POU4F3 Antibody
-
中文名稱:POU4F3兔多克隆抗體
-
貨號:CSB-PA620877ESR2HU
-
規格:¥440
-
圖片:
-
Western blot
All lanes: POU4F3antibody at 1.97μg/ml + Mouse brain tissue
Secondary
Goat polyclonal to rabbit IgG at 1/10000 dilution
Predicted band size: 37 kDa
Observed band size: 37 kDa -
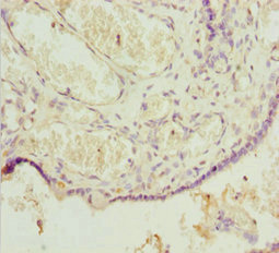
Immunohistochemistry of paraffin-embedded human brain tissue using CSB-PA620877ESR2HU at dilution of 1:100
-
Immunohistochemistry of paraffin-embedded human placenta tissue using CSB-PA620877ESR2HU at dilution of 1:100
-
-
其他:
產品詳情
-
產品名稱:Rabbit anti-Homo sapiens (Human) POU4F3 Polyclonal antibody
-
Uniprot No.:
-
基因名:POU4F3
-
別名:Brain specific homeobox/POU domain protein 3C antibody; Brain-3C antibody; Brain-specific homeobox/POU domain protein 3C antibody; BRN 3C antibody; Brn-3C antibody; BRN3C antibody; class 4 antibody; DFNA 15 antibody; DFNA15 antibody; MGC138412 antibody; PO4F3_HUMAN antibody; POU class 4 homeobox 3 antibody; POU domain antibody; POU domain class 4 transcription factor 3 antibody; POU4F3 antibody; transcription factor 3 antibody
-
宿主:Rabbit
-
反應種屬:Human, Mouse
-
免疫原:Recombinant Human POU domain, class 4, transcription factor 3 protein (1-180AA)
-
免疫原種屬:Homo sapiens (Human)
-
標記方式:Non-conjugated
-
克隆類型:Polyclonal
-
抗體亞型:IgG
-
純化方式:Antigen Affinity Purified
-
濃度:It differs from different batches. Please contact us to confirm it.
-
保存緩沖液:PBS with 0.02% sodium azide, 50% glycerol, pH7.3.
-
產品提供形式:Liquid
-
應用范圍:ELISA, WB, IHC
-
推薦稀釋比:
Application Recommended Dilution WB 1:1000-1:5000 IHC 1:20-1:200 -
Protocols:
-
儲存條件:Upon receipt, store at -20°C or -80°C. Avoid repeated freeze.
-
貨期:Basically, we can dispatch the products out in 1-3 working days after receiving your orders. Delivery time maybe differs from different purchasing way or location, please kindly consult your local distributors for specific delivery time.
-
用途:For Research Use Only. Not for use in diagnostic or therapeutic procedures.
相關產品
靶點詳情
-
功能:Acts as a transcriptional activator. Acts by binding to sequences related to the consensus octamer motif 5'-ATGCAAAT-3' in the regulatory regions of its target genes. Involved in the auditory system development, required for terminal differentiation of hair cells in the inner ear.
-
基因功能參考文獻:
- POU4F3 c.602T>C (p.Leu201Pro) is related to midfrequency hearing loss. PMID: 29850532
- report the first nonsense mutation of POU4F3 associated with progressive hearing loss and explored the possible underlying mechanism PMID: 27999687
- DFNA52 were mapped between STR D5S2056 and D5S638 on chromosome, and analysis candidate genes in this region did not reveal any potentially pathogenic mutations segregating with congenital sensorineural hearing loss. PMID: 19138900
- Mutations in POU4F3 are a relatively common cause of autosomal dominant nonsyndromic hearing loss in Chinese Hans. PMID: 28053790
- Novel 12 POU4F3 likely pathogenic variants (six missense variants, three frameshift variants, and three nonsense variants) were successfully identified in 15 probands (2.5%) among 602 families exhibiting autosomal dominant hearing loss, whereas no variants were detected in the other 1,947 probands with autosomal recessive or inheritance pattern unknown hearing loss. PMID: 28545070
- results indicated GRHL2 might be a noise-induced hearing loss (NIHL) susceptibility gene, but the effect of POU4F3 on NIHL could only be detected when taking noise exposure into account and their effects were enhanced by higher levels of noise exposure PMID: 27271650
- this study identified a novel heterozygous mutation (c.602delT, p.L201fs) in the gene POU4F3 within a large hearing impaired Chinese family. PMID: 27535032
- The pou4f3 gene is regulated by ATOH1 and other transcription factors in cochlear hair cells. PMID: 25015561
- These data demonstrate that Nr2f2 is a direct target of POU4F3 in vitro and that this regulatory relationship may be relevant to hair cell development and survival. PMID: 25372459
- Data indicate that POUF4F3 deletion associated with hearing impairment. PMID: 24556497
- new variants in genes such as POU4F3 is associated with nonsyndromic deafness and vestibular dysfunction PMID: 24275721
- SNP linkage analysis and whole exome sequencing identify a novel POU4F3 mutation in autosomal dominant late-onset nonsyndromic hearing loss (DFNA15). PMID: 24260153
- This is the first report of a POU4F3 mutation in Asia, and moreover our data suggest that further investigation will need to delineate ethnicity-specific genetic background for autosomal dominant non-syndromic hearing loss within Asian populations. PMID: 20434433
- Molecular modelling is utilised to propose a mechanism of stability enhancement, via an interaction between the truncated POU(HD) domain and the POU(S) domain of the transcription factor. PMID: 20054994
- Proneural and proneuroendocrine transcription factor expression in cutaneous mechanoreceptor (Merkel) cells and Merkel cell carcinoma PMID: 12209986
- Mutant POU4F3 loses most of its transcriptional activity and most of its ability to bind to DNA. The mutation causes autosomal-dominant nonsyndromic hearing loss and eventually leads to hair cell morbidity in affected family H members. PMID: 14585957
- Data show that Brn-3c is capable of activating both BDNF and NT-3 promoters in inner ear sensory epithelial cell lines. PMID: 15465029
- our data show there are common sequence variants in the Brn-3c 5'-flanking region that affect transcriptional regulation in vitro PMID: 17611044
- Mutation analysis of the POU4F3 gene in 30 patients suffering from dominantly inherited hearing impairment revealed a second novel missense mutation (c.668T>C). PMID: 18228599
- report presents a detailed audiometric analysis of a Dutch family linked to DFNA15 with a novel mutation (p.L289F) in the POU4F3 gene PMID: 18347256
- extended subset of L289F POU4F3 mutation carriers varied from normal to areflexia in cochleovestibular disease PMID: 19372648
- Cochleovestibular characteristics were investigated in a Dutch DFNA15 family with a novel POU4F3 mutation, L223P. PMID: 19462854
顯示更多
收起更多
-
相關疾?。?/div>Deafness, autosomal dominant, 15 (DFNA15)亞細胞定位:Nucleus. Cytoplasm.蛋白家族:POU transcription factor family, Class-4 subfamily組織特異性:Brain. Seems to be specific to the retina.數據庫鏈接:
Most popular with customers
-
YWHAB Recombinant Monoclonal Antibody
Applications: ELISA, WB, IHC, IF, FC
Species Reactivity: Human, Mouse, Rat
-
Phospho-YAP1 (S127) Recombinant Monoclonal Antibody
Applications: ELISA, WB, IHC
Species Reactivity: Human
-
-
-
-
-
-















