PIWIL2 Antibody
-
中文名稱:PIWIL2兔多克隆抗體
-
貨號:CSB-PA190095
-
規格:¥1100
-
圖片:
-
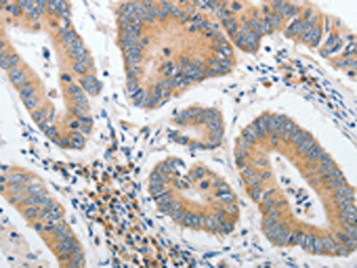
The image on the left is immunohistochemistry of paraffin-embedded Human colon cancer tissue using CSB-PA190095(PIWIL2 Antibody) at dilution 1/40, on the right is treated with synthetic peptide. (Original magnification: ×200)
-
The image on the left is immunohistochemistry of paraffin-embedded Human ovarian cancer tissue using CSB-PA190095(PIWIL2 Antibody) at dilution 1/40, on the right is treated with synthetic peptide. (Original magnification: ×200)
-
-
其他:
產品詳情
-
Uniprot No.:
-
基因名:PIWIL2
-
別名:Cancer/testis antigen 80 antibody; CT80 antibody; Hiwi like antibody; MILI antibody; Miwi like antibody; Piwi like 2 antibody; Piwi-like protein 2 antibody; Piwil2 antibody; PIWL2_HUMAN antibody
-
宿主:Rabbit
-
反應種屬:Human
-
免疫原:Synthetic peptide of Human PIWIL2
-
免疫原種屬:Homo sapiens (Human)
-
標記方式:Non-conjugated
-
抗體亞型:IgG
-
純化方式:Antigen affinity purification
-
濃度:It differs from different batches. Please contact us to confirm it.
-
保存緩沖液:-20°C, pH7.4 PBS, 0.05% NaN3, 40% Glycerol
-
產品提供形式:Liquid
-
應用范圍:ELISA,IHC
-
推薦稀釋比:
Application Recommended Dilution ELISA 1:2000-1:5000 IHC 1:25-1:100 -
Protocols:
-
儲存條件:Upon receipt, store at -20°C or -80°C. Avoid repeated freeze.
-
貨期:Basically, we can dispatch the products out in 1-3 working days after receiving your orders. Delivery time maybe differs from different purchasing way or location, please kindly consult your local distributors for specific delivery time.
-
用途:For Research Use Only. Not for use in diagnostic or therapeutic procedures.
相關產品
靶點詳情
-
功能:Endoribonuclease that plays a central role during spermatogenesis by repressing transposable elements and preventing their mobilization, which is essential for the germline integrity. Plays an essential role in meiotic differentiation of spermatocytes, germ cell differentiation and in self-renewal of spermatogonial stem cells. Acts via the piRNA metabolic process, which mediates the repression of transposable elements during meiosis by forming complexes composed of piRNAs and Piwi proteins and govern the methylation and subsequent repression of transposons. During piRNA biosynthesis, plays a key role in the piRNA amplification loop, also named ping-pong amplification cycle, by acting as a 'slicer-competent' piRNA endoribonuclease that cleaves primary piRNAs, which are then loaded onto 'slicer-incompetent' PIWIL4. PIWIL2 slicing produces a pre-miRNA intermediate, which is then processed in mature piRNAs, and as well as a 16 nucleotide by-product that is degraded. Required for PIWIL4/MIWI2 nuclear localization and association with secondary piRNAs antisense. Besides their function in transposable elements repression, piRNAs are probably involved in other processes during meiosis such as translation regulation. Indirectly modulates expression of genes such as PDGFRB, SLC2A1, ITGA6, GJA7, THY1, CD9 and STRA8. When overexpressed, acts as an oncogene by inhibition of apoptosis and promotion of proliferation in tumors. Represses circadian rhythms by promoting the stability and activity of core clock components ARNTL/BMAL1 and CLOCK by inhibiting GSK3B-mediated phosphorylation and ubiquitination-dependent degradation of these proteins.
-
基因功能參考文獻:
- n vitro experiments demonstrated a possible role of the PIWIL2/HILI short isoform in repressing TEs, which could provide a growth advantage for testicular germ cell tumors through securing their genome integrity. PMID: 29301509
- A statistically significantly higher level of PIWIL1 and PIWIL2 was found in IDC compared to mastopathy samples (p=0.0001). Increased expression of PIWIL1 was correlated with increased PIWIL2 expression in breast cancer tissue. PMID: 29599319
- this study shows that an unusual intragenic promoter of PIWIL2 contributes to aberrant activation of oncogenic PL2L60 PMID: 28545024
- High expression of PIWIL2 is associated with glioma. PMID: 28534979
- Protein expression levels of PIWIL2 was significantly up-regulated in both papillary and micropapillary thyroid cancers (p<0.01). Moreover, consistent with protein expression levels, mRNA expression levels of PIWIL2 was elevated in both papillary and micropapillary thyroid cancer tissues. PMID: 29369786
- Results revealed that Piwil2 exhibits 100% positive expression in the cell nucleus, with the intensity higher than in the cytoplasm. Along with nuclear location of PIWIL4, PIWIL2 expression is associated with worse prognosis of hepatocellular carcinoma. PMID: 27894076
- this study demonstrates that Piwil2, reactivated by the human papillomavirus oncoproteins E6 and E7, plays an essential role in the transformation of cervical epithelial cells to tumor-initiating cells via epigenetics-based cell reprogramming PMID: 27602489
- Data show that the PIWIL2 protein transfected fibroblast cells grew into tumorous masses within 5 weeks of subcutaneous injection into adult nude mice. PMID: 28103575
- report demonstrated that human Piwil proteins, especially Hili, not only bind to select tRNA species, including rare tRNAs, but also inhibit HIV replication PMID: 28331090
- PIWIL2 and PIWIL4 genes expression in synovial fibroblasts of the rheumatoid arthritis patients PMID: 27893851
- MMP9 and PIWIL2 expression levels in cancerous tissues were significantly higher than the adjacent normal tissues PMID: 27215085
- PIWIL2 has a role in promoting progression of non-small cell lung cancer by inducing CDK2 and Cyclin A expression PMID: 26373553
- Piwil 2 expression is correlated with disease-specific and progression-free survival of chemotherapy-treated bladder cancer patients PMID: 25998509
- Univariate analysis demonstrated that high PIWIL2 expression was associated with shorter survival time after radical resection. PMID: 26125915
- Knockdown of Piwil2 gene in SiHa cells inhibited cell growth and invasion, and downregulated matrix metalloproteinase-9 (MMP-9) compared to scrambled shRNA transfected cells PMID: 26775345
- Results show that both PIWIL2 protein isoforms are expressed in testicular germ cell lines but in the tumors, the short protein and mRNA are predominant and highly expressed in undifferentiated tumors. PMID: 25384072
- Our results indicate a reciprocal regulation between HIWI, HILI and some CSCs markers in colorectal cancer PMID: 26026091
- PIWIL2 modulates tumor cell proliferation and F-actin filaments by interacting with NME2 and regulating c-Myc expression. PMID: 25193865
- This study revealed critical negative regulation of TGF-beta signalling by PIWIL2 in HepG2 tumour cells. PMID: 25040173
- Study indicates that Piwil2 plays a role in Fas-mediated apoptosis and can affect p53 phosphorylation in tumor cells, revealing a novel mechanism of Piwil2 in apoptosis, and supports that Piwil2 plays an active role in tumorigenesis. PMID: 25113562
- High Piwil2 expression is associated with breast cancer. PMID: 23992744
- Our study identifies surrogate DNA methylation markers for idiopathic infertility in peripheral blood and suggests that allele-specific DNA methylation differences at regulatory sites of genes are associated with disturbed spermatogenesis. PMID: 24524831
- Data suggest that the epitopes could be used as novel candidates to the immunotherapy of HLA-A2 positive patients with tumors expressing PL2L60, the spliced fragment of PIWIL2. PMID: 24077852
- DNA methylation, at least that affecting PIWIL2/TDRD1, has a role in the control of gene expression in spermatogenesis and its imbalance contributes to an unsuccessful germ cell development that might explain a group of male infertility disorders. PMID: 23112866
- Piwil2 moderates the proliferation and metastasis potential of colon cancer. PMID: 23104504
- we identified a significant association between the expression of Piwi-like 2 and 4 mRNAs and the tumor-specific survival of soft tissue sarcoma patients. PMID: 22748119
- a critical negative regulation level of TGF-beta signaling mediated by HILI (human PIWIL2) by its ability to interact with Hsp90 and promote TbetaR degradation PMID: 22848678
- Piwil2 plays a role in anti-apoptosis in tumor cells possessing P53 as a positive regulator of STAT3 signaling pathway. PMID: 22303479
- a new role for Piwil2 in DNA repair PMID: 22110608
- Piwil2 may play a role in the invasion and metastasis of papillary thyroid carcinoma. PMID: 21575418
- The study demonstrated that HILI along with piRNAs plays a role in LINE1 suppression in Hela cancer cell line. PMID: 20846497
- piwil2 is expressed in various stages of breast cancers and has the potential to be used a novel biomarker. PMID: 20490325
- Findings define Piwil2 and its effector signaling pathways as key factors in the proliferation and survival of breast cancer stem cells. PMID: 20460541
- our study indicates that PIWIL2 does not play a role in carcinogenesis of human bladder carcinoma PMID: 19683485
- Stem-cell protein Piwil2 is widely expressed in tumors and inhibits apoptosis through activation of Stat3/Bcl-XL pathway. PMID: 16377660
顯示更多
收起更多
-
亞細胞定位:Cytoplasm.
-
蛋白家族:Argonaute family, Piwi subfamily
-
組織特異性:Expressed in adult testis and in most tumors.
-
數據庫鏈接:
Most popular with customers
-
YWHAB Recombinant Monoclonal Antibody
Applications: ELISA, WB, IHC, IF, FC
Species Reactivity: Human, Mouse, Rat
-
Phospho-YAP1 (S127) Recombinant Monoclonal Antibody
Applications: ELISA, WB, IHC
Species Reactivity: Human
-
-
-
-
-
-















