PLEKHJ1 Antibody
-
中文名稱:PLEKHJ1兔多克隆抗體
-
貨號:CSB-PA868334LA01HU
-
規格:¥440
-
圖片:
-
其他:
產品詳情
-
產品名稱:Rabbit anti-Homo sapiens (Human) PLEKHJ1 Polyclonal antibody
-
Uniprot No.:
-
基因名:PLEKHJ1
-
別名:9530063M10Rik antibody; FLJ10297 antibody; Guanine nucleotide releasing protein x antibody; Guanine nucleotide-releasing protein x antibody; Likely ortholog of mouse guanine nucleotide releasing protein x antibody; PH domain containing family J member 1 antibody; PH domain-containing family J member 1 antibody; PKHJ1_HUMAN antibody; Pleckstrin homology domain containing family J member 1 antibody; Pleckstrin homology domain-containing family J member 1 antibody; PLEKHJ 1 antibody; PLEKHJ1 antibody
-
宿主:Rabbit
-
反應種屬:Human
-
免疫原:Recombinant Human Pleckstrin homology domain-containing family J member 1 protein (1-149AA)
-
免疫原種屬:Homo sapiens (Human)
-
標記方式:Non-conjugated
本頁面中的產品,PLEKHJ1 Antibody (CSB-PA868334LA01HU),的標記方式是Non-conjugated。對于PLEKHJ1 Antibody,我們還提供其他標記。見下表:
-
克隆類型:Polyclonal
-
抗體亞型:IgG
-
純化方式:>95%, Protein G purified
-
濃度:It differs from different batches. Please contact us to confirm it.
-
保存緩沖液:Preservative: 0.03% Proclin 300
Constituents: 50% Glycerol, 0.01M PBS, PH 7.4 -
產品提供形式:Liquid
-
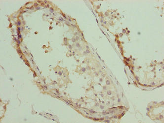
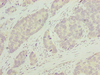
應用范圍:ELISA, IHC
-
推薦稀釋比:
Application Recommended Dilution IHC 1:20-1:200 -
Protocols:
-
儲存條件:Upon receipt, store at -20°C or -80°C. Avoid repeated freeze.
-
貨期:Basically, we can dispatch the products out in 1-3 working days after receiving your orders. Delivery time maybe differs from different purchasing way or location, please kindly consult your local distributors for specific delivery time.
-
用途:For Research Use Only. Not for use in diagnostic or therapeutic procedures.
相關產品
Most popular with customers
-
-
YWHAB Recombinant Monoclonal Antibody
Applications: ELISA, WB, IHC, IF, FC
Species Reactivity: Human, Mouse, Rat
-
Phospho-YAP1 (S127) Recombinant Monoclonal Antibody
Applications: ELISA, WB, IHC
Species Reactivity: Human
-
-
-
-
-















