PGC Antibody
-
中文名稱:PGC兔多克隆抗體
-
貨號:CSB-PA298172
-
規格:¥1100
-
圖片:
-
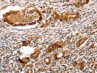
The image on the left is immunohistochemistry of paraffin-embedded Human colon cancer tissue using CSB-PA298172(PGC Antibody) at dilution 1/25, on the right is treated with fusion protein. (Original magnification: ×200)
-
The image on the left is immunohistochemistry of paraffin-embedded Human gastric cancer tissue using CSB-PA298172(PGC Antibody) at dilution 1/25, on the right is treated with fusion protein. (Original magnification: ×200)
-
Gel: 12%SDS-PAGE, Lysate: 50 μg, Lane: 823 cells, Primary antibody: CSB-PA298172(PGC Antibody) at dilution 1/300, Secondary antibody: Goat anti rabbit IgG at 1/8000 dilution, Exposure time: 30 seconds
-
-
其他:
產品詳情
-
Uniprot No.:
-
基因名:PGC
-
別名:Gastricsin antibody; PEPC antibody; PEPC_HUMAN antibody; pepsin C antibody; Pepsinogen C antibody; pepsinogen group II antibody; PGC antibody; PGII antibody; preprogastricsin antibody; Progastricsin antibody
-
宿主:Rabbit
-
反應種屬:Human
-
免疫原:Fusion protein of Human PGC
-
免疫原種屬:Homo sapiens (Human)
-
標記方式:Non-conjugated
-
抗體亞型:IgG
-
純化方式:Antigen affinity purification
-
濃度:It differs from different batches. Please contact us to confirm it.
-
保存緩沖液:-20°C, pH7.4 PBS, 0.05% NaN3, 40% Glycerol
-
產品提供形式:Liquid
-
應用范圍:ELISA,WB,IHC
-
推薦稀釋比:
Application Recommended Dilution ELISA 1:2000-1:5000 WB 1:500-1:2000 IHC 1:25-1:100 -
Protocols:
-
儲存條件:Upon receipt, store at -20°C or -80°C. Avoid repeated freeze.
-
貨期:Basically, we can dispatch the products out in 1-3 working days after receiving your orders. Delivery time maybe differs from different purchasing way or location, please kindly consult your local distributors for specific delivery time.
-
用途:For Research Use Only. Not for use in diagnostic or therapeutic procedures.
相關產品
靶點詳情
-
功能:Hydrolyzes a variety of proteins.
-
基因功能參考文獻:
- Recombinant pepsin C and pepsinogen C were purified from transgenic rice culture medium, and the NH2-terminal 5-residue sequences were verified by amino acid sequencing. PMID: 29108629
- serum levels correlated with age, sex and the level of Helicobacter pylori infection PMID: 27865295
- Pepsinogen-II 100 bp ins/del gene polymorphism and its elevated circulating levels are associated with gastric cancer, particularly with Helicobacter pylori infection and intestinal metaplasia. PMID: 26486507
- Results suggest that rs9471643 CG and rs6458238 AG/AA genotypes have important roles in up-regulating PGC expression, which may partially explain why individuals with these favorable genotypes have decreased risks of getting gastric cancer. PMID: 25857852
- Data show that SNP interactions among H. pylori-related genes PGC, PTPN11, and IL1B, are associated with susceptibility to gastric carcinogenesis. PMID: 26158864
- Serum pepsinogens I (PGI) and II (PGII), gastrin 17 (G-17), and antibodies against whole H. pylori, or cytotoxin-associated gene A (CagA) antigen among 309 consecutive patients, were measured.[Pepsinogen I, Gastrin 17] PMID: 22066020
- The results highlight an important role of PGC rs3789210 and rs6939861 in altering susceptibility to atrophic gastritis and/or gastric cancer. PMID: 25551587
- Pepsinogen II is a good marker of corpus morphological changes before and after H. pylori eradication. PMID: 25028655
- High serum Pepsinogen II level is associ9ated with the progression of gastric precancerous lesions. PMID: 24895149
- An interaction effect of pri-let-7a-1 rs10739971 polymorphism with ERCC6 rs1917799 polymorphism was observed for the risk of gastric cancer. PMID: 24586594
- plasma PG II level significantly correlated with H. pylori-infected gastric cancer PMID: 23326145
- High serum pepsinogen II is associated with gastric cancer development and activity of Helicobacter pylori-associated chronic gastritis. PMID: 24009139
- Levels of pepsinogen/pepsin A and C are higher in the mouth swabs of infants with clinical gastroesophageal reflux. PMID: 23311720
- PGC rs6458238, PGC rs4711690 and PTPN11 rs12229892 were associated with susceptibilities to atrophic gastritis and/or gastric cancer. PMID: 23455381
- Data suggest that serum pepsinogen I/II ratio (pepsinogen A/C ratio) is correlated with diabetic nephropathy and thus may be a biological marker for degree of urinary albumin excretion in patients with type 2 diabetes. PMID: 23047493
- The serum levels of PG II and G-17 were significantly higher in Changle than those in Fuan. PMID: 23117263
- Data suggest that subjects with higher PGI level, and PG I/II ratio are more likely to develop several dyspeptic symptoms. PMID: 23178618
- Serum pepsinogens I (PGI) and II (PGII), gastrin 17 (G-17), and antibodies against whole H. pylori, or cytotoxin-associated gene A (CagA) antigen among 309 consecutive patients, were measured. PMID: 22066020
- Chinese patients with sPGII greater than 10.25 microg/L are at greater risk of various H. pylori-related gastropathies. PMID: 21303408
- PGC gene insertion/deletion polymorphism is negatively related to PGC protein expression in gastric mucosa, but is not related to the serum PGC level. PMID: 19624876
- Pepsinogen C insertion/deletion polymorphism and Helicobacter pylori infection seem to present a positive interaction in the development of gastric cancer. PMID: 19173902
- Pepsinogen C is expressed in a quarter of ovarian carcinomas and might identify a subset of patients with different prognosis PMID: 12128264
- These results suggest that there is some relation between pepsinogen C gene polymorphism and gastric cancer, and the person with homogenous allele 1 predisposes to gastric cancer more than those with other genotypes. PMID: 12508350
- results suggested that only the PGA/PGC ratio can be considered as a biomarker for precancerous lesions of the stomach PMID: 12698190
- human cathelicidin antimicrobial peptide-18 in seminal plasma is processed to generate a 38-amino acid antimicrobial peptide ALL-38 by the prostate-derived protease gastricsin when incubated at a pH corresponding to the vaginal pH PMID: 12759353
- Pepsinogen C can be a good indicator in the screening and diagnosis of precursor of gastric cancer and gastric cancer. PMID: 15200883
- pepsinogen C may be expressed by uveal melanoma and suggest that this protein could be considered as a new, unfavorable prognostic factor in these tumors PMID: 15503827
- Higher levels of Pepsinogen II is associated with early gastric cancer PMID: 15688378
- pepsinogen C genetic variants have a role in gastric cancer PMID: 16937501
- Helicobacter pylori eradication improves gastric histology and decreases serum gastrin, pepsinogen I and pepsinogen II levels in patients with duodenal ulcer. PMID: 17559360
- pepsinogen C has a role in SP-B proteolytic processing in alveolar type 2 cells PMID: 18256027
- role of an insertion/deletion polymorphism in the Pepsinogen C (PGC) gene in the clinical outcome of 172 breast cancer patients PMID: 18447628
- pepsinogens may have a role in esophageal squamous dysplasia PMID: 18844222
- The pepsinogen C gene polymorphism increases an individual's susceptibility to gastric cancer and its precancerous conditions PMID: 19132389
- Decreased pepsinogen I/II ratio is a reliable marker for atrophy in the stomach corpus. PMID: 19731026
顯示更多
收起更多
-
亞細胞定位:Secreted.
-
蛋白家族:Peptidase A1 family
-
數據庫鏈接:
Most popular with customers
-
-
YWHAB Recombinant Monoclonal Antibody
Applications: ELISA, WB, IHC, IF, FC
Species Reactivity: Human, Mouse, Rat
-
Phospho-YAP1 (S127) Recombinant Monoclonal Antibody
Applications: ELISA, WB, IHC
Species Reactivity: Human
-
-
-
-
-















