PRDM14 Antibody
-
中文名稱:PRDM14兔多克隆抗體
-
貨號:CSB-PA863934LA01HU
-
規格:¥440
-
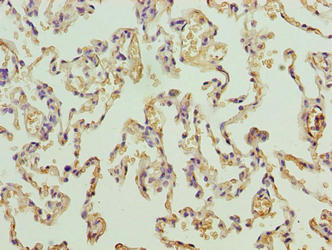
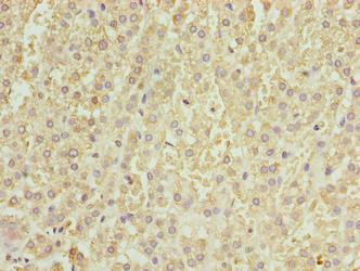
圖片:
-
其他:
產品詳情
-
產品名稱:Rabbit anti-Homo sapiens (Human) PRDM14 Polyclonal antibody
-
Uniprot No.:
-
基因名:PRDM14
-
別名:MGC59730 antibody; PFM 11 antibody; PFM11 antibody; PR domain containing 14 antibody; PR domain zinc finger protein 14 antibody; PR domain-containing protein 14 antibody; PRD14_HUMAN antibody; PRDM 14 antibody; PRDM14 antibody
-
宿主:Rabbit
-
反應種屬:Human
-
免疫原:Recombinant Human PR domain zinc finger protein 14 protein (301-571AA)
-
免疫原種屬:Homo sapiens (Human)
-
標記方式:Non-conjugated
本頁面中的產品,PRDM14 Antibody (CSB-PA863934LA01HU),的標記方式是Non-conjugated。對于PRDM14 Antibody,我們還提供其他標記。見下表:
-
克隆類型:Polyclonal
-
抗體亞型:IgG
-
純化方式:>95%, Protein G purified
-
濃度:It differs from different batches. Please contact us to confirm it.
-
保存緩沖液:Preservative: 0.03% Proclin 300
Constituents: 50% Glycerol, 0.01M PBS, PH 7.4 -
產品提供形式:Liquid
-
應用范圍:ELISA, IHC
-
推薦稀釋比:
Application Recommended Dilution IHC 1:20-1:200 -
Protocols:
-
儲存條件:Upon receipt, store at -20°C or -80°C. Avoid repeated freeze.
-
貨期:Basically, we can dispatch the products out in 1-3 working days after receiving your orders. Delivery time maybe differs from different purchasing way or location, please kindly consult your local distributors for specific delivery time.
-
用途:For Research Use Only. Not for use in diagnostic or therapeutic procedures.
相關產品
靶點詳情
-
功能:Transcription factor that has both positive and negative roles on transcription. Required for the maintenance of embryonic stem cell identity and the reacquisition of pluripotency in somatic cells. May play an essential role in germ cell development at 2 levels: the reacquisition of potential pluripotency, including SOX2 up-regulation, and successful epigenetic reprogramming, characterized by EHMT1 repression. Its association with CBFA2T2 is required for the functions in pluripotency and germ cell formation. Directly up-regulates the expression of pluripotency gene POU5F1 through its proximal enhancer. Binds to the DNA consensus sequence 5'-GGTC[TC]CTAA-3'.
-
基因功能參考文獻:
- Our results suggest that PRDM14 serves as an initial trigger for epigenetic changes and hyperdynamic plasticity in tumors via bivalent chromatin domains. PMID: 28423353
- Results identified GRP78 and HSP90a as binding partners of PRDM14 in triple-negative breast cancer cells, and all participate in cancer regulation. The interactions were direct and required the C-terminal region including the zinc finger motifs of PRDM14. PMID: 29178343
- miR-424-->cdc42-->prdm14 axis as a key molecular signalling cascade that might influence breast cancer progression in diabetic patients through hyperactivation of cancer stem cells. PMID: 29024936
- High expression of PRDM14 is associated with liver metastasis in pancreatic cancer. PMID: 28498896
- PRDM14 role in cell proliferation and cell migration PMID: 27693212
- PRDM14 bears a single PR domain and six tandemly repeated zinc fi ngers, which is involved in the process of the deacetylation and methylation of the histone, and is involved in the formation of tumor . [review] PMID: 26903163
- In response to cytokines, pluripotent stem cells differentiate first into a heterogeneous mesoderm-like cell population and then into Primordial Germ cell-Like Cells, which exhibit minimal PRDM14 expression. PMID: 25750208
- The contribution of methylation-mediated gene silencing of PRDM14 to apoptosis evasion in HPV-positive cancer cells offers novel therapeutic options for HPV-induced cancers. PMID: 25233927
- PRDM14 associated with cell differentiation in NSCLC. PMID: 23690269
- Study reveals a repressive role of PRDM14 in the maintenance and induction of pluripotency and identifies PRDM14 as a new regulator of PRC2. PMID: 23280602
- The high expression of PRDM14 in non-small cell lung cancer is associated with differentiation and histological type. PMID: 20840815
- novel hESC regulators wherein PRDM14 exemplifies a key transcription factor required for the maintenance of hESC identity and the reacquisition of pluripotency in human somatic cells PMID: 20953172
- PRDM14 mRNA is overexpressed in about two thirds of breast cancers; moreover, immunohistochemical analysis showed that expression of PRDM14 protein is also up-regulated. PMID: 17942894
- These results suggest that PRDM14 is involved in the maintenance of the self-renewal of human ES cells by suppression of gene expression. PMID: 18194669
顯示更多
收起更多
-
亞細胞定位:Nucleus.
-
蛋白家族:Class V-like SAM-binding methyltransferase superfamily
-
組織特異性:Expressed in embryonic stem cells. Tends to be overexpressed in breast cancer (at protein level).
-
數據庫鏈接:
Most popular with customers
-
-
YWHAB Recombinant Monoclonal Antibody
Applications: ELISA, WB, IHC, IF, FC
Species Reactivity: Human, Mouse, Rat
-
Phospho-YAP1 (S127) Recombinant Monoclonal Antibody
Applications: ELISA, WB, IHC
Species Reactivity: Human
-
-
-
-
-















