Phospho-RELB (Ser573) Antibody
-
中文名稱:磷酸化-RELB (Ser573)兔多克隆抗體
-
貨號:CSB-PA869552
-
規格:¥2454
-
圖片:
-
Western blot analysis of extracts from HUVEC cells untreated or treated with TNF using RelB(Phospho-Ser573) Antibody.
-
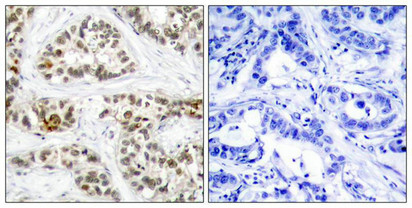
Immunohistochemical analysis of paraffin-embedded human breast carcinoma tissue using RelB(Phospho-Ser573) Antibody(left) or the same antibody preincubated with blocking peptide(right).
-
-
其他:
產品詳情
-
產品名稱:Rabbit anti-Homo sapiens (Human) RELB Polyclonal antibody
-
Uniprot No.:
-
基因名:
-
宿主:Rabbit
-
反應種屬:Human,Mouse
-
免疫原:Peptide sequence around phosphorylation site of serine 573 (L-L-S(p)-P-G) derived from Human RelB.
-
免疫原種屬:Homo sapiens (Human)
-
克隆類型:Polyclonal
-
純化方式:Antibodies were produced by immunizing rabbits with synthetic phosphopeptide and KLH conjugates. Antibodies were purified by affinity-chromatography using epitope-specific phosphopeptide. Non-phospho specific antibodies were removed by chromatogramphy usi
-
濃度:It differs from different batches. Please contact us to confirm it.
-
產品提供形式:Liquid
-
應用范圍:ELISA,WB,IHC
-
推薦稀釋比:
Application Recommended Dilution WB 1:500-1:1000 IHC 1:50-1:100 -
Protocols:
-
儲存條件:Upon receipt, store at -20°C or -80°C. Avoid repeated freeze.
-
貨期:Basically, we can dispatch the products out in 1-3 working days after receiving your orders. Delivery time maybe differs from different purchasing way or location, please kindly consult your local distributors for specific delivery time.
-
用途:For Research Use Only. Not for use in diagnostic or therapeutic procedures.
相關產品
靶點詳情
-
功能:NF-kappa-B is a pleiotropic transcription factor which is present in almost all cell types and is involved in many biological processed such as inflammation, immunity, differentiation, cell growth, tumorigenesis and apoptosis. NF-kappa-B is a homo- or heterodimeric complex formed by the Rel-like domain-containing proteins RELA/p65, RELB, NFKB1/p105, NFKB1/p50, REL and NFKB2/p52. The dimers bind at kappa-B sites in the DNA of their target genes and the individual dimers have distinct preferences for different kappa-B sites that they can bind with distinguishable affinity and specificity. Different dimer combinations act as transcriptional activators or repressors, respectively. NF-kappa-B is controlled by various mechanisms of post-translational modification and subcellular compartmentalization as well as by interactions with other cofactors or corepressors. NF-kappa-B complexes are held in the cytoplasm in an inactive state complexed with members of the NF-kappa-B inhibitor (I-kappa-B) family. In a conventional activation pathway, I-kappa-B is phosphorylated by I-kappa-B kinases (IKKs) in response to different activators, subsequently degraded thus liberating the active NF-kappa-B complex which translocates to the nucleus. NF-kappa-B heterodimeric RelB-p50 and RelB-p52 complexes are transcriptional activators. RELB neither associates with DNA nor with RELA/p65 or REL. Stimulates promoter activity in the presence of NFKB2/p49. As a member of the NUPR1/RELB/IER3 survival pathway, may provide pancreatic ductal adenocarcinoma with remarkable resistance to cell stress, such as starvation or gemcitabine treatment. Regulates the circadian clock by repressing the transcriptional activator activity of the CLOCK-ARNTL/BMAL1 heterodimer in a CRY1/CRY2 independent manner. Increased repression of the heterodimer is seen in the presence of NFKB2/p52. Is required for both T and B lymphocyte maturation and function.
-
基因功能參考文獻:
- Results show that GSK3beta modulates RelB degradation. PMID: 29358699
- Data show that TNF receptor-associated factor 3 (TRAF3) autophagy is driven by RAS and results in activation of transcription factor RelB (RELB). PMID: 29146913
- TNF-alpha-induced expression of transport protein genes in HUVEC cells is associated with enhanced expression of RELB and NFKB2. PMID: 29658079
- results suggest that changes in the relative concentrations of RelB, NIK:IKK1, and p100 during noncanonical signaling modulate this transitional complex and are critical for maintaining the fine balance between the processing and protection of p100. PMID: 27678221
- Low RELB expression is associated with Prostate Cancer. PMID: 28108513
- RelB is processed by CO2 in a manner dependent on a key C-terminal domain located in its transactivation domain. Loss of the RelB transactivation domain alters NF-kappaB-dependent transcriptional activity, and loss of p100 alters sensitivity of RelB to CO2 PMID: 28507099
- EZH2, through a methyltransferase-independent mechanism, promotes the transcriptional activation of the non-canonical NF-kappaB subunit RelB PMID: 27764181
- The altered expression of anti-apoptotic gene Bcl-2 played critical roles in regulating both spontaneous and radiation-induced apoptosis in the presence of RelB knockdown. For the first time, we showed that RelB knockdown significantly attenuated the migration and invasion of DU145 prostate cancer cells, due to the reduction of integrin b-1 PMID: 27121503
- Knockdown of ADGRG2 breast cancer cell lines resulted in a strong reduction in cell adhesion and subsequent cell migration which was associated with a selective reduction in RelB. PMID: 26321231
- the role of RelB on lymphocyte development in humans was shown. PMID: 26385063
- In conclusion, DECs show a unique hypo-responsive phenotype to the pro-inflammatory stimulus LPS in order to control the inflammatory response at feto-maternal interface. PMID: 26463648
- Lung-specific (CC-16) and novel (RelB) biomarkers are associated with systemic cardiovascular changes over time. PMID: 26914709
- results suggest that glucocorticoids induce a transcription complex consisting of RelB/p52, CBP, and HDAC1 that triggers a dynamic acetylation-mediated epigenetic change to induce CRH expression in full-term human placenta. PMID: 26307012
- HDAC4-RelB-p52 complex maintains repressive chromatin around proapoptotic genes Bim and BMF and regulates multiple myeloma survival and growth PMID: 26455434
- RELB enhances proliferation of human-induced pluripotent stem cells without affecting their pluripotency. RELB interacts with LIN28A and IMP3. PMID: 25794352
- In non-small cell lung cancer, RelB expression was identified in proliferating tumor cells. tumor RelB expression was an independent predictor of lymph node metastasis PMID: 26147201
- Basal expression of RelB was significantly lower in lung cells derived from smokers with and without COPD. PMID: 25943190
- RelB may represent a novel marker of health outcomes PMID: 25409035
- the specific Asp205 cleavage of RelB by caspase-3 would be involved in the apoptosis induction by anticancer agents, which would provide the positive feedback mechanism. PMID: 25511695
- we demonstrate that SUMOylation of RelB might be one of these post-translational modifications rendering the function of the NF-kappaB transcription factor RelB. PMID: 24616021
- RelB-p52 dimers were found to directly bind to the IDO promoter, leading to IDO expression in MDSCs PMID: 25063873
- Unstimulated monocyte-derived dendritic cells express RelB at low level, However, RelB increases, following stimulation, are attenuated by geldanamycin. PMID: 24524692
- CTNNA1 expression is specifically downregulated in basal-like breast cancer subtype, correlates with clinical outcome and inversely correlates with TNF and RELB expression. PMID: 24509793
- The NF-kappaB protein RelB is expressed in a particularly aggressive mesenchymal subtype of glioma. PMID: 23451236
- RelB activation is key for promoting multiple myeloma cell survival through the upregulation of anti-apoptotic proteins, in particular, CIAP2. PMID: 23555623
- The dimer RelB/p50 rather than the p50/p50 complex inhibits TNF production in lipopolysaccharide-stimulated dendritic cells and macrophages. PMID: 23394901
- a novel link between NF-kappaB and growth-inhibitory pathways involving the RelB-dependent transcriptional upregulation of p53. PMID: 22777360
- Kaposi's sarcoma-associated herpesvirus oncoprotein K13 upregulated the expression of NF-kappaB subunit RelB and blocked the anti-IgM-induced decline in c-Myc and rise in p27(Kip1) that have been associated with growth arrest and apoptosis. PMID: 23236068
- The expression of RelB negatively regulates the endogenous expression of maspin in prostate cancer cells in vitro. PMID: 22780967
- The RelB subunit of NFkappaB acts as a negative regulator of circadian gene expression. PMID: 22894897
- These data show that Hodgkin lymphoma is uniquely dependent on relB PMID: 22968463
- RelB/NF-kappaB2, is constitutively activated in the human placenta, which binds to a previously undescribed NF-kappaB enhancer of corticotropin-releasing hormone (CRH) gene promoter to regulate CRH expression. PMID: 22734038
- RelB is a CO(2)-sensitive NF-kappaB family member that may contribute to the beneficial effects of hypercapnia in inflammatory diseases of the lung PMID: 22396550
- RelB plays a critical role in the response of PCa to radiotherapy and the inverse expression of IL-8 and PSA PMID: 22403723
- We propose that RelB is an essential molecule controlling the endogenous and the proteasome inhibitor-induced Maspin expression. PMID: 21856005
- a central role for Malt1-dependent RelB cleavage in canonical NF-kappaB activation and thereby provide a rationale for the targeting of Malt1 in immunomodulation and cancer treatment. PMID: 21873235
- AHR overexpression is found among estrogen receptor (ER)alpha-negative human breast tumors and that its overexpression is positively correlated to that of the NF-kappaB subunit Rel-B and Interleukin 8. PMID: 21640702
- Data show that RelB is inducibly phosphorylated by GSK-3beta, indicating a direct substrate-enzyme relationship. PMID: 21217772
- epigenetic RELB silencing as a new marker of the progressive disease in males PMID: 21062507
- Bovine foamy virus transactivator BTas interacts with cellular RelB to enhance viral transcription. PMID: 20844054
- REQ functions as an efficient adaptor protein between the SWI/SNF complex and RelB/p52 and plays important roles in noncanonical NF-kappaB transcriptional activation and its associated oncogenic activity. PMID: 20460684
- the Tio oncoprotein triggers noncanonical NF-kappaB signaling through NEMO-dependent up-regulation of p100 precursor and RelB, as well as through NEMO-independent generation of p52 effector PMID: 20353939
- the results suggest that RelB was responsible for the LPS-mediated attachment and may play an important role in the progression of some cancers. PMID: 19903458
- Rel activity plays role in regulation of apoptosis in hepatocellular carcinoma through activation of downstream target genes PMID: 12365017
- During dendritic cell maturation, rapidly activated dimers (e.g., RelA) bound to a subset of target promoters are gradually replaced by slowly activated dimers (e.g., RelB). PMID: 12820969
- RelB has an effect on p100 processing, which is possibly regulated in a signal-dependent manner PMID: 12874295
- RelB mediates TNF-induced up-regulation of the human polymeric Ig receptor. PMID: 15265917
- RelB overexpression promoted, whereas endogenous RelB inhibition (by p100DeltaN) blocked, precursor cell development along this DC subset pathway. PMID: 15315978
- induced by cytomegalovirus (CMV) immediate-early 1 protein via activation of JNK and AP-1 PMID: 15596805
- RelB expression during dendritic cells differentiation is controlled by protein kinase CbetaII-mediated regulation of transcriptional initiation and elongation PMID: 16107733
顯示更多
收起更多
-
相關疾病:Immunodeficiency 53 (IMD53)
-
亞細胞定位:Nucleus. Cytoplasm, cytoskeleton, microtubule organizing center, centrosome. Note=Colocalizes with NEK6 in the centrosome.
-
數據庫鏈接:
Most popular with customers
-
-
YWHAB Recombinant Monoclonal Antibody
Applications: ELISA, WB, IHC, IF, FC
Species Reactivity: Human, Mouse, Rat
-
Phospho-YAP1 (S127) Recombinant Monoclonal Antibody
Applications: ELISA, WB, IHC
Species Reactivity: Human
-
-
-
-
-















