PSAT1 Antibody
-
中文名稱:PSAT1兔多克隆抗體
-
貨號:CSB-PA018838LA01HU
-
規格:¥440
-
圖片:
-
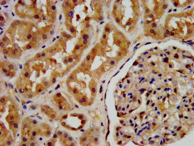
IHC image of CSB-PA018838LA01HU diluted at 1:200 and staining in paraffin-embedded human kidney tissue performed on a Leica BondTM system.
-
Immunofluorescence staining of HepG2 cells with CSB-PA018838LA01HU at 1:66, counter-stained with DAPI. The cells were fixed in 4% formaldehyde, permeabilized using 0.2% Triton X-100 and blocked in 10% normal Goat Serum. The cells were then incubated with the antibody overnight at 4°C. The secondary antibody was Alexa Fluor 488-congugated AffiniPure Goat Anti-Rabbit IgG(H+L).
-
-
其他:
產品詳情
-
產品名稱:Rabbit anti-Homo sapiens (Human) PSAT1 Polyclonal antibody
-
Uniprot No.:
-
基因名:PSAT1
-
別名:EC 2.6.1.52 antibody; Endometrial progesterone induced protein antibody; EPIP antibody; MGC1460 antibody; NLS2 antibody; Phosphohydroxythreonine aminotransferase antibody; phosphoserine aminotransferase 1 antibody; Phosphoserine aminotransferase antibody; PSA antibody; PSAT antibody; Psat1 antibody; PSATD antibody; SERC_HUMAN antibody
-
宿主:Rabbit
-
反應種屬:Human
-
免疫原:Recombinant Human Phosphoserine aminotransferase protein (104-206AA)
-
免疫原種屬:Homo sapiens (Human)
-
標記方式:Non-conjugated
本頁面中的產品,PSAT1 Antibody (CSB-PA018838LA01HU),的標記方式是Non-conjugated。對于PSAT1 Antibody,我們還提供其他標記。見下表:
-
克隆類型:Polyclonal
-
抗體亞型:IgG
-
純化方式:>95%, Protein G purified
-
濃度:It differs from different batches. Please contact us to confirm it.
-
保存緩沖液:Preservative: 0.03% Proclin 300
Constituents: 50% Glycerol, 0.01M PBS, pH 7.4 -
產品提供形式:Liquid
-
應用范圍:ELISA, IHC, IF
-
推薦稀釋比:
Application Recommended Dilution IHC 1:200-1:500 IF 1:50-1:200 -
Protocols:
-
儲存條件:Upon receipt, store at -20°C or -80°C. Avoid repeated freeze.
-
貨期:Basically, we can dispatch the products out in 1-3 working days after receiving your orders. Delivery time maybe differs from different purchasing way or location, please kindly consult your local distributors for specific delivery time.
-
用途:For Research Use Only. Not for use in diagnostic or therapeutic procedures.
相關產品
靶點詳情
-
功能:Catalyzes the reversible conversion of 3-phosphohydroxypyruvate to phosphoserine and of 3-hydroxy-2-oxo-4-phosphonooxybutanoate to phosphohydroxythreonine.
-
基因功能參考文獻:
- PSAT1 protein and mRNA levels were significantly associated to poor outcome to tamoxifen treatment of breast cancer. PMID: 28522855
- PSAT1, which is overexpressed in ER-negative breast cancers, is activated by ATF4 and promotes cell cycle progression via regulation of the GSK3beta/beta-catenin/cyclin D1 pathway. PMID: 29216929
- Data suggest that phosphoserine aminotransferase 1 (PSAT1) may be a promising anticancer therapeutic target. . PMID: 27372650
- High expression of PSAT is associated with Colon Cancer. PMID: 26439504
- PSAT1 expression positively correlates with the levels of phosphorylated cyclin D1 in non-small cell lung cancer. PMID: 25142862
- phosphoserine aminotransferase deficiency is associated with Neu-Laxova syndrome. PMID: 25152457
- we propose an idea that PSAT1 may be implicated in altered serine metabolism and schizophrenia spectrum conditions. PMID: 20955740
- nucleotide sequence and enzymatic activity of two isoforms generated by alternative splicing; differential expression depending upon tissue specificity and cellular proliferation status PMID: 12633500
- Overexpression of phosphoserine aminotransferase is associated with colorectal cancer development PMID: 18221502
顯示更多
收起更多
-
相關疾病:Phosphoserine aminotransferase deficiency (PSATD); Neu-Laxova syndrome 2 (NLS2)
-
蛋白家族:Class-V pyridoxal-phosphate-dependent aminotransferase family, SerC subfamily
-
組織特異性:Expressed at high levels in the brain, liver, kidney and pancreas, and very weakly expressed in the thymus, prostate, testis and colon.
-
數據庫鏈接:
Most popular with customers
-
-
YWHAB Recombinant Monoclonal Antibody
Applications: ELISA, WB, IHC, IF, FC
Species Reactivity: Human, Mouse, Rat
-
Phospho-YAP1 (S127) Recombinant Monoclonal Antibody
Applications: ELISA, WB, IHC
Species Reactivity: Human
-
-
-
-
-















