PSME3 Antibody
-
中文名稱:PSME3兔多克隆抗體
-
貨號:CSB-PA13674A0Rb
-
規格:¥440
-
圖片:
-
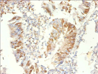
Immunohistochemistry of paraffin-embedded human colon cancer using CSB-PA13674A0Rb at dilution of 1:100
-
Immunohistochemistry of paraffin-embedded human tonsil tissue using CSB-PA13674A0Rb at dilution of 1:100
-
Immunofluorescence staining of HepG2 cells with CSB-PA13674A0Rb at 1:66, counter-stained with DAPI. The cells were fixed in 4% formaldehyde, permeabilized using 0.2% Triton X-100 and blocked in 10% normal Goat Serum. The cells were then incubated with the antibody overnight at 4°C. The secondary antibody was Alexa Fluor 488-congugated AffiniPure Goat Anti-Rabbit IgG(H+L).
-
IHC image of CSB-PA13674A0Rb diluted at 1:200 and staining in paraffin-embedded human brain tissue performed on a Leica BondTM system. After dewaxing and hydration, antigen retrieval was mediated by high pressure in a citrate buffer (pH 6.0). Section was blocked with 10% normal goat serum 30min at RT. Then primary antibody (1% BSA) was incubated at 4°C overnight. The primary is detected by a biotinylated secondary antibody and visualized using an HRP conjugated SP system.
-
-
其他:
產品詳情
-
產品名稱:Rabbit anti-Homo sapiens (Human) PSME3 Polyclonal antibody
-
Uniprot No.:
-
基因名:
-
別名:11S regulator complex gamma subunit antibody; 11S regulator complex subunit gamma antibody; Activator of multicatalytic protease subunit 3 antibody; Ki antibody; Ki antigen antibody; Ki nuclear autoantigen antibody; Ki, PA28 gamma antibody; PA28 gamma antibody; PA28g antibody; PA28gamma antibody; Proteasome (prosome, macropain) activator subunit 3 (PA28 gamma, Ki) antibody; Proteasome (prosome, macropain) activator subunit 3 antibody; Proteasome activator 28 gamma antibody; Proteasome activator 28 subunit gamma antibody; Proteasome activator complex subunit 3 antibody; Proteasome activator subunit 3 antibody; PSME3 antibody; PSME3_HUMAN antibody; REG GAMMA antibody; REG-gamma antibody
-
宿主:Rabbit
-
反應種屬:Human
-
免疫原:Recombinant Human Proteasome activator complex subunit 3 protein (2-252AA)
-
免疫原種屬:Homo sapiens (Human)
-
標記方式:Non-conjugated
本頁面中的產品,PSME3 Antibody (CSB-PA13674A0Rb),的標記方式是Non-conjugated。對于PSME3 Antibody,我們還提供其他標記。見下表:
-
克隆類型:Polyclonal
-
抗體亞型:IgG
-
純化方式:>95%, Protein G purified
-
濃度:It differs from different batches. Please contact us to confirm it.
-
保存緩沖液:Preservative: 0.03% Proclin 300
Constituents: 50% Glycerol, 0.01M PBS, PH 7.4 -
產品提供形式:Liquid
-
應用范圍:ELISA, IHC, IF
-
推薦稀釋比:
Application Recommended Dilution IHC 1:20-1:200 IF 1:50-1:200 -
Protocols:
-
儲存條件:Upon receipt, store at -20°C or -80°C. Avoid repeated freeze.
-
貨期:Basically, we can dispatch the products out in 1-3 working days after receiving your orders. Delivery time maybe differs from different purchasing way or location, please kindly consult your local distributors for specific delivery time.
-
用途:For Research Use Only. Not for use in diagnostic or therapeutic procedures.
相關產品
靶點詳情
-
功能:Subunit of the 11S REG-gamma (also called PA28-gamma) proteasome regulator, a doughnut-shaped homoheptamer which associates with the proteasome. 11S REG-gamma activates the trypsin-like catalytic subunit of the proteasome but inhibits the chymotrypsin-like and postglutamyl-preferring (PGPH) subunits. Facilitates the MDM2-p53/TP53 interaction which promotes ubiquitination- and MDM2-dependent proteasomal degradation of p53/TP53, limiting its accumulation and resulting in inhibited apoptosis after DNA damage. May also be involved in cell cycle regulation. Mediates CCAR2 and CHEK2-dependent SIRT1 inhibition.
-
基因功能參考文獻:
- Knockdown of REG-GAMMA (REGgamma) may inhibit the proliferation and migration, and promote the apoptosis of plasma cell myeloma RPMI-8226 cells possibly by downregulating NF-kappa-B (NF-kappaB) signal pathway. PMID: 29020881
- data show that PIP30 deeply affects PA28gamma interactions with cellular proteins, including the 20S proteasome, demonstrating that it is an important regulator of PA28gamma in cells and thus a new player in the control of the multiple functions of the proteasome within the nucleus. PMID: 29934401
- the ubiquitin-independent REGgamma proteasome regulates energy homeostasis PMID: 27511885
- High expression of REGg seemed positively correlated with T-stage and lymph node metastasis in papillary thyroid carcinoma tissues. PMID: 29509725
- This study demonstrates that REGgamma is a central molecule in the development of melanoma by regulating Wnt/beta-catenin pathway. PMID: 28605165
- that Proteasome activator subunit 3 induces epithelial-mesenchymal transition with inducing the expression of CSC markers and influencing the tumor immune microenvironment in breast cancer PMID: 28529105
- PSME3 plays an oncogenic role in pancreatic cancer by inhibiting c-Myc degradation to promote glycolysis. PMID: 27756569
- Study demonstrated that the gene therapy with proteasome activator, PA28gamma can improve ubiquitin-proteasome system function as well as behavioral abnormalities in Huntington's disease model mice PMID: 26944602
- Surrogate Prognostic Biomarkers in OSCC: The Paradigm of PA28gamma Overexpression. PMID: 26425675
- PA28gamma in OSCC tumor tissues were significantly high expression than those in normal tissues. PMID: 26425691
- REGgamma acts in skin tumorigenesis mediating MAPK/p38 activation of the Wnt/beta-catenin pathway. PMID: 25908095
- Results show molecular cloning of a novel transcript variant encoding a truncated form of PA28G likely involved in cell cycle regulation and apoptosis. PMID: 25936920
- In a p53-dominated cellular context, pro-apoptotic signaling might be overcome by PA28gamma-mediated caspase inhibition. PMID: 26201457
- Our results suggest that the high expression of REGgamma might predict metastasis and poor prognosis in breast cancer. PMID: 25550823
- Increased PA28gamma sera levels were prognostic of disease activity in rheumatoid arthritis. PMID: 25482151
- Data suggest levels of gene expression of both PSME3 (proteasome activator subunit 3) and DUSP3 (dual specificity phosphatase 3) are associated with susceptibility to Staphylococcus aureus infection/sepsis in humans and in mouse disease model. PMID: 24901344
- Examination of EC and normal endometrium specimens confirmed the oncogenic role of REGgamma, in that REGgamma was more highly overexpressed in p53-positive specimens than in p53-negative specimens. PMID: 25697482
- PA28 gamma and p53 form a negative feedback loop that maintains the balance of p53 and PA28gamma in the cells. PMID: 24531141
- Our data indicate that miR-7-5p has a critical function through blocking REGgamma in breast cancer cells. PMID: 25511742
- REGgamma expression is positively correlated with ERalpha status and poor clinical prognosis in ERalpha positive breast cancer patients PMID: 25490392
- The results link Chk2 and REGgamma to the mechanism underlying the DBC1-dependent SIRT1 inhibition. PMID: 25361978
- PKA turnover by the REGgamma-proteasome modulates FoxO1 cellular activity and VEGF-induced angiogenesis. PMID: 24560667
- Expression of PA28gamma contributes to carcinogenesis and progression of colorectal cancer. PMID: 24113729
- The REGgamma-proteasome pathway is regulated differentially by p53/TGF-beta signaling and mutant p53 in cancer cells. PMID: 24157709
- the regulation of REGgamma assembly and activity, suggesting a potential venue for the intervention of the ubiquitin-independent REGgamma proteasome activity. PMID: 23612972
- PA28gamma acts as a co-repressor of HTLV-1 p30 to suppress virus replication and is required for the maintenance of viral latency. PMID: 23104922
- statistical analysisof laryngeal carcinomas revealed that there was a positive relationship between the level of REGgamma and the expression of p53 and p2; study suggests that REgamma overexpression can facilitate the growth of laryngeal cancer cells PMID: 22938444
- PA28gamma is an ATM target, being recruited to DNA damage sites where it is required for rapid accumulation of proteasomes, and the timely coordination of DNA double-strand break repair. PMID: 22134242
- REG-gamma associates with and modulates the abundance of nuclear activation-induced deaminase. PMID: 22042974
- A previously unrecognized mechanism regulating the activity of the proteasome activator REGgamma, is reported. PMID: 21445096
- High REGgamma expression is associated with breast cancer and its metastatic lymph nodes. PMID: 20467919
- HTLV-1 p30 interacts with ATM and REGgamma to increase viral spread by facilitating cell survival PMID: 21216954
- REGgamma regulates cellular distribution of p53 by facilitating its multiple monoubiquitylation and nuclear export. PMID: 21084564
- REGgamma-mediated p53 proteolysis contributes, as least in part, to the proviral function of REGgamma; the host REGgamma pathway is utilized and modified during CVB3 infection to promote efficient viral replication PMID: 20719955
- REGgamma is present in many tissues and the highest expression is in the testis. PMID: 20494959
- PA28gamma participates not only in the pathogenesis but also in the propagation of HCV by regulating the degradation of the core protein in both a ubiquitin-dependent and ubiquitin-independent manner PMID: 20683941
- Overexpression of the proteasome activator subunit PA28gamma recovered proteasome function in Huntington disease cells. It improved cell viability in mutant huntingtin-expressing striatal neurons exposed to pathological stressors. PMID: 17327906
- Data suggest REGgamma promoting tumor growth is a process involving multiple factor mechanisms. PMID: 19656465
- PA28gamma is an endogenous substrate for caspase-3 and -7 PMID: 11859414
- Ki antigen contains multiple epitopes recognized by autoimmune sera PMID: 12784391
- PA28 gamma novel regulator of Cajal body integrity in response to ultraviolet radiation. PMID: 17088425
- REGgamma proteasome activator is involved in the maintenance of chromosomal stability. PMID: 18235248
- PA28gamma, a proteasome activator that inhibits apoptosis and promotes cell cycle progression through unknown mechanisms, exerts an effect as a cofactor in the MDM2-p53 interaction. PMID: 18309296
- PA28gamma/REGgamma, which specifically binds to hepatitis c virus core protein, is required for the virulence of the core protein[review] PMID: 18321762
- mammalian proteasomes cannot degrade glutamine-expanded regions within pathogenic polyQ-expanded proteins, such as Huntingtin PMID: 18343811
- PA28gamma specifically binds to hepatitis C virus core protein and is involved in its degradation. PMID: 19091860
- these results underline a new role for REGgamma in the control and regulation of promyelocytic leukemia subnuclear structures. PMID: 19556897
顯示更多
收起更多
-
亞細胞定位:Nucleus. Cytoplasm.
-
蛋白家族:PA28 family
-
數據庫鏈接:
Most popular with customers
-
YWHAB Recombinant Monoclonal Antibody
Applications: ELISA, WB, IHC, IF, FC
Species Reactivity: Human, Mouse, Rat
-
Phospho-YAP1 (S127) Recombinant Monoclonal Antibody
Applications: ELISA, WB, IHC
Species Reactivity: Human
-
-
-
-
-
-
VDAC1 Recombinant Monoclonal Antibody
Applications: ELISA, WB, IHC
Species Reactivity: Human, Mouse, Rat















