POFUT2 Antibody
-
中文名稱:POFUT2兔多克隆抗體
-
貨號:CSB-PA837737LA01HU
-
規格:¥440
-
圖片:
-
Western Blot
Positive WB detected in: U87 whole cell lysate
All lanes: POFUT2 antibody at 3.2µg/ml
Secondary
Goat polyclonal to rabbit IgG at 1/50000 dilution
Predicted band size: 50, 49, 45 kDa
Observed band size: 50 kDa -
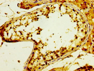
IHC image of CSB-PA837737LA01HU diluted at 1:300 and staining in paraffin-embedded human testis tissue performed on a Leica BondTM system. After dewaxing and hydration, antigen retrieval was mediated by high pressure in a citrate buffer (pH 6.0). Section was blocked with 10% normal goat serum 30min at RT. Then primary antibody (1% BSA) was incubated at 4°C overnight. The primary is detected by a biotinylated secondary antibody and visualized using an HRP conjugated SP system.
-
IHC image of CSB-PA837737LA01HU diluted at 1:300 and staining in paraffin-embedded human melanoma performed on a Leica BondTM system. After dewaxing and hydration, antigen retrieval was mediated by high pressure in a citrate buffer (pH 6.0). Section was blocked with 10% normal goat serum 30min at RT. Then primary antibody (1% BSA) was incubated at 4°C overnight. The primary is detected by a biotinylated secondary antibody and visualized using an HRP conjugated SP system.
-
-
其他:
產品詳情
-
產品名稱:Rabbit anti-Homo sapiens (Human) POFUT2 Polyclonal antibody
-
Uniprot No.:
-
基因名:POFUT2
-
別名:POFUT2 antibody; C21orf80 antibody; FUT13 antibody; KIAA0958 antibody; GDP-fucose protein O-fucosyltransferase 2 antibody; EC 2.4.1.221 antibody; Peptide-O-fucosyltransferase 2 antibody; O-FucT-2 antibody
-
宿主:Rabbit
-
反應種屬:Human
-
免疫原:Recombinant Human GDP-fucose protein O-fucosyltransferase 2 protein (125-271AA)
-
免疫原種屬:Homo sapiens (Human)
-
標記方式:Non-conjugated
本頁面中的產品,POFUT2 Antibody (CSB-PA837737LA01HU),的標記方式是Non-conjugated。對于POFUT2 Antibody,我們還提供其他標記。見下表:
-
克隆類型:Polyclonal
-
抗體亞型:IgG
-
純化方式:>95%, Protein G purified
-
濃度:It differs from different batches. Please contact us to confirm it.
-
保存緩沖液:Preservative: 0.03% Proclin 300
Constituents: 50% Glycerol, 0.01M PBS, pH 7.4 -
產品提供形式:Liquid
-
應用范圍:ELISA, WB, IHC
-
推薦稀釋比:
Application Recommended Dilution WB 1:500-1:5000 IHC 1:200-1:500 -
Protocols:
-
儲存條件:Upon receipt, store at -20°C or -80°C. Avoid repeated freeze.
-
貨期:Basically, we can dispatch the products out in 1-3 working days after receiving your orders. Delivery time maybe differs from different purchasing way or location, please kindly consult your local distributors for specific delivery time.
-
用途:For Research Use Only. Not for use in diagnostic or therapeutic procedures.
相關產品
靶點詳情
-
功能:Catalyzes the reaction that attaches fucose through an O-glycosidic linkage to a conserved serine or threonine residue in the consensus sequence C1-X(2,3)-S/T-C2-X(2)-G of thrombospondin type 1 repeats where C1 and C2 are the first and second cysteines, respectively. O-fucosylates members of several protein families including the ADAMTS family, the thrombosporin (TSP) and spondin families. The O-fucosylation of TSRs is also required for restricting epithelial to mesenchymal transition (EMT), maintaining the correct patterning of mesoderm and localization of the definite endoderm. Required for the proper secretion of ADAMTS family members such as ADAMSL1 and ADAMST13.
-
基因功能參考文獻:
- This study demonstrated that the alteration of POFUT2 expression in the superior temporal gyrus of elderly patients with schizophrenia. PMID: 27773385
- POFUT2 and B3GLCT mediate a noncanonical endoplasmic reticulum quality-control mechanism that recognizes folded thrombospondin type 1 repeats and stabilizes them by glycosylation. PMID: 25544610
- Structure of human POFUT2: insights into thrombospondin type 1 repeat fold and O-fucosylation. PMID: 22588082
-
亞細胞定位:Endoplasmic reticulum. Golgi apparatus. Note=Mainly located in the endoplasmic reticulum.
-
蛋白家族:Glycosyltransferase 68 family
-
組織特異性:Isoform A is expressed in fetal liver and peripheral blood lymphocytes. Isoform B is expressed in spleen, lung, testis, bone marrow, thymus, pancreas, prostate, fetal brain, fetal liver and fetal kidney. Isoform C is expressed in brain, heart, spleen, liv
-
數據庫鏈接:
Most popular with customers
-
-
YWHAB Recombinant Monoclonal Antibody
Applications: ELISA, WB, IHC, IF, FC
Species Reactivity: Human, Mouse, Rat
-
Phospho-YAP1 (S127) Recombinant Monoclonal Antibody
Applications: ELISA, WB, IHC
Species Reactivity: Human
-
-
-
-
-















