PSMD11 Antibody
-
中文名稱:PSMD11兔多克隆抗體
-
貨號:CSB-PA00575A0Rb
-
規格:¥440
-
圖片:
-
Immunohistochemistry of paraffin-embedded human prostate tissue using CSB-PA00575A0Rb at dilution of 1:100
-
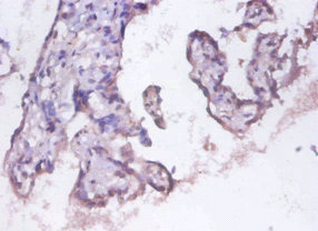
Immunohistochemistry of paraffin-embedded human placenta tissue using CSB-PA00575A0Rb at dilution of 1:100
-
Immunofluorescence staining of MCF-7 cells with CSB-PA00575A0Rb at 1:100, counter-stained with DAPI. The cells were fixed in 4% formaldehyde, permeabilized using 0.2% Triton X-100 and blocked in 10% normal Goat Serum. The cells were then incubated with the antibody overnight at 4°C. The secondary antibody was Alexa Fluor 488-congugated AffiniPure Goat Anti-Rabbit IgG(H+L).
-
-
其他:
產品詳情
-
產品名稱:Rabbit anti-Homo sapiens (Human) PSMD11 Polyclonal antibody
-
Uniprot No.:
-
基因名:PSMD11
-
別名:26S proteasome non-ATPase regulatory subunit 11 antibody; 26S proteasome regulatory subunit 9 antibody; 26S proteasome regulatory subunit p44.5 antibody; 26S proteasome regulatory subunit RPN6 antibody; 26S proteasome regulatory subunit S9 antibody; MGC3844 antibody; p44.5 antibody; protease 26S, subunit, 9 antibody; proteasome (prosome, macropain) 26S subunit, non-ATPase, 11 antibody; proteasome 26S subunit, non-ATPase, 11 antibody; PSD11_HUMAN antibody; PSMD 11 antibody; PSMD11 antibody; Rpn6 antibody; S9 antibody
-
宿主:Rabbit
-
反應種屬:Human
-
免疫原:Recombinant Human 26S proteasome non-ATPase regulatory subunit 11 protein (2-422AA)
-
免疫原種屬:Homo sapiens (Human)
-
標記方式:Non-conjugated
本頁面中的產品,PSMD11 Antibody (CSB-PA00575A0Rb),的標記方式是Non-conjugated。對于PSMD11 Antibody,我們還提供其他標記。見下表:
-
克隆類型:Polyclonal
-
抗體亞型:IgG
-
純化方式:>95%, Protein G purified
-
濃度:It differs from different batches. Please contact us to confirm it.
-
保存緩沖液:Preservative: 0.03% Proclin 300
Constituents: 50% Glycerol, 0.01M PBS, PH 7.4 -
產品提供形式:Liquid
-
應用范圍:ELISA, IHC, IF
-
推薦稀釋比:
Application Recommended Dilution IHC 1:20-1:200 IF 1:50-1:200 -
Protocols:
-
儲存條件:Upon receipt, store at -20°C or -80°C. Avoid repeated freeze.
-
貨期:Basically, we can dispatch the products out in 1-3 working days after receiving your orders. Delivery time maybe differs from different purchasing way or location, please kindly consult your local distributors for specific delivery time.
-
用途:For Research Use Only. Not for use in diagnostic or therapeutic procedures.
相關產品
靶點詳情
-
功能:Component of the 26S proteasome, a multiprotein complex involved in the ATP-dependent degradation of ubiquitinated proteins. This complex plays a key role in the maintenance of protein homeostasis by removing misfolded or damaged proteins, which could impair cellular functions, and by removing proteins whose functions are no longer required. Therefore, the proteasome participates in numerous cellular processes, including cell cycle progression, apoptosis, or DNA damage repair. In the complex, PSMD11 is required for proteasome assembly. Plays a key role in increased proteasome activity in embryonic stem cells (ESCs): its high expression in ESCs promotes enhanced assembly of the 26S proteasome, followed by higher proteasome activity.
-
基因功能參考文獻:
- human embryonic stem cells (hESCs) exhibit high proteasome activity that is correlated with increased levels of the 19S proteasome subunit PSMD11 (known as RPN-6 in Caenorhabditis elegans) and a corresponding increased assembly of the 26S/30S proteasome PMID: 22972301
- AMP-activated protein kinase is able to interact physically with this subunit and modify its phosphorylation status. PMID: 19616115
- interaction with ubiquitinated NF-kappaB2/p100 PMID: 12185077
-
亞細胞定位:Nucleus. Cytoplasm, cytosol.
-
蛋白家族:Proteasome subunit S9 family
-
組織特異性:Highly expressed in embryonic stem cells (ESCs). Expression decreases as ESCs differentiate.
-
數據庫鏈接:
Most popular with customers
-
-
YWHAB Recombinant Monoclonal Antibody
Applications: ELISA, WB, IHC, IF, FC
Species Reactivity: Human, Mouse, Rat
-
Phospho-YAP1 (S127) Recombinant Monoclonal Antibody
Applications: ELISA, WB, IHC
Species Reactivity: Human
-
-
-
-
-















