Phospho-GSK3A/GSK3B (Tyr279/216) Antibody
-
中文名稱:磷酸化-GSK3A/GSK3B (Tyr279/216)兔多克隆抗體
-
貨號:CSB-PA575559
-
規格:¥2454
-
圖片:
-
Western blot analysis of extracts from 293 cells untreated or treated with PMA using GSK3α/β(Phospho-Tyr279/216) Antibody.
-
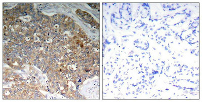
Immunohistochemical analysis of paraffin-embedded human breast carcinoma tissue using GSK3α/β(Phospho-Tyr279/216) Antibody (left) or the same antibody preincubated with blocking peptide (right).
-
Immunofluorescence staining of methanol-fixed Hela cells using GSK3α/β(Phospho-Tyr279/216) Antibody.
-
Immunofluorescence staining of methanol-fixed MEF cells using GSK3α/β(Phospho-Tyr279/216) Antibody.
-
-
其他:
產品詳情
-
Uniprot No.:
-
宿主:Rabbit
-
反應種屬:Human,Mouse,Rat
-
免疫原:Peptide sequence around phosphorylation site of tyrosine 279/216 (V-S-Y(p)-I-C) derived from Human GSK3?/?.
-
免疫原種屬:Homo sapiens (Human)
-
克隆類型:Polyclonal
-
純化方式:Antibodies were produced by immunizing rabbits with synthetic phosphopeptide and KLH conjugates. Antibodies were purified by affinity-chromatography using epitope-specific phosphopeptide. Non-phospho specific antibodies were removed by chromatogramphy usi
-
濃度:It differs from different batches. Please contact us to confirm it.
-
產品提供形式:Liquid
-
應用范圍:ELISA,WB,IHC,IF
-
推薦稀釋比:
Application Recommended Dilution WB 1:500-1:1000 IHC 1:50-1:100 IF 1:100-1:200 -
Protocols:
-
儲存條件:Upon receipt, store at -20°C or -80°C. Avoid repeated freeze.
-
貨期:Basically, we can dispatch the products out in 1-3 working days after receiving your orders. Delivery time maybe differs from different purchasing way or location, please kindly consult your local distributors for specific delivery time.
-
用途:For Research Use Only. Not for use in diagnostic or therapeutic procedures.
相關產品
Most popular with customers
-
Phospho-YAP1 (S127) Recombinant Monoclonal Antibody
Applications: ELISA, WB, IHC
Species Reactivity: Human
-
-
-
-
-
-
-















