PRDX5 Antibody
-
中文名稱:PRDX5兔多克隆抗體
-
貨號:CSB-PA993202
-
規格:¥1100
-
圖片:
-
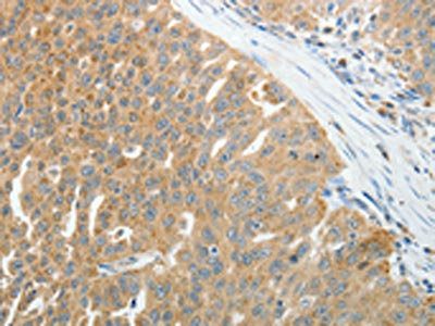
The image on the left is immunohistochemistry of paraffin-embedded Human ovarian cancer tissue using CSB-PA993202(PRDX5 Antibody) at dilution 1/25, on the right is treated with fusion protein. (Original magnification: ×200)
-
The image on the left is immunohistochemistry of paraffin-embedded Human thyroid cancer tissue using CSB-PA993202(PRDX5 Antibody) at dilution 1/25, on the right is treated with fusion protein. (Original magnification: ×200)
-
-
其他:
產品詳情
-
Uniprot No.:
-
基因名:PRDX5
-
別名:ACR1 antibody; Alu co repressor 1 antibody; Alu corepressor 1 antibody; Antioxidant enzyme B166 antibody; AOEB166 antibody; B166 antibody; epididymis secretory protein Li 55 antibody; HEL-S-55 antibody; Liver tissue 2D-page spot 71B antibody; mitochondrial antibody; Peroxiredoxin 5; mitochondrial antibody; Peroxiredoxin V antibody; Peroxiredoxin-5 antibody; Peroxisomal antioxidant enzyme antibody; PLP antibody; PMP20 antibody; PRDX 5 antibody; PRDX5 antibody; PRDX5_HUMAN antibody; PRDX6 antibody; Prx-V antibody; PRXV antibody; SBBI10 antibody; Thioredoxin peroxidase PMP20 antibody; Thioredoxin reductase antibody; TPx type VI antibody
-
宿主:Rabbit
-
反應種屬:Human,Mouse,Rat
-
免疫原:Fusion protein of Human PRDX5
-
免疫原種屬:Homo sapiens (Human)
-
標記方式:Non-conjugated
-
抗體亞型:IgG
-
純化方式:Antigen affinity purification
-
濃度:It differs from different batches. Please contact us to confirm it.
-
保存緩沖液:-20°C, pH7.4 PBS, 0.05% NaN3, 40% Glycerol
-
產品提供形式:Liquid
-
應用范圍:ELISA,IHC
-
推薦稀釋比:
Application Recommended Dilution ELISA 1:2000-1:5000 IHC 1:25-1:100 -
Protocols:
-
儲存條件:Upon receipt, store at -20°C or -80°C. Avoid repeated freeze.
-
貨期:Basically, we can dispatch the products out in 1-3 working days after receiving your orders. Delivery time maybe differs from different purchasing way or location, please kindly consult your local distributors for specific delivery time.
-
用途:For Research Use Only. Not for use in diagnostic or therapeutic procedures.
相關產品
靶點詳情
-
功能:Thiol-specific peroxidase that catalyzes the reduction of hydrogen peroxide and organic hydroperoxides to water and alcohols, respectively. Plays a role in cell protection against oxidative stress by detoxifying peroxides and as sensor of hydrogen peroxide-mediated signaling events.
-
基因功能參考文獻:
- High PRX5 expression is associated with gastric cancer. PMID: 28535004
- Results found that Prx5 was increased in the cellular model of Alzheimer's disease (AD) and, identify a role for Prx5 as an upregulator of Cdk5 activation via reactive oxygen species-mediated Ca2+-mediated calpain activation. PMID: 28358580
- The PRX5 can be used as a predictive biomarker and serves as a putative therapeutic target for the development of clinical treatments for human CRC. PMID: 28431931
- peroxisomal PRDX5 protects oligodendrocytes against peroxisomal and mitochondrial oxidative stress. PMID: 25772011
- show here how the ligand-observed saturation transfer difference (STD) experiment and the PRDX5 protein-observed 15N-HSQC experiment, two popular NMR screening experiments, can be used to compare the binding modes of analogous fragments PMID: 25025339
- PRX5 is either consumed or its production is impaired in severe stroke PMID: 24385276
- This study demonistrated that overexpression of mitochondrial PRDX5 protects SH-SY5Y cells against the ROS/RNS-dependent neuronal death induced by MPP+. PMID: 23216451
- The promoter region critical for Prx5 gene regulation to which the novel negative transcription regulator, GATA1 binds in human breast cancer cell lines. PMID: 22020876
- basal expression of the human PRDX5 gene is regulated by GABP PMID: 20937353
- analysis of fragment molecules that bind the human peroxiredoxin 5 active site PMID: 20305821
- Glutaredoxin-dependent peroxiredoxin from poplar: protein-protein interaction and catalytic mechanism PMID: 11832487
- the expression of peroxiredoxin 5 is upregulated in osteoarthritis PMID: 12417342
- multiple subcellular targeting of peroxiredoxin 5 in mammalian cells can be implicated in antioxidant protective mechanisms under nonpathological conditions PMID: 14732291
- Transfection of PRXVI protects immortalized human WI-38 and murine NIH3T3 fibroblasts against cytotoxic doses of tert-butylhydroperoxide and H2O2 PMID: 14741336
- new crystal form of human peroxiredoxin 5 is described at 2.0 A resolution; under initial reducing conditions, one chain remains oxidized and forms an homodimer with a symmetry-related one through intermolecular disulfide bonds between Cys47 and Cys151 PMID: 15046979
- plays a protective role in human tendon cells against oxidative stress by reducing apoptosis and maintaining collagen synthesis PMID: 15276323
- Human peroxiredoxin 5 is also a peroxynitrite reductase. PMID: 15280035
- nuclear PrxV associates with coilin-containing bodies suggesting possible interaction of this protein with transcription complexes PMID: 15304327
- The level of expression is directly correlated with the functional status of epithelial cells, being higher in multinodular goiters, and even more pronounced in hyperthyroid tissues, such as Graves' disease. PMID: 15785239
- mitochondrial peroxiredoxin 5 may play an important role in mitochondrial genome stability PMID: 15848167
- these findings suggest that PrxV is a multifunctional protein, which is essential for protection against apoptosis induced by anticancer drugs. PMID: 16781710
- Together, these results suggest that constitutively expressed PRDX5 gene plays an important role in protecting the genome against oxidation and may also be involved in the control of transcription of noncoding DNA. PMID: 16817890
- expression in white matter from normal human brain and MS patients PMID: 17623739
- we present new alternative splicing variants encoded specifically by human PRDX5 gene. The characterization of human PRDX5 gene revealed complexity of its regulation & high variability of sequences that might be associated with pathological situations. PMID: 17628720
- kinetic analysis of human peroxiredoxin 5 PMID: 17892856
- Peroxiredoxin V (PRXV) is an important antioxidant protein of lung epithelial cells. Its expression in the human lung increases in inflammation. PMID: 18219526
- report here three crystal forms in which this intramolecular disulfide bond is indeed observed. The structures are characterized by the expected local unfolding of the peroxidatic loop, but also by the unfolding of the resolving loop PMID: 18489898
- Ets regulates PRDX5 expression through their interaction with HGMB1 protein. PMID: 19016754
- crystal structure at 1.5 angstrom resolution PMID: 11518528
顯示更多
收起更多
-
亞細胞定位:[Isoform Mitochondrial]: Mitochondrion.; [Isoform Cytoplasmic+peroxisomal]: Cytoplasm. Peroxisome matrix.
-
蛋白家族:Peroxiredoxin family, Prx5 subfamily
-
組織特異性:Widely expressed.
-
數據庫鏈接:
Most popular with customers
-
-
Phospho-YAP1 (S127) Recombinant Monoclonal Antibody
Applications: ELISA, WB, IHC
Species Reactivity: Human
-
-
-
-
-
-















