性:Detected in heart, brain, placenta, lung, liver, skeletal muscle, kidney and pancreas.
-
數據庫鏈接:
Most popular with customers
-
-
YWHAB Recombinant Monoclonal Antibody
Applications: ELISA, WB, IHC, IF, FC
Species Reactivity: Human, Mouse, Rat
-
Phospho-YAP1 (S127) Recombinant Monoclonal Antibody
Applications: ELISA, WB, IHC
Species Reactivity: Human
-
-
-
-
-















