Phospho-RB1 (Ser795) Antibody
-
中文名稱:磷酸化-RB1 (Ser795)兔多克隆抗體
-
貨號:CSB-PA201739
-
規格:¥2454
-
圖片:
-
Western blot analysis of extracts from K562 cells untreated(lane 1) or treated with serum(lane 2) using Rb(Phospho-Ser795) Antibody.
-
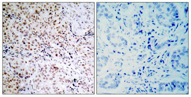
Immunohistochemical analysis of paraffin-embedded human breast carcinoma tissue using Rb(Phospho-Ser795) Antibody(left) or the same antibody preincubated with blocking peptide(right).
-
Immunofluorescence staining of methanol-fixed Hela cells using Rb(Phospho-Ser795) Antibody.
-
-
其他:
產品詳情
-
產品名稱:Rabbit anti-Homo sapiens (Human) RB1 Polyclonal antibody
-
Uniprot No.:
-
基因名:
-
宿主:Rabbit
-
反應種屬:Human,Mouse,Rat
-
免疫原:Peptide sequence around phosphorylation site of serine 795 (P-S-S(p)-P-L) derived from Human Rb.
-
免疫原種屬:Homo sapiens (Human)
-
克隆類型:Polyclonal
-
純化方式:Antibodies were produced by immunizing rabbits with synthetic phosphopeptide and KLH conjugates. Antibodies were purified by affinity-chromatography using epitope-specific phosphopeptide. Non-phospho specific antibodies were removed by chromatogramphy usi
-
濃度:It differs from different batches. Please contact us to confirm it.
-
產品提供形式:Liquid
-
應用范圍:ELISA,WB,IHC,IF
-
推薦稀釋比:
Application Recommended Dilution WB 1:500-1:1000 IHC 1:50-1:100 IF 1:100-1:200 -
Protocols:
-
儲存條件:Upon receipt, store at -20°C or -80°C. Avoid repeated freeze.
-
貨期:Basically, we can dispatch the products out in 1-3 working days after receiving your orders. Delivery time maybe differs from different purchasing way or location, please kindly consult your local distributors for specific delivery time.
-
用途:For Research Use Only. Not for use in diagnostic or therapeutic procedures.
相關產品
靶點詳情
-
功能:Tumor suppressor that is a key regulator of the G1/S transition of the cell cycle. The hypophosphorylated form binds transcription regulators of the E2F family, preventing transcription of E2F-responsive genes. Both physically blocks E2Fs transactivating domain and recruits chromatin-modifying enzymes that actively repress transcription. Cyclin and CDK-dependent phosphorylation of RB1 induces its dissociation from E2Fs, thereby activating transcription of E2F responsive genes and triggering entry into S phase. RB1 also promotes the G0-G1 transition upon phosphorylation and activation by CDK3/cyclin-C. Directly involved in heterochromatin formation by maintaining overall chromatin structure and, in particular, that of constitutive heterochromatin by stabilizing histone methylation. Recruits and targets histone methyltransferases SUV39H1, KMT5B and KMT5C, leading to epigenetic transcriptional repression. Controls histone H4 'Lys-20' trimethylation. Inhibits the intrinsic kinase activity of TAF1. Mediates transcriptional repression by SMARCA4/BRG1 by recruiting a histone deacetylase (HDAC) complex to the c-FOS promoter. In resting neurons, transcription of the c-FOS promoter is inhibited by BRG1-dependent recruitment of a phospho-RB1-HDAC1 repressor complex. Upon calcium influx, RB1 is dephosphorylated by calcineurin, which leads to release of the repressor complex.; (Microbial infection) In case of viral infections, interactions with SV40 large T antigen, HPV E7 protein or adenovirus E1A protein induce the disassembly of RB1-E2F1 complex thereby disrupting RB1's activity.
-
基因功能參考文獻:
- Concurrent mutations, in genes such as CDKN2B or RB1, were associated with worse clinical outcome in lung adenocarcinoma patients with EGFR active mutations. PMID: 29343775
- Mutational screening of germline RB1 gene in Vietnamese patients with retinoblastoma reveals three novel mutations. PMID: 29568217
- Analyses with phospho-defective and phospho-mimetic mutants of FoxM1b identified a critical role of the Plk1 phosphorylation sites in regulating the binding of FoxM1b to Rb and DNMT3b. PMID: 28387346
- The accumulation of sequence variations in RB1 gene might influence Greek patients' susceptibility towards the progression of cervical neoplasia. PMID: 30303478
- vitiligo lesions exhibited dysregulated SUMOylation and deSUMOylation in keratinocytes, dysregulation of the cell cycle progression was observed in SUMO1 knockdown HaCaT cells and the deSUMOylation of Rb in keratinocytes may serve an important role in the development of vitiligo. PMID: 30066925
- The Rb1 tumor suppressor gene modifies telomeric chromatin architecture by regulating TERRA expression. PMID: 28169375
- These findings demonstrate that developmental stage-specific as well as species- and cell type-specific features sensitize to RB1 inactivation and reveal the human cone precursors' capacity to model retinoblastoma initiation, proliferation, premalignant arrest, and tumor growth. PMID: 30213853
- Low pRB expression is associated with mouth Cancer. PMID: 30275188
- Control of the Restriction Point by Rb and p21. PMID: 30111539
- results showed that a) alterations of the p53 and Rb pathways are associated with high proliferation of tumor cells in BUC and b) high expression of cell-cycle proteins is associated with adverse histopathological parameters of these tumors PMID: 29970521
- he present result indicated that vascular smooth proliferation is regulated by activation of the NF-kappaB p65/miR17/RB pathway. As NF-kappaB p65 signalling is activated in and is a master regulator of the inflammatory response, the present findings may provide a mechanism for the excessive proliferation of VSMCs under inflammation during vascular disorders and may identify novel targets for the treatment of vascular d... PMID: 29115381
- Reduced RB expression in medullary thyroid cancer is associated with decreased patient survival in univariate and multivariable analyses, independent from patient age at surgery or advanced TNM stage. PMID: 29105562
- According to immunohistochemistry and immunoblot analysis, the expression levels of cyclin D1, cyclin E, pRb, and Ki67 in psoriasis lesions decreased after treatment and were similar with those in the normal group PMID: 29115643
- Data indicate that nuclear envelope rupture in cancer cells is likely due to loss of either the Rb or the p53 pathway. PMID: 28811362
- Altered pRb is frequently expressed in gastric carcinoma, inversely correlates with tumor invasion and tumor stage suggesting an early event in gastric carcinogenesis. PMID: 28965621
- results define a network of E2F target genes as susceptible to the regulatory influence of H1.2, where H1.2 augments global association of pRb with chromatin, enhances transcriptional repression by pRb, and facilitates pRb-dependent cell-cycle arrest PMID: 28614707
- The increased expression of miR-503-5p significantly reduced the expressions of E2F transcription factor 3 (E2F3) mRNA and retinoblastoma protein (Rb)/E2F signaling pathway mRNA in bladder cancer cells. PMID: 29169421
- Loss of Rb immunolabeling and KRAS mutation are promising molecular markers of the therapeutic response to platinum-based chemotherapy for pancreatic neuroendocrine neoplasm grade-3 (PanNEN-G3), and Rb for neuroendocrine tumor with G3 (NET-G3). PMID: 28455360
- We recommend intensive ocular screening for patients with germline RB1 mutations for retinoblastoma as well as neuroimaging for pineoblastoma surveillance. There is an approximately 20% risk of developing second primary cancers among individuals with hereditary RB, higher among those who received radiotherapy for their primary RB tumors PMID: 28674118
- The SNPs rs 216311, rs 1800383 and rs 1800386 associated significantly with bleeding in study subjects. rs1800386 occurred in all with bleeding history, no ethnic variations were noted. PMID: 28091443
- miR-215 promoted cell migration and invasion of gastric cancer by directly targeting RB1. PMID: 28689850
- MiR-661 promotes metastasis of non small cell lung cancer through RB/E2F1 signaling and epithelial-mesenchymal transition events. PMID: 28716024
- RB1 was identified as a direct and functional target of miR-215. RB1 is generally down-regulated in glioma tissues and its expression inversely correlated with miR-215, which is up-regulated in high-grade glioma tissues, and its expression was negatively correlated with miR-215. PMID: 28573541
- Loss of retinoblastoma in pleomorphic fibroma: An immunohistochemical and genomic analysis. PMID: 28543636
- Results show that RB1 expression is regulated by cdc37 which facilitates its phosphorylation through increasing CDK4 stability. PMID: 29288563
- SOX2 overexpression and the loss of Rb1 protein expression might have a pivotal role in the divergent differentiation of pluripotent embryonic-like epithelial cells and the development of esophageal small-cell carcinoma. PMID: 28106103
- several RB1 alterations associated to retinoblastoma in the human were present in several non-human primates without an apparent pathological effect. PMID: 28401291
- Results suggest that RB1 is the dominant tumor suppressor PP in MCC, and that inactivation of RB1 by MCPyV-LT is largely sufficient for its growth supporting function in established MCPyV-positive MCC cells. PMID: 27121059
- the frequency and association of polymorphisms in the TP53 and RB1 genes with clinical characteristics in a group of children with retinoblastoma (RB) in northern Mexico, was examined. PMID: 28210099
- RB underexpression is associated with tumor cell invasiveness and neuroendocrine differentiation in prostate cancer. PMID: 27015368
- Authors show that MYC inhibition by Omomyc, a dominant-negative MYC, suppresses the growth of SCLC cells with TP53 and RB1 inactivation carrying MYC, MYCL, or MYCN amplification. PMID: 27105536
- Data suggest that the platelet derived growth factor receptor alpha (PDGFRalpha)/Stat3 transcription factor/Rb1 protein regulatory axis might represent a potential therapeutic target for glioblastoma (GBM) treatment. PMID: 27344175
- miR-590 inhibits RB1 and promotes proliferation and invasion of T-cell acute lymphoblastic leukaemia cells PMID: 27036041
- causative RB1 mutations in most bilateral retinoblastoma (RB) patients and in some unilateral RB patients, including five novel mutations, were identified. PMID: 29261756
- homozygous loss of RB1 is an independent prognostic marker in multiple myeloma PMID: 28234347
- In certain contexts, Rb loss enables TRbeta1-dependent suppression of SKP2 as a safeguard against RB1-deficient tumorigenesis. TRbeta2 counteracts TRbeta1, thus disrupting this safeguard and promoting development of RB1-deficient malignancies. PMID: 28972075
- Expression levels of miR-675-5p in glioma tissues and cells were negatively correlated with RB1 expression at both mRNA and protein levels and promoted cell proliferation and migration. PMID: 28970140
- Disruption of DREAM and RB-E2F complexes by oncoproteins from DNA tumor viruses leads to upregulation of cell cycle genes and impairs growth-inhibiting pathways, including the p53-mediated downregulation of cell cycle genes. [review] PMID: 28799433
- A relatively stable genome in retinoblastoma tumor cells is maintained by TRb1 and TRb2-mediated PTTG1 inhibition, counteracting Rb-deficiency-related genomic instability. PMID: 28242412
- APC/C and pRB interact with each other via the co-activator of APC/C, FZR1, providing an alternative pathway of regulation of G1 to S transition by pRB using a post-translational mechanism. Both pRB and FZR1 have complex roles and are implicated not only in regulation of cell proliferation but also in differentiation, quiescence, apoptosis, maintenance of chromosomal integrity and metabolism. PMID: 27402801
- Analysis of the spectrum of RB1 variants observed in 60,706 exomes identifies 197 variants that have enough potential to disrupt splicing to warrant further consideration. PMID: 28780672
- AR also indirectly increases the expression of DNA replication genes through stimulatory effects on other metabolic genes with subsequent CDK activation and Rb hyperphosphorylation. PMID: 27760327
- Rb gene promoter methylation was more frequent in gastric cancer patients than in controls. PMID: 28319413
- We report the significance of genetic testing in the early detection and management of retinoblastoma from India. PMID: 26914665
- Results show that the functional state of protein Rb is inferred to be inactive due its phosphorylation status in the MYCN-amplified retinoblastoma without coding sequence mutations. This makes inactivation of RB1 by gene mutation or by protein phosphorylation, a necessary condition for initiating retinoblastoma tumorigenesis, independent of MYCN amplification. PMID: 28211617
- Low RB expression is associated with osteosarcoma. PMID: 28655788
- Loss of RB1 is associated with papillomavirus involvement in Barrett's dysplasia and esophageal adenocarcinoma. PMID: 28722212
- The epigenetic interaction between Linc00441 and bidirectional transcripted neighbor RB1 may be a de novo theory cutting-point for the inactivation of RB1 in HCC. PMID: 28300839
- The data indicate that MAZ is essential to bypass MYB promoter repression by RB family members and to induce MYB expression. PMID: 28973440
- RB inactivation enhances pro-inflammatory signaling through stimulation of the interleukin-6/STAT3 pathway, which directly promotes various malignant features of cancer cells. [review] PMID: 28865172
顯示更多
收起更多
-
相關疾?。?/div>Childhood cancer retinoblastoma (RB); Bladder cancer (BLC); Osteogenic sarcoma (OSRC)亞細胞定位:Nucleus.蛋白家族:Retinoblastoma protein (RB) family組織特異性:Expressed in the retina. Expressed in foreskin keratinocytes (at protein level).數據庫鏈接:
Most popular with customers
-
-
YWHAB Recombinant Monoclonal Antibody
Applications: ELISA, WB, IHC, IF, FC
Species Reactivity: Human, Mouse, Rat
-
Phospho-YAP1 (S127) Recombinant Monoclonal Antibody
Applications: ELISA, WB, IHC
Species Reactivity: Human
-
-
-
-
-















