-
中文名稱:PPM1H兔多克隆抗體
-
貨號:CSB-PA892345LA01HU
-
規格:¥440
-
圖片:
-
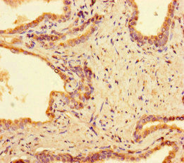
Immunohistochemistry of paraffin-embedded human prostate cancer using CSB-PA892345LA01HU at dilution of 1:100
-
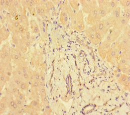
Immunohistochemistry of paraffin-embedded human liver tissue using CSB-PA892345LA01HU at dilution of 1:100
-
Immunofluorescent analysis of MCF-7 cells using CSB-PA892345LA01HU at dilution of 1:100 and Alexa Fluor 488-congugated AffiniPure Goat Anti-Rabbit IgG(H+L)
-
Western Blot
Positive WB detected in: Mouse stomach tissue, Mouse kidney tissue, Mouse skeletal muscle tissue
All lanes: PPM1H antibody at 3.2μg/ml
Secondary
Goat polyclonal to rabbit IgG at 1/50000 dilution
Predicted band size: 57 kDa
Observed band size: 57 kDa
-
-
其他:
產品詳情
-
產品名稱:Rabbit anti-Homo sapiens (Human) PPM1H Polyclonal antibody
-
Uniprot No.:
-
基因名:PPM1H
-
別名:PPM1H antibody; ARHCL1 antibody; KIAA1157 antibody; URCC2 antibody; Protein phosphatase 1H antibody; EC 3.1.3.16 antibody
-
宿主:Rabbit
-
反應種屬:Human, Mouse
-
免疫原:Recombinant Human Protein phosphatase 1H protein (73-289AA)
-
免疫原種屬:Homo sapiens (Human)
-
標記方式:Non-conjugated
本頁面中的產品,PPM1H Antibody (CSB-PA892345LA01HU),的標記方式是Non-conjugated。對于PPM1H Antibody,我們還提供其他標記。見下表:
-
克隆類型:Polyclonal
-
抗體亞型:IgG
-
純化方式:>95%, Protein G purified
-
濃度:It differs from different batches. Please contact us to confirm it.
-
保存緩沖液:Preservative: 0.03% Proclin 300
Constituents: 50% Glycerol, 0.01M PBS, PH 7.4 -
產品提供形式:Liquid
-
應用范圍:ELISA, WB, IHC, IF
-
推薦稀釋比:
Application Recommended Dilution WB 1:2000-1:10000 IHC 1:20-1:200 IF 1:50-1:200 -
Protocols:
-
儲存條件:Upon receipt, store at -20°C or -80°C. Avoid repeated freeze.
-
貨期:Basically, we can dispatch the products out in 1-3 working days after receiving your orders. Delivery time maybe differs from different purchasing way or location, please kindly consult your local distributors for specific delivery time.
-
用途:For Research Use Only. Not for use in diagnostic or therapeutic procedures.
引用文獻
相關產品
靶點詳情
-
功能:Dephosphorylates CDKN1B at 'Thr-187', thus removing a signal for proteasomal degradation.
-
基因功能參考文獻:
- PPM1H may be a new tumor-suppressor factor for pancreatic cancer and provides new insight into molecular targets for gene therapy of pancreatic cancer PMID: 27599670
- PPM1H acts as a gatekeeper to prevent excessive BMP signaling through dephosphorylation and subsequent nuclear exclusion of P-Smad1/5/8 proteins. PMID: 24732009
- Knockdown of the serine/threonine phosphatase PPM1H confers trastuzumab resistance via reduction in protein levels of the tumor suppressor p27. PMID: 22586611
- PPM1H, overexpressed in colon adenocarcinoma, is associated with CSE1L protein. PMID: 18059182
-
亞細胞定位:Nucleus. Cytoplasm.
-
蛋白家族:PP2C family
-
數據庫鏈接:
Most popular with customers
-
Phospho-YAP1 (S127) Recombinant Monoclonal Antibody
Applications: ELISA, WB, IHC
Species Reactivity: Human
-
-
-
-
-
-
VDAC1 Recombinant Monoclonal Antibody
Applications: ELISA, WB, IHC
Species Reactivity: Human, Mouse, Rat
-
VCP Recombinant Monoclonal Antibody
Applications: ELISA, WB, IHC, IF, IP
Species Reactivity: Human, Rat















