PSMB2 Antibody
-
中文名稱:PSMB2兔多克隆抗體
-
貨號:CSB-PA01385A0Rb
-
規格:¥440
-
圖片:
-
Western blot
All lanes: proteasome subunit beta type-2 antibody at 2μg/ml
Lane 1: EC109 whole cell lysate
Lane 2: 293T whole cell lysate
Secondary
Goat polyclonal to rabbit IgG at 1/15000 dilution
Predicted band size: 23 kDa
Observed band size: 23 kDa -
Immunofluorescent analysis of PC-3 cells using CSB-PA01385A0Rb at dilution of 1:100 and Alexa Fluor 488-congugated AffiniPure Goat Anti-Rabbit IgG(H+L)
-
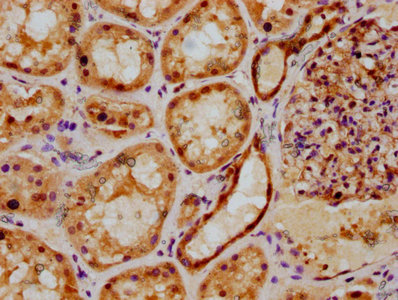
IHC image of CSB-PA01385A0Rb diluted at 1:500 and staining in paraffin-embedded human kidney tissue performed on a Leica BondTM system. After dewaxing and hydration, antigen retrieval was mediated by high pressure in a citrate buffer (pH 6.0). Section was blocked with 10% normal goat serum 30min at RT. Then primary antibody (1% BSA) was incubated at 4°C overnight. The primary is detected by a biotinylated secondary antibody and visualized using an HRP conjugated SP system.
-
IHC image of CSB-PA01385A0Rb diluted at 1:500 and staining in paraffin-embedded human skeletal muscle tissue performed on a Leica BondTM system. After dewaxing and hydration, antigen retrieval was mediated by high pressure in a citrate buffer (pH 6.0). Section was blocked with 10% normal goat serum 30min at RT. Then primary antibody (1% BSA) was incubated at 4°C overnight. The primary is detected by a biotinylated secondary antibody and visualized using an HRP conjugated SP system.
-
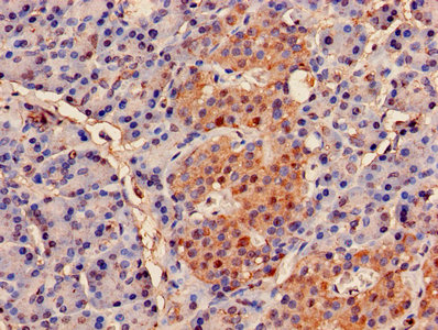
Immunohistochemistry of paraffin-embedded human pancreatic tissue using CSB-PA01385A0Rb at dilution of 1:100
-
-
其他:
產品詳情
-
產品名稱:Rabbit anti-Homo sapiens (Human) PSMB2 Polyclonal antibody
-
Uniprot No.:
-
基因名:PSMB2
-
別名:HC7 I antibody; Macropain subunit C7 I antibody; Macropain subunit C7-I antibody; Multicatalytic endopeptidase complex subunit C7 1 antibody; Multicatalytic endopeptidase complex subunit C7 I antibody; Multicatalytic endopeptidase complex subunit C7-I antibody; Proteasome (prosome, macropain) subunit beta type 2 antibody; Proteasome beta 2 subunit antibody; Proteasome component C7 I antibody; Proteasome component C7-I antibody; Proteasome subunit beta type-2 antibody; PSB2_HUMAN antibody; Psmb2 antibody
-
宿主:Rabbit
-
反應種屬:Human, Mouse
-
免疫原:Recombinant Human Proteasome subunit beta type-2 protein (1-201AA)
-
免疫原種屬:Homo sapiens (Human)
-
標記方式:Non-conjugated
本頁面中的產品,PSMB2 Antibody (CSB-PA01385A0Rb),的標記方式是Non-conjugated。對于PSMB2 Antibody,我們還提供其他標記。見下表:
-
克隆類型:Polyclonal
-
抗體亞型:IgG
-
純化方式:>95%, Protein G purified
-
濃度:It differs from different batches. Please contact us to confirm it.
-
保存緩沖液:Preservative: 0.03% Proclin 300
Constituents: 50% Glycerol, 0.01M PBS, PH 7.4 -
產品提供形式:Liquid
-
應用范圍:ELISA, WB, IHC, IF
-
推薦稀釋比:
Application Recommended Dilution WB 1:500-1:2000 IHC 1:20-1:200 IF 1:50-1:200 -
Protocols:
-
儲存條件:Upon receipt, store at -20°C or -80°C. Avoid repeated freeze.
-
貨期:Basically, we can dispatch the products out in 1-3 working days after receiving your orders. Delivery time maybe differs from different purchasing way or location, please kindly consult your local distributors for specific delivery time.
-
用途:For Research Use Only. Not for use in diagnostic or therapeutic procedures.
相關產品
靶點詳情
-
功能:Non-catalytic component of the 20S core proteasome complex involved in the proteolytic degradation of most intracellular proteins. This complex plays numerous essential roles within the cell by associating with different regulatory particles. Associated with two 19S regulatory particles, forms the 26S proteasome and thus participates in the ATP-dependent degradation of ubiquitinated proteins. The 26S proteasome plays a key role in the maintenance of protein homeostasis by removing misfolded or damaged proteins that could impair cellular functions, and by removing proteins whose functions are no longer required. Associated with the PA200 or PA28, the 20S proteasome mediates ubiquitin-independent protein degradation. This type of proteolysis is required in several pathways including spermatogenesis (20S-PA200 complex) or generation of a subset of MHC class I-presented antigenic peptides (20S-PA28 complex).
-
基因功能參考文獻:
- Results showed that the overexpression of beta2 subunit decreased homologous recombination in human cells without altering the cell proteasome activity and the Rad51p level. PMID: 21660142
- This subunit propeptides influence cooperative proteasome assembly. PMID: 12456675
-
亞細胞定位:Cytoplasm. Nucleus.
-
蛋白家族:Peptidase T1B family
-
數據庫鏈接:
Most popular with customers
-
YWHAB Recombinant Monoclonal Antibody
Applications: ELISA, WB, IHC, IF, FC
Species Reactivity: Human, Mouse, Rat
-
Phospho-YAP1 (S127) Recombinant Monoclonal Antibody
Applications: ELISA, WB, IHC
Species Reactivity: Human
-
-
-
-
-
-
VDAC1 Recombinant Monoclonal Antibody
Applications: ELISA, WB, IHC
Species Reactivity: Human, Mouse, Rat















