-
中文名稱:PITX3兔多克隆抗體
-
貨號:CSB-PA010844LA01HU
-
規格:¥440
-
圖片:
-
Western Blot
Positive WB detected in: Mouse spleen tissue, Mouse lung tissue, Mouse brain tissue
All lanes: PITX3 antibody at 2.7μg/ml
Secondary
Goat polyclonal to rabbit IgG at 1/50000 dilution
Predicted band size: 32 kDa
Observed band size: 32 kDa -
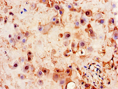
Immunohistochemistry of paraffin-embedded human placenta tissue using CSB-PA010844LA01HU at dilution of 1:100
-
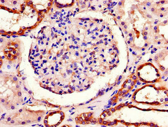
Immunohistochemistry of paraffin-embedded human kidney tissue using CSB-PA010844LA01HU at dilution of 1:100
-
-
其他:
產品詳情
-
產品名稱:Rabbit anti-Homo sapiens (Human) PITX3 Polyclonal antibody
-
Uniprot No.:
-
基因名:PITX3
-
別名:Homeobox protein PITX 3 antibody; Homeobox protein PITX3 antibody; MGC12766 antibody; Paired like homeodomain transcription factor 3 antibody; Paired-like homeodomain transcription factor 3 antibody; Pituitary homeobox 3 antibody; PITX 3 antibody; Pitx3 antibody; PITX3_HUMAN antibody; PTX 3 antibody; PTX3 antibody
-
宿主:Rabbit
-
反應種屬:Human, Mouse
-
免疫原:Recombinant Human Pituitary homeobox 3 protein (10-200AA)
-
免疫原種屬:Homo sapiens (Human)
-
標記方式:Non-conjugated
本頁面中的產品,PITX3 Antibody (CSB-PA010844LA01HU),的標記方式是Non-conjugated。對于PITX3 Antibody,我們還提供其他標記。見下表:
-
克隆類型:Polyclonal
-
抗體亞型:IgG
-
純化方式:>95%, Protein G purified
-
濃度:It differs from different batches. Please contact us to confirm it.
-
保存緩沖液:Preservative: 0.03% Proclin 300
Constituents: 50% Glycerol, 0.01M PBS, PH 7.4 -
產品提供形式:Liquid
-
應用范圍:ELISA, WB, IHC
-
推薦稀釋比:
Application Recommended Dilution WB 1:1000-1:5000 IHC 1:20-1:200 -
Protocols:
-
儲存條件:Upon receipt, store at -20°C or -80°C. Avoid repeated freeze.
-
貨期:Basically, we can dispatch the products out in 1-3 working days after receiving your orders. Delivery time maybe differs from different purchasing way or location, please kindly consult your local distributors for specific delivery time.
-
用途:For Research Use Only. Not for use in diagnostic or therapeutic procedures.
引用文獻
相關產品
靶點詳情
-
功能:Transcriptional regulator which is important for the differentiation and maintenance of meso-diencephalic dopaminergic (mdDA) neurons during development. In addition to its importance during development, it also has roles in the long-term survival and maintenance of the mdDA neurons. Activates NR4A2/NURR1-mediated transcription of genes such as SLC6A3, SLC18A2, TH and DRD2 which are essential for development of mdDA neurons. Acts by decreasing the interaction of NR4A2/NURR1 with the corepressor NCOR2/SMRT which acts through histone deacetylases (HDACs) to keep promoters of NR4A2/NURR1 target genes in a repressed deacetylated state. Essential for the normal lens development and differentiation. Plays a critical role in the maintenance of mitotic activity of lens epithelial cells, fiber cell differentiation and in the control of the temporal and spatial activation of fiber cell-specific crystallins. Positively regulates FOXE3 expression and negatively regulates PROX1 in the anterior lens epithelium, preventing activation of CDKN1B/P27Kip1 and CDKN1C/P57Kip2 and thus maintains lens epithelial cells in cell cycle.
-
基因功能參考文獻:
- Results show that a common polymorphism in the PITX3 gene affects the risk of developing Parkinson's disease (PD) dementia and visuospatial dysfunction in idiopathic PD. If validated, these findings can provide new insights into the neurobiology and genetics of non-motor symptoms in PD. PMID: 28991698
- Study showed that PITX3 methylation was significantly methylated in head and neck squamous cell carcinoma (HNSCC) tumor compared to normal adjacent tissue and correlated with lymph node status. These results provide evidence that PITX3 DNA methylation is an independent prognostic biomarker for overall survival in patients with HNSCC and might aid in the process of risk stratification for individualized treatment. PMID: 28174607
- These findings suggest that p.A203fs in PITX3 is the cause of cataracts in the recruited family. PMID: 28249924
- PITX3 variants rs3758549 and rs4919621 are not associated with ET in Chinese Han population. PMID: 27145793
- novel PITX3 mutation c.573del, p.(Ser192Alafs*117), was identified in heterozygous state in a Belgo-Romanian family with a similar phenotype PMID: 24555714
- Meta-analysis suggests that rs3758549, rs2281983, and rs4919621 single nucleotide polymorphisms are not major determinants of the risk for Parkinson's disease PMID: 24525476
- the SNP rs3758549 might contribute to the occurrence of Parkinson disease (PD) in the Asian population, especially early onset PD in the Asian population. PMID: 24394914
- Meta-analysis and HuGE review of genotype prevalence and gene-disease association. (HuGE Navigator) PMID: 11994226
- Mutations in PITX3 are not a common cause or a risk factor for multisystem atrophy and progressive supranuclear palsy in the Polish population. PMID: 23694789
- Presence of the rs4919621 allele A in PITX3 significantly increases the risk of Parkinson's disease (PD) patients in a Caucasian population, while rs2281983 allele C and rs4919621 allele A were both risk factors in early onset PD. PMID: 22429667
- novel synonymous SNP in PITX3 gene may contribute to PD risk in the Chinese population. PMID: 22411443
- Deletion of PITX3 is associated with aggressive neurobehavioral phenotype in Smith-Magenis Syndrome. PMID: 22223473
- Data show that BFSP2 and PITX3, hitherto known to cause eye defects only in a dominant fashion, can also present recessively. PMID: 21836522
- The results of this study suggested that these PITX3 SNPs do not contribute to the risk of developing PD in EOPD or LOPD in Chinese. PMID: 22037506
- The single nucleotide polymorphism rs3758549 (C >T substitution) in the Pitx3 gene is a potential risk for sporadic Parkinson disease (PD), especially early-onset PD in Chinese Han population. PMID: 21138504
- This study found that rs2281983 and rs4919621 appeared to confer susceptibility to Parkinson's disease, especially in early-onset Parkinson's disease and familial Parkinson's disease. PMID: 21469209
- Allele & genotype frequencies did not differ between patients & controls for rs2281983, rs4919621, & rs3758549. These SNP sites do not contribute to the risk of developing PD in late-onset sporadic PD in this Chinese population. PMID: 21565251
- The 542delC is a novel mutation in PITX3 causing an isolated posterior polar cataract. PMID: 21633712
- This study suggested that the PITX3 gene rs3758549 polymorphism may increase the susceptibility of Parkinson's disease in chinese. PMID: 21524731
- PITX3 may play a role in the pathogenesis of Parkinson disease. PMID: 19394114
- The result of this study found a strong association between the PITX3 promoter rs3758549 polymorphism and Parkinson's disease. PMID: 19345444
- Genetic variation in PITX3 may increase the risk of developing schizophrenia. PMID: 20570600
- The A-allele of a HapMap tagging SNP (rs4919621) that was genotyped in a population of Parkinson's disease (PD) patients, was significantly more common in PD patients with an early age of onset. PMID: 18420308
- The absence of PITX3 mutations in a family presenting congenital cataract and mental retardation, is reported. PMID: 20376326
- A family with posterior polar cataract with a novel deletion mutation in PITX3. PMID: 15286169
- we mapped dominant congenital posterior polar cataracts to chromosome 10q24. On sequencing the coding region of PITX3, we found a 17-base-pair duplication in exon 4. PMID: 16272057
- This is the first report of homozygous PITX3 mutations in humans. The phenotype in these individuals highlights the role of PITX3 in ocular and central nervous system (CNS) development. PMID: 16565358
- The 657ins17bp duplication of the PITX3 gene is the cause of the cataract phenotype in the large pedigree. PMID: 16636655
- we discuss the role of Pitx3 in molecular mechanisms involved in the regional specification, neuronal specification and differentiation of mDA neurons--REVIEW PMID: 17017509
- The G219fs mutation was found in multiple families affected with congenital cataracts along with anterior segment malformations. The S13N mutant showed only minor alteration and may represent a rare polymorphism in the PITX3 gene. PMID: 17888164
- We provide evidence for a novel, strong and reproducible association of the PITX3 promoter SNP rs3758549: C>T (p=0.004) with Parkinson Disease. PMID: 17905480
- Duplication of a segment of PITX3 can result in severe symptoms leading to functional blindness while in other individuals in the same family or in other families, the same duplication leads to treatable cataract with minimal visual impairment. PMID: 18989383
顯示更多
收起更多
-
相關疾病:Anterior segment dysgenesis 1 (ASGD1); Cataract 11, multiple types (CTRCT11)
-
亞細胞定位:Nucleus.
-
蛋白家族:Paired homeobox family, Bicoid subfamily
-
組織特異性:Highly expressed in developing eye lens.
-
數據庫鏈接:
Most popular with customers
-
-
YWHAB Recombinant Monoclonal Antibody
Applications: ELISA, WB, IHC, IF, FC
Species Reactivity: Human, Mouse, Rat
-
Phospho-YAP1 (S127) Recombinant Monoclonal Antibody
Applications: ELISA, WB, IHC
Species Reactivity: Human
-
-
-
-
-















