PIBF1 Antibody
-
中文名稱:PIBF1兔多克隆抗體
-
貨號:CSB-PA828391
-
規格:¥1100
-
圖片:
-
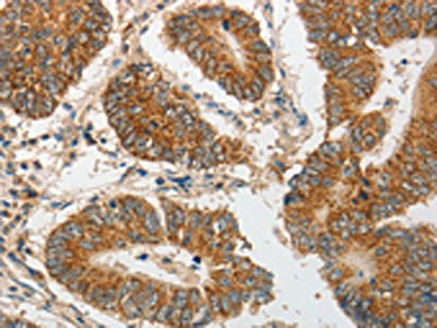
The image on the left is immunohistochemistry of paraffin-embedded Human colon cancer tissue using CSB-PA828391(PIBF1 Antibody) at dilution 1/20, on the right is treated with synthetic peptide. (Original magnification: ×200)
-
The image on the left is immunohistochemistry of paraffin-embedded Human liver cancer tissue using CSB-PA828391(PIBF1 Antibody) at dilution 1/20, on the right is treated with synthetic peptide. (Original magnification: ×200)
-
Gel: 10%SDS-PAGE, Lysate: 40 μg, Lane 1-2: Hela cells, 293T cells, Primary antibody: CSB-PA828391(PIBF1 Antibody) at dilution 1/400, Secondary antibody: Goat anti rabbit IgG at 1/8000 dilution, Exposure time: 2 minutes
-
-
其他:
產品詳情
-
Uniprot No.:
-
基因名:PIBF1
-
別名:PIBF1; C13orf24; PIBF; Progesterone-induced-blocking factor 1; Centrosomal protein of 90 kDa; CEP90
-
宿主:Rabbit
-
反應種屬:Human
-
免疫原:Synthetic peptide of Human PIBF1
-
免疫原種屬:Homo sapiens (Human)
-
標記方式:Non-conjugated
-
抗體亞型:IgG
-
純化方式:Antigen affinity purification
-
濃度:It differs from different batches. Please contact us to confirm it.
-
保存緩沖液:-20°C, pH7.4 PBS, 0.05% NaN3, 40% Glycerol
-
產品提供形式:Liquid
-
應用范圍:ELISA,WB,IHC
-
推薦稀釋比:
Application Recommended Dilution ELISA 1:1000-1:2000 WB 1:200-1:1000 IHC 1:25-1:100 -
Protocols:
-
儲存條件:Upon receipt, store at -20°C or -80°C. Avoid repeated freeze.
-
貨期:Basically, we can dispatch the products out in 1-3 working days after receiving your orders. Delivery time maybe differs from different purchasing way or location, please kindly consult your local distributors for specific delivery time.
-
用途:For Research Use Only. Not for use in diagnostic or therapeutic procedures.
相關產品
靶點詳情
-
功能:Plays a role in ciliogenesis.; Pericentriolar protein required to maintain mitotic spindle pole integrity. Required for the centrosomal accumulation of PCM1 and the recruitment of centriolar satellite proteins such as BBS4. Via association with PCM1 may be involved in primary cilia formation. Required for CEP63 centrosomal localization and its interaction with WDR62. Together with CEP63 promotes centriole duplication. Promotes the centrosomal localization of CDK2.; The secreted form is a mediator of progesterone that by acting on the phospholipase A2 enzyme interferes with arachidonic acid metabolism, induces a Th2 biased immune response, and by controlling decidual naturakl killer cells (NK) activity exerts an anti-abortive effect. Increases the production of Th2-type cytokines by signaling via the JAK/STAT pathway. Activates STAT6 and inhibits STAT4 phosphorylation. Signaling via a not identified receptor seems to implicate IL4R and a GPI-anchored protein.
-
基因功能參考文獻:
- We found at high levels of expression of PIBF protein in epithelial ovarian cancer patients. These data demonstrate that tumor cells can secrete PIBF to escape the immune system PMID: 29962287
- blood and placental tissue level expression of PIBF is concordant and correlates with both progesterone receptor expression status as well as final pregnancy outcome PMID: 27728856
- this study shows that preterm birth may be predictable at 24-28 gestational week by lower than normal pregnancy PIBF values PMID: 27479613
- B cells are a significant producer of PIBF1 in human choriodecidua in late gestation. Preterm labor was associated with a lower level of active PIBF1 in late gestation choriodecidua. PMID: 27918564
- PIBF plays a role in both normal pregnancy and tumor biology. PMID: 20367622
- PIBF promotes proliferation, migration, and invasion of human glioblastoma cells. PMID: 28168193
- These data show that exposure to an allogeneic stimulus is not needed to cause a marked rise in PIBF, merely progesterone alone is sufficient. PMID: 26634256
- Maternal serum progesterone-induced blocking factor (PIBF) in the prediction of preterm birth. PMID: 25818991
- progesterone-induced blocking factor is intracellularly expressed by the cultured cells from Glioblastoma PMID: 24474429
- Progesterone-induced blocking factor is hormonally regulated in human astrocytoma cells, and increases their growth through the IL-4R/JAK1/STAT6 pathway PMID: 25218441
- decreased kisspeptin and PIBF expressions in trophoblasts and deciduas are associated with recurrent spontaneous abortion PMID: 24225150
- reduced expression during late pregnancy and resorption PMID: 24325791
- Data indicate that silencing of progesterone-induced blocking factor (PIBF) increased invasiveness as well as MMP-2,-9 secretion of HTR8/SVneo trophoblast, and decreased those of HT-1080 cells. PMID: 23807209
- CEP90 physically interacts with PCM-1 at centriolar satellites, and this interaction is essential for centrosomal accumulation of the centriolar satellites and eventually for primary cilia formation. PMID: 23110211
- Suggest that urinary PIBF levels may predict graft rejection in transplant recipients. PMID: 22172828
- increased serum levels after dydrogesterone supplementation in women with threatened preterm delivery; positive correlation with the length of gestation PMID: 22032897
- CEP90 was characterized as a component of pericentriolar satellites. PMID: 21224392
- PIBF affects the expression of leptin and its receptor, and PIBF expression is inversely related to trophoblast invasiveness. PMID: 21632119
- promotes secretion of type 2 cytkines by activated lymphocytes from pregnant woman PMID: 19371956
- The 48-kDa N-terminal part of PIBF is biologically active, and the part of the molecule responsible for modulating natural killer cell activity is encoded by exons 2-4. PMID: 14634107
- PIBF production is a characteristic feature of normal pregnancy, and determination of PIBF concentration in urine might be of use for the diagnosis of threatened premature pregnancy termination. PMID: 15269099
- progesterone induced blocking factor overexpression is associated with breast neoplasms PMID: 15305375
- PIBF phosphorylates PKC via binding to the IL-4R, without affecting intracellular Ca(++). These findings explain the mechanism by which PIBF supports a Th2 dominant cytokine pattern. PMID: 16433831
- PIBF concentrations in urine and serum of patients with threatened abortion were significantly lower than in healthy pregnant women. PMID: 19290853
顯示更多
收起更多
-
相關疾病:May be associated with microcephaly.
-
亞細胞定位:Cytoplasm, cytoskeleton, microtubule organizing center, centrosome. Cytoplasm. Secreted.; [Isoform 1]: Nucleus. Cytoplasm, cytoskeleton, microtubule organizing center, centrosome. Cytoplasm, cytoskeleton, microtubule organizing center, centrosome, centriolar satellite. Secreted.; [Isoform 4]: Secreted.
-
組織特異性:Expressed at highest levels in testis. Moderate expression is detected in spleen, thymus, prostate, ovary, small intestine, and colon. Expressed in the first trimester pregnancy decidua. Localized to extravillous cytotrophoblast (at protein level). Also f
-
數據庫鏈接:
Most popular with customers
-
-
YWHAB Recombinant Monoclonal Antibody
Applications: ELISA, WB, IHC, IF, FC
Species Reactivity: Human, Mouse, Rat
-
-
-
-
-
-















