PLA2G2D Antibody
-
中文名稱:PLA2G2D兔多克隆抗體
-
貨號:CSB-PA891566LA01HU
-
規格:¥440
-
圖片:
-
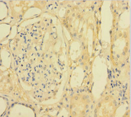
Immunohistochemistry of paraffin-embedded human kidney tissue using CSB-PA891566LA01HU at dilution of 1:100
-
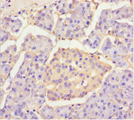
Immunohistochemistry of paraffin-embedded human pancreatic tissue using CSB-PA891566LA01HU at dilution of 1:100
-
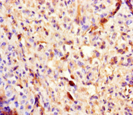
Immunohistochemistry of paraffin-embedded human melanoma using CSB-PA891566LA01HU at dilution of 1:100
-
-
其他:
產品詳情
-
產品名稱:Rabbit anti-Homo sapiens (Human) PLA2G2D Polyclonal antibody
-
Uniprot No.:
-
基因名:
-
別名:2IID antibody; EC 3.1.1.4 antibody; GIID sPLA2 antibody; Group IID secretory phospholipase A2 antibody; Group IID secretory phospholipase A2 precursor antibody; PA2GD_HUMAN antibody; Phosphatidylcholine 2 acylhydrolase GIID antibody; Phosphatidylcholine 2-acylhydrolase 2D antibody; Phospholipase A2 group IID antibody; Pla2g2d antibody; PLA2IID antibody; Secretory phospholipase A2s antibody; Secretory type PLA stroma associated homolog antibody; Secretory-type PLA antibody; sPLA antibody; sPLA2-IID antibody; sPLA2S antibody; SPLASH antibody; stroma-associated homolog antibody
-
宿主:Rabbit
-
反應種屬:Human
-
免疫原:Recombinant Human Group IID secretory phospholipase A2 protein (22-145AA)
-
免疫原種屬:Homo sapiens (Human)
-
標記方式:Non-conjugated
本頁面中的產品,PLA2G2D Antibody (CSB-PA891566LA01HU),的標記方式是Non-conjugated。對于PLA2G2D Antibody,我們還提供其他標記。見下表:
-
克隆類型:Polyclonal
-
抗體亞型:IgG
-
純化方式:>95%, Protein G purified
-
濃度:It differs from different batches. Please contact us to confirm it.
-
保存緩沖液:Preservative: 0.03% Proclin 300
Constituents: 50% Glycerol, 0.01M PBS, PH 7.4 -
產品提供形式:Liquid
-
應用范圍:ELISA, IHC
-
推薦稀釋比:
Application Recommended Dilution IHC 1:20-1:200 -
Protocols:
-
儲存條件:Upon receipt, store at -20°C or -80°C. Avoid repeated freeze.
-
貨期:Basically, we can dispatch the products out in 1-3 working days after receiving your orders. Delivery time maybe differs from different purchasing way or location, please kindly consult your local distributors for specific delivery time.
-
用途:For Research Use Only. Not for use in diagnostic or therapeutic procedures.
相關產品
靶點詳情
-
功能:Secretory calcium-dependent phospholipase A2 that primarily targets extracellular lipids, exerting anti-inflammatory and immunosuppressive functions. Hydrolyzes the ester bond of the fatty acyl group attached at sn-2 position of phospholipids (phospholipase A2 activity) with preference for phosphatidylethanolamines and phosphatidylglycerols over phosphatidylcholines. In draining lymph nodes, selectively hydrolyzes diacyl and alkenyl forms of phosphatidylethanolamines, releasing omega-3 polyunsaturated fatty acids (PUFAs) such as eicosapentaenoate and docosahexaenoate that are precursors of the anti-inflammatory lipid mediators, resolvins. During the resolution phase of acute inflammation drives docosahexaenoate-derived resolvin D1 synthesis, which suppresses dendritic cell activation and T-helper 1 immune response. May act in an autocrine and paracrine manner. Via a mechanism independent of its catalytic activity, promotes differentiation of regulatory T cells (Tregs) and participates in the maintenance of immune tolerance. May contribute to lipid remodeling of cellular membranes and generation of lipid mediators involved in pathogen clearance. Displays bactericidal activity against Gram-positive bacteria by directly hydrolyzing phospholipids of the bacterial membrane.
-
基因功能參考文獻:
- found to induce PLA2G2D expression in mice and in human monocyte-derived macrophages PMID: 26392224
- sPLA(2)-IID is present at the head and midpiece in the human sperm, and its activation seems to be involved in acrosomal exocytosis. PMID: 22240557
- phospholipid bilayer permeabilization by the hsPLA2GIID is independent of catalytic activity. PMID: 22490726
- The Gly80Ser polymorphism may be associated with the body weight loss seen in chronic obstructive pulmonary disease patients. PLA2G2D-Ser enhances the expression of IL-6 and IL-8 compared with PLA2G2D-Gly. PMID: 19365107
- TNF-alpha & IFN-gamma induce gene expression of a novel secretory PLA(2)IIDin human airway epithelial cells. The possibility that it is involved in cytokine-mediated inflammation in the respiratory tract is inferred. PMID: 12396716
- The GIID sPLA2 is clustered on human chromosome 1 and is differentially expressed in tissues, suggesting it has unique function. PMID: 15052324
- overexpression of human secretory phospholipase A2 group IIA leads to an enhanced delivery of cholesterol from phospholipolysed lipoproteins to the liver PMID: 15379211
- These results suggest that sPLA2-IID may be one of the susceptibility genes that contribute to body weight loss in patients with COPD. PMID: 16002569
- lipopolysaccharides inhibit interferon gamma-induced gene expression of secretory phospholipase A2 type IID in human monocyte-derived macrophages PMID: 16897354
- The distribution pattern of sPLA2S in intact spermatozoa might be an additional parameter for evaluating sperm quality PMID: 18958346
顯示更多
收起更多
-
亞細胞定位:Secreted.
-
蛋白家族:Phospholipase A2 family
-
組織特異性:Highly expressed in pancreas and spleen and less abundantly in colon, thymus, placenta, small intestine, and prostate.
-
數據庫鏈接:
Most popular with customers
-
-
Phospho-YAP1 (S127) Recombinant Monoclonal Antibody
Applications: ELISA, WB, IHC
Species Reactivity: Human
-
-
-
-
-
-















