PSMC6 Antibody
-
中文名稱:PSMC6兔多克隆抗體
-
貨號:CSB-PA018896LA01HU
-
規格:¥440
-
圖片:
-
Western Blot
Positive WB detected in: Hela whole cell lysate, 293 whole cell lysate, HepG2 whole cell lysate, Mouse brain tissue, Mouse liver tissue, Mouse kidney tissue, Rat brain tissue, Rat liver tissue, Rat kidney tissue
All lanes: PSMC6 antibody at 3µg/ml
Secondary
Goat polyclonal to rabbit IgG at 1/50000 dilution
Predicted band size: 45 kDa
Observed band size: 45 kDa -
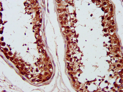
IHC image of CSB-PA018896LA01HU diluted at 1:1200 and staining in paraffin-embedded human testis tissue performed on a Leica BondTM system. After dewaxing and hydration, antigen retrieval was mediated by high pressure in a citrate buffer (pH 6.0). Section was blocked with 10% normal goat serum 30min at RT. Then primary antibody (1% BSA) was incubated at 4°C overnight. The primary is detected by a biotinylated secondary antibody and visualized using an HRP conjugated SP system.
-
IHC image of CSB-PA018896LA01HU diluted at 1:600 and staining in paraffin-embedded human adrenal gland tissue performed on a Leica BondTM system. After dewaxing and hydration, antigen retrieval was mediated by high pressure in a citrate buffer (pH 6.0). Section was blocked with 10% normal goat serum 30min at RT. Then primary antibody (1% BSA) was incubated at 4°C overnight. The primary is detected by a biotinylated secondary antibody and visualized using an HRP conjugated SP system.
-
-
其他:
產品詳情
-
產品名稱:Rabbit anti-Homo sapiens (Human) PSMC6 Polyclonal antibody
-
Uniprot No.:
-
基因名:PSMC6
-
別名:26S protease regulatory subunit 10B antibody; 26S protease regulatory subunit S10B antibody; 26S proteasome AAA-ATPase subunit RPT4 antibody; CADP44 antibody; P44 antibody; Proteasome 26S subunit ATPase 6 antibody; Proteasome subunit p42 antibody; PRS10_HUMAN antibody; PSMC6 antibody; Rpt4 antibody; SUG2 antibody
-
宿主:Rabbit
-
反應種屬:Human, Mouse, Rat
-
免疫原:Recombinant Human 26S proteasome regulatory subunit 10B protein (1-260AA)
-
免疫原種屬:Homo sapiens (Human)
-
標記方式:Non-conjugated
本頁面中的產品,PSMC6 Antibody (CSB-PA018896LA01HU),的標記方式是Non-conjugated。對于PSMC6 Antibody,我們還提供其他標記。見下表:
-
克隆類型:Polyclonal
-
抗體亞型:IgG
-
純化方式:>95%, Protein G purified
-
濃度:It differs from different batches. Please contact us to confirm it.
-
保存緩沖液:Preservative: 0.03% Proclin 300
Constituents: 50% Glycerol, 0.01M PBS, PH 7.4 -
產品提供形式:Liquid
-
應用范圍:ELISA, WB, IHC
-
推薦稀釋比:
Application Recommended Dilution WB 1:500-1:5000 IHC 1:500-1:2000 -
Protocols:
-
儲存條件:Upon receipt, store at -20°C or -80°C. Avoid repeated freeze.
-
貨期:Basically, we can dispatch the products out in 1-3 working days after receiving your orders. Delivery time maybe differs from different purchasing way or location, please kindly consult your local distributors for specific delivery time.
-
用途:For Research Use Only. Not for use in diagnostic or therapeutic procedures.
相關產品
靶點詳情
-
功能:Component of the 26S proteasome, a multiprotein complex involved in the ATP-dependent degradation of ubiquitinated proteins. This complex plays a key role in the maintenance of protein homeostasis by removing misfolded or damaged proteins, which could impair cellular functions, and by removing proteins whose functions are no longer required. Therefore, the proteasome participates in numerous cellular processes, including cell cycle progression, apoptosis, or DNA damage repair. PSMC6 belongs to the heterohexameric ring of AAA (ATPases associated with diverse cellular activities) proteins that unfolds ubiquitinated target proteins that are concurrently translocated into a proteolytic chamber and degraded into peptides.
-
基因功能參考文獻:
- Evidence of a sex-specific association of PSMC6 genetic variants with subtypes of juvenile idiopathic arthritis. PMID: 24875235
- Advanced oxidation protein products down-regulate the expression of calcium transport channels through p44/42 MAPK signaling mechanisms in the small intestinal epithelium. PMID: 25801217
- N protein of SARS Coronavirus interacts with the host cell proteasome subunit p42. PMID: 20478047
-
亞細胞定位:Cytoplasm. Nucleus.
-
蛋白家族:AAA ATPase family
-
數據庫鏈接:
Most popular with customers
-
-
Phospho-YAP1 (S127) Recombinant Monoclonal Antibody
Applications: ELISA, WB, IHC
Species Reactivity: Human
-
-
-
-
-
-















