PNPLA6 Antibody
-
中文名稱:PNPLA6兔多克隆抗體
-
貨號:CSB-PA809011LA01HU
-
規格:¥440
-
圖片:
-
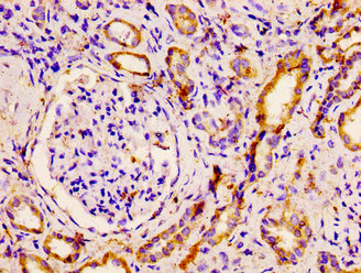
IHC image of CSB-PA809011LA01HU diluted at 1:500 and staining in paraffin-embedded human kidney tissue performed on a Leica BondTM system. After dewaxing and hydration, antigen retrieval was mediated by high pressure in a citrate buffer (pH 6.0). Section was blocked with 10% normal goat serum 30min at RT. Then primary antibody (1% BSA) was incubated at 4°C overnight. The primary is detected by a biotinylated secondary antibody and visualized using an HRP conjugated SP system.
-
Immunofluorescence staining of Hela cells with CSB-PA809011LA01HU at 1:166, counter-stained with DAPI. The cells were fixed in 4% formaldehyde, permeabilized using 0.2% Triton X-100 and blocked in 10% normal Goat Serum. The cells were then incubated with the antibody overnight at 4°C. The secondary antibody was Alexa Fluor 488-congugated AffiniPure Goat Anti-Rabbit IgG(H+L).
-
-
其他:
產品詳情
-
產品名稱:Rabbit anti-Homo sapiens (Human) PNPLA6 Polyclonal antibody
-
Uniprot No.:
-
基因名:PNPLA6
-
別名:EC 3.1.1.5 antibody; Neuropathy target esterase antibody; NTEMND antibody; Patatin like phospholipase domain containing 6 antibody; Patatin like phospholipase domain containing protein 6 antibody; Patatin-like phospholipase domain-containing protein 6 antibody; PLPL6_HUMAN antibody; Pnpla6 antibody; SPG39 antibody; sws antibody
-
宿主:Rabbit
-
反應種屬:Human
-
免疫原:Recombinant Human Neuropathy target esterase protein (345-493AA)
-
免疫原種屬:Homo sapiens (Human)
-
標記方式:Non-conjugated
本頁面中的產品,PNPLA6 Antibody (CSB-PA809011LA01HU),的標記方式是Non-conjugated。對于PNPLA6 Antibody,我們還提供其他標記。見下表:
-
克隆類型:Polyclonal
-
抗體亞型:IgG
-
純化方式:>95%, Protein G purified
-
濃度:It differs from different batches. Please contact us to confirm it.
-
保存緩沖液:Preservative: 0.03% Proclin 300
Constituents: 50% Glycerol, 0.01M PBS, pH 7.4 -
產品提供形式:Liquid
-
應用范圍:ELISA, IHC, IF
-
推薦稀釋比:
Application Recommended Dilution IHC 1:500-1:1000 IF 1:50-1:200 -
Protocols:
-
儲存條件:Upon receipt, store at -20°C or -80°C. Avoid repeated freeze.
-
貨期:Basically, we can dispatch the products out in 1-3 working days after receiving your orders. Delivery time maybe differs from different purchasing way or location, please kindly consult your local distributors for specific delivery time.
-
用途:For Research Use Only. Not for use in diagnostic or therapeutic procedures.
相關產品
靶點詳情
-
功能:Phospholipase B that deacylates intracellular phosphatidylcholine (PtdCho), generating glycerophosphocholine (GroPtdCho). This deacylation occurs at both sn-2 and sn-1 positions of PtdCho. Catalyzes the hydrolysis of several naturally occurring membrane-associated lipids. Hydrolyzes lysophospholipids and monoacylglycerols, preferring the 1-acyl to the 2-acyl isomer. Does not catalyze hydrolysis of di- or triacylglycerols or fatty acid amides.
-
基因功能參考文獻:
- This result further confirmed the role of PNPLA6 in BoucherNeuhauser syndrome (BNS) and suggested that whole exome sequencing may be applied for the diagnosis of complex syndromes, including BNS, prior to the observation of obvious symptoms. PMID: 29749493
- Silencing of PNPLA6, the neuropathy target esterase (NTE) codifying gene, alters early neurodevelopment. PMID: 25255935
- These results strongly suggest that PNPLA9, -6 and -4 play a key role in GPL turnover and homeostasis in human cells. A hypothetical model suggesting how these enzymes could recognize the relative concentration of the different GPLs is proposed PMID: 27317427
- The unusual medical history with childhood ataxia and hypogonadotropic hypogonadism lead to further examinations and eventually the diagnosis of BNS. The older sister of the proband also displayed the triad of ataxia, HH and chorioretinal dystrophy accompanied by cerebellar atrophy and in 2014, we found the mutations in PNPLA6. PMID: 27866050
- Data indicate two novel homozygous mutations (one frameshift and one missense mutation) detected in CYP7B1 (SPG5A), while no disease-causing mutation was identified for PNPLA6 (SPG39) and C19orf12 (SPG43). PMID: 26714052
- inducible, neuron-specific expression of full-length human wildtype NTE reduces vacuole formation and substantially rescues mobility. PMID: 26671664
- Eight mutations in six families with Oliver-McFarlane or Laurence-Moon syndrome were identified in the PNPLA6 gene, which encodes neuropathy target esterase. PMID: 25480986
- PNPLA6 has a role in photoreceptor survival; its mutations are linked to photoreceptor degeneration and various forms of childhood blindness PMID: 25574898
- we found a novel compound heterozygous mutation and a novel homozygous one in the PNPLA6 gene in two Japanese patients with BNS. PMID: 25631098
- Data confirm PNPLA6 mutations as the leading cause of Boucher-Neuhauser syndrome and suggest inquiring about a history of hypogonadism or visual changes in patients presenting with late-onset gait ataxia. PMID: 25267340
- These results suggest that hypogonadism-dependent alteration of phospholipid homeostasis in Gordon Holmes syndrome causes both neurodegeneration and impaired LH release from pituitary gonadotropes, leading to the disease. PMID: 25033069
- The activity of NTE was higher in Sick building syndrome patients compared with controls. Population with an AA genotype of a single nucleotide polymorphism, rs480208, in intron 21 of the PNPLA6 gene strongly reduced the activity of NTE. PMID: 23418070
- PNPLA6 influences a manifold of neuronal systems, from the retina to the cerebellum, upper and lower motor neurons and the neuroendocrine system PMID: 24355708
- Neuronal phospholipid deacylation is essential for axonal and synaptic integrity through the action of iPLA2 and NTE. PMID: 22903185
- These results suggested for the first time that NTE is a cell cycle-dependent protein. PMID: 20306302
- Mutations in the neuropathy target esterase (NTE) gene cause autosomal recessive motor neuron disease. The features of affected subjects in the index families are described. PMID: 21171093
- Endogenous NTE activity was increased by cAMP-elevating chemicals, but decreased by the adenyl cyclase inhibitor SQ22536 which can reduce intracellular cAMP levels. PMID: 20380879
- Lack of correlation between reduced fibroblast NTE SA and the occurrence of NTE-MND in NTE insertion mutation heterozygotes indicates that reduction of NTE SA alone is insufficient to cause notor neuron disease. PMID: 20603202
- used the NTE catalytic domain (NEST) to hydrolyze palmitoyl-2-hydroxy-sn-glycero-3-phosphocholine (p-lysoPC) to palmitic acid in bilayer membranes comprising DOPC and NBD-PC PMID: 20346913
- The mutations found in association with NTE-related motor neuron disease have functional correlates in altered enzymological properties of NTE. PMID: 20382209
- catalyzes hydrolysis of membrane lipids PMID: 11927584
- Neuropathy target esterase and its homologues play a central role in membrane lipid homeostasis PMID: 15044461
- All-trans retinoic acid -induced differentiation of the neuroblastoma cells with lowered NTE activity revealed that inhibition of NTE expression does not affect neural differentiation. PMID: 16010971
- Results suggest that reduction of neuropathy target esterase does not affect process outgrowth or differentiation of neuroblastoma cells. PMID: 16122834
- results suggest that the role of NTE over-expression in cell proliferation is associated with different mechanisms in different cells PMID: 16987144
- These findings suggest that stimulation with phorbol 12-myristate 13-acetate reduces the expression of NTE mRNA levels but does not affect the exogenous promoter-driven NTE expression in mammalian cells. PMID: 17385009
- NTE mutations in unrelated motor neuron disease patients indicate NTE's importance in maintaining axonal integrity. PMID: 18313024
- the macroautophagy/lysosome pathway plays a role in controlling NTE quantity, providing a further understanding of the function of NTE. PMID: 19059269
顯示更多
收起更多
-
相關疾病:Spastic paraplegia 39, autosomal recessive (SPG39); Boucher-Neuhauser syndrome (BNHS); Laurence-Moon syndrome (LNMS); Oliver-McFarlane syndrome (OMCS)
-
亞細胞定位:Endoplasmic reticulum membrane; Single-pass type III membrane protein.
-
蛋白家族:NTE family
-
組織特異性:Expressed in brain, placenta, kidney, neuron and skeletal muscle. Expressed in the developing eye, pituitary and brain.
-
數據庫鏈接:
Most popular with customers
-
-
YWHAB Recombinant Monoclonal Antibody
Applications: ELISA, WB, IHC, IF, FC
Species Reactivity: Human, Mouse, Rat
-
Phospho-YAP1 (S127) Recombinant Monoclonal Antibody
Applications: ELISA, WB, IHC
Species Reactivity: Human
-
-
-
-
-















