PSG9 Antibody
-
中文名稱:PSG9兔多克隆抗體
-
貨號:CSB-PA27499A0Rb
-
規格:¥440
-
圖片:
-
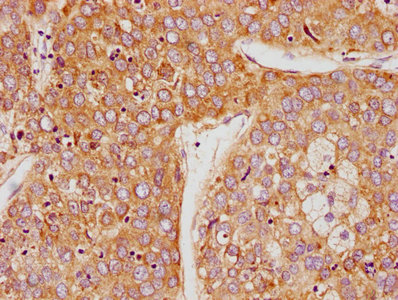
IHC image of CSB-PA27499A0Rb diluted at 1:100 and staining in paraffin-embedded human liver cancer performed on a Leica BondTM system. After dewaxing and hydration, antigen retrieval was mediated by high pressure in a citrate buffer (pH 6.0). Section was blocked with 10% normal goat serum 30min at RT. Then primary antibody (1% BSA) was incubated at 4°C overnight. The primary is detected by a biotinylated secondary antibody and visualized using an HRP conjugated SP system.
-
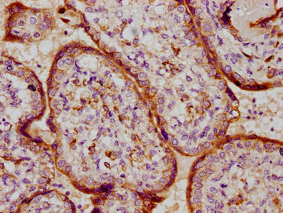
IHC image of CSB-PA27499A0Rb diluted at 1:100 and staining in paraffin-embedded human placenta tissue performed on a Leica BondTM system. After dewaxing and hydration, antigen retrieval was mediated by high pressure in a citrate buffer (pH 6.0). Section was blocked with 10% normal goat serum 30min at RT. Then primary antibody (1% BSA) was incubated at 4°C overnight. The primary is detected by a biotinylated secondary antibody and visualized using an HRP conjugated SP system.
-
Immunofluorescence staining of MCF-7 cells with CSB-PA27499A0Rb at 1:50, counter-stained with DAPI. The cells were fixed in 4% formaldehyde, permeabilized using 0.2% Triton X-100 and blocked in 10% normal Goat Serum. The cells were then incubated with the antibody overnight at 4°C. The secondary antibody was Alexa Fluor 488-congugated AffiniPure Goat Anti-Rabbit IgG(H+L).
-
-
其他:
產品詳情
-
產品名稱:Rabbit anti-Homo sapiens (Human) PSG9 Polyclonal antibody
-
Uniprot No.:
-
基因名:PSG9
-
別名:pregnancy specific beta 1 glycoprotein (PSG) antibody; pregnancy specific beta 1 glycoprotein 11 antibody; pregnancy specific beta 1 glycoprotein 9 antibody; pregnancy specific beta 1 glycoprotein B antibody; Pregnancy-specific beta-1 glycoprotein B antibody; Pregnancy-specific beta-1-glycoprotein 11 antibody; Pregnancy-specific beta-1-glycoprotein 9 antibody; Pregnancy-specific glycoprotein 11 antibody; Pregnancy-specific glycoprotein 7 antibody; Pregnancy-specific glycoprotein 9 antibody; PS beta B antibody; PS-beta-B antibody; PS-beta-G-11 antibody; PS-beta-G-9 antibody; PS34 antibody; PSBG 9 antibody; PSBG-11 antibody; PSBG-9 antibody; PSG 9 antibody; PSG11 antibody; PSG7 antibody; PSG9 antibody; PSG9_HUMAN antibody; PSGII antibody
-
宿主:Rabbit
-
反應種屬:Human
-
免疫原:Recombinant Human Pregnancy-specific beta-1-glycoprotein 9 protein (241-426AA)
-
免疫原種屬:Homo sapiens (Human)
-
標記方式:Non-conjugated
本頁面中的產品,PSG9 Antibody (CSB-PA27499A0Rb),的標記方式是Non-conjugated。對于PSG9 Antibody,我們還提供其他標記。見下表:
-
克隆類型:Polyclonal
-
抗體亞型:IgG
-
純化方式:>95%, Protein G purified
-
濃度:It differs from different batches. Please contact us to confirm it.
-
保存緩沖液:Preservative: 0.03% Proclin 300
Constituents: 50% Glycerol, 0.01M PBS, pH 7.4 -
產品提供形式:Liquid
-
應用范圍:ELISA, IHC, IF
-
推薦稀釋比:
Application Recommended Dilution IHC 1:20-1:200 IF 1:50-1:200 -
Protocols:
-
儲存條件:Upon receipt, store at -20°C or -80°C. Avoid repeated freeze.
-
貨期:Basically, we can dispatch the products out in 1-3 working days after receiving your orders. Delivery time maybe differs from different purchasing way or location, please kindly consult your local distributors for specific delivery time.
-
用途:For Research Use Only. Not for use in diagnostic or therapeutic procedures.
相關產品
靶點詳情
-
基因功能參考文獻:
- Results indicate that pregnancy-specific glycoprotein 9 (PSG9) may facilitate the development of hepatocellular carcinoma (HCC) by fostering angiogenesis via promoting VEGFA production in cancer HCC. PMID: 28078509
- Findings illustrate the innovative mechanism by which PSG9 drives the progression of colorectal cancer and tumor angiogenesis. This occurs via nuclear translocation of PSG9/SMAD4, which activates angiogenic cytokines. PMID: 27528036
- PSG9, through its activation of TGFbeta-1, could be a potent inducer of immune tolerance PMID: 27389696
- PSG9 may have a role in development of colorectal carcinogenesis in patients with adenomatous polyposis coli PMID: 15982419
-
亞細胞定位:Secreted.
-
蛋白家族:Immunoglobulin superfamily, CEA family
-
數據庫鏈接:
Most popular with customers
-
YWHAB Recombinant Monoclonal Antibody
Applications: ELISA, WB, IHC, IF, FC
Species Reactivity: Human, Mouse, Rat
-
Phospho-YAP1 (S127) Recombinant Monoclonal Antibody
Applications: ELISA, WB, IHC
Species Reactivity: Human
-
-
-
-
-
-















