Phospho-TGFBR1 (S165) Antibody
-
中文名稱:磷酸化-TGFBR1 (S165)兔多克隆抗體
-
貨號:CSB-PA050248
-
規格:¥1090
-
圖片:
-
Western Blot analysis of MOUSE-LIVER cells using Phospho-TGFβ RI (S165) Polyclonal Antibody
-
Immunohistochemical analysis of paraffin-embedded Human-liver tissue. 1,TGFβ RI (phospho Ser165) Polyclonal Antibody was diluted at 1:200(4°C,overnight). 2, Sodium citrate pH 6.0 was used for antibody retrieval(>98°C,20min). 3,Secondary antibody was diluted at 1:200(room temperature, 30min).
-
Immunohistochemical analysis of paraffin-embedded Rat-kidney tissue. 1,TGFβ RI (phospho Ser165) Polyclonal Antibody was diluted at 1:200(4°C,overnight). 2, Sodium citrate pH 6.0 was used for antibody retrieval(>98°C,20min). 3,Secondary antibody was diluted at 1:200(room temperature, 30min).
-
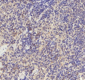
Immunohistochemical analysis of paraffin-embedded Rat-spleen tissue. 1,TGFβ RI (phospho Ser165) Polyclonal Antibody was diluted at 1:200(4°C,overnight). 2, Sodium citrate pH 6.0 was used for antibody retrieval(>98°C,20min). 3,Secondary antibody was diluted at 1:200(room temperature, 30min).
-
-
其他:
產品詳情
-
Uniprot No.:
-
基因名:
-
別名:TGFBR1; ALK5; SKR4; TGF-beta receptor type-1; TGFR-1; Activin A receptor type II-like protein kinase of 53kD; Activin receptor-like kinase 5; ALK-5; Serine/threonine-protein kinase receptor R4; TGF-beta type I receptor; Transforming growth factor-beta receptor type I; TGF-beta receptor type I; TbetaR-I
-
宿主:Rabbit
-
反應種屬:Human,Mouse,Rat
-
免疫原:The antiserum was produced against synthesized peptide derived from human TGF beta Receptor I around the phosphorylation site of Ser165. AA range:131-180
-
免疫原種屬:Homo sapiens (Human)
-
標記方式:Non-conjugated
-
抗體亞型:IgG
-
純化方式:The antibody was affinity-purified from rabbit antiserum by affinity-chromatography using epitope-specific immunogen.
-
濃度:It differs from different batches. Please contact us to confirm it.
-
保存緩沖液:Liquid in PBS containing 50% glycerol, 0.5% BSA and 0.02% sodium azide.
-
產品提供形式:Liquid
-
應用范圍:WB, IHC, ELISA
-
推薦稀釋比:
Application Recommended Dilution WB 1:500-1:2000 IHC 1:50-1:300 ELISA 1:5000 -
Protocols:
-
儲存條件:Upon receipt, store at -20°C or -80°C. Avoid repeated freeze.
-
貨期:Basically, we can dispatch the products out in 1-3 working days after receiving your orders. Delivery time maybe differs from different purchasing way or location, please kindly consult your local distributors for specific delivery time.
-
用途:For Research Use Only. Not for use in diagnostic or therapeutic procedures.
相關產品
靶點詳情
-
功能:Transmembrane serine/threonine kinase forming with the TGF-beta type II serine/threonine kinase receptor, TGFBR2, the non-promiscuous receptor for the TGF-beta cytokines TGFB1, TGFB2 and TGFB3. Transduces the TGFB1, TGFB2 and TGFB3 signal from the cell surface to the cytoplasm and is thus regulating a plethora of physiological and pathological processes including cell cycle arrest in epithelial and hematopoietic cells, control of mesenchymal cell proliferation and differentiation, wound healing, extracellular matrix production, immunosuppression and carcinogenesis. The formation of the receptor complex composed of 2 TGFBR1 and 2 TGFBR2 molecules symmetrically bound to the cytokine dimer results in the phosphorylation and the activation of TGFBR1 by the constitutively active TGFBR2. Activated TGFBR1 phosphorylates SMAD2 which dissociates from the receptor and interacts with SMAD4. The SMAD2-SMAD4 complex is subsequently translocated to the nucleus where it modulates the transcription of the TGF-beta-regulated genes. This constitutes the canonical SMAD-dependent TGF-beta signaling cascade. Also involved in non-canonical, SMAD-independent TGF-beta signaling pathways. For instance, TGFBR1 induces TRAF6 autoubiquitination which in turn results in MAP3K7 ubiquitination and activation to trigger apoptosis. Also regulates epithelial to mesenchymal transition through a SMAD-independent signaling pathway through PARD6A phosphorylation and activation.
-
基因功能參考文獻:
- GPR50 is a TbetaRI co-receptor with potential impact on cancer development PMID: 29572483
- Systemic activation of Activin A signaling causes chronic kidney disease-mineral bone disorder. (Review) PMID: 30142896
- TGFbetaR1 rs10739778 was associated with blood pressure in healthy pregnant women. PMID: 29183791
- Treatment of T. cruzi-infected cardiac spheroids with SB 431542, a selective inhibitor of TGF-b type I receptor, resulted in a reduction in the size of spheroids, which was accompanied by a decrease in parasite load and in fibronectin expression. PMID: 29208458
- TGFBR1/2 genetic variants (in particular when evaluated as a burden by score) might play a role in modulating the severity of cardiovascular manifestation in Marfan syndrome. PMID: 28847661
- Findings provide evidence that TGFBR-1 expression is regulated by SLC35F2 which exerts its oncogenic effect on papillary thyroid carcinoma progression through activation of TGFBR-1 and ASK-1. PMID: 29274137
- rs334348 polymorphism may influence individual's susceptibility to endometriosis and its severity PMID: 28277133
- miR-130a-3p might play a critical role in negatively regulating hepatic stellate cell activation and proliferation in the progression of nonalcoholic fibrosing steatohepatitis by directly targeting TGFBR1 and TGFBR2 via the TGF-beta/SMAD signaling pathway. PMID: 28518142
- TGFbetaR1 signaling was involved in 14-3-3zeta-mediated cell proliferation and metastasis of lung squamous cell carcinoma cells. PMID: 27764818
- Mutational activation of BRAF confers sensitivity to TGFBR1 inhibitors in human melanoma cells. PMID: 27835901
- Loeys-Dietz syndrome patients with confirmed mutations in TGFBR1 or TGFBR2 had an increased prevalence of inflammatory bowel disease PMID: 27508510
- ALK5 is an important mediator of HTFs fibrosis. ALK5 is a potential therapeutic target to suppress scar formation after filtration surgery. PMID: 28632033
- PAR2 is crucial for TGF-beta1-induced cell motility by its ability to sustain expression of ALK5. Therapeutically targeting PAR2 may thus be a promising approach in preventing TGF-beta-dependent driven metastatic dissemination in PDAC and possibly other stroma-rich tumour types. PMID: 27248167
- Data show that twist-related protein 1 (Twist1) requires TGF-beta type-I receptor (TGFBR1)-activation for activation for epithelial-mesenchymal transition (EMT)-induction. PMID: 27105506
- combined inhibition of ALK5 and CTGF is required to prevent TGFbeta-induced nodule formation in tri-cellular cultures PMID: 28815607
- Aortic diseases in patients with TGFBR1 or TGFBR2 mutations show the same prevalence of systemic features and the same global survival. PMID: 27879313
- In this small cohort, the results did not reach significance to identify the TFGBR1*6A allele as a major modifier for aortic dilation, ectopia lentis, or systemic features associated with MFS or other connective tissue disorders. PMID: 27112580
- Results show that TGFBR1 expression is regulated in bladder cancer cell through its desumoylation by SENP2. PMID: 28574613
- Low TGFBR1 expression is associated with oral cancer progression. PMID: 28146434
- TGF-beta type I, II, and III receptors were all identified in pregnant serum; all were substantially elevated in early-onset but not late-onset preeclampsia. Endoglin was increased in both subtypes. PMID: 28633389
- Overexpression of truncated ALK5 in a B-cell line counteracted BMP-7-induced apoptosis, whereas overexpression of truncated ALK4 had no effect. PMID: 28489883
- Although TGFbeta1/2 receptors are downregulated in breast cancer, their expression in tumors is an indicator of aggressive breast cancer phenotype. PMID: 27445263
- Higher proportions of early-onset Diffuse Gastric Cancers (DGCs) contained somatic mutations in CDH1 or TGFBR1 compared with late-onset DGCs. A smaller proportion of early-onset DGCs contained somatic mutations in RHOA. CDH1 alterations, but not RHOA mutations, were associated with shorter survival times. Female predominance in early-onset DGC may be related to relatively high rates of somatic CDH1 and TGFBR1 mutations. PMID: 28522256
- Coronin 1B constitutively binds to TGF beta receptor I in vascular smooth muscle cells. PMID: 28625921
- BIX02189 is a potent inhibitor of TGF-beta type I receptor that can block the lung tumor metastatic activity of TGF-beta1. PMID: 27543359
- In luciferase assays, the risk-associated allele for rs868 was associated with half the luciferase expression in the presence of miRNA let-7b-5p compared with protective allele, suggesting more binding of let-7b-5p and less TGFBR1 expression. Thus, rs868 potentially is acolorectal ca CRC risk-causing allele. Our results support the concept that rs868 is associated with lower TGFBR1 expression thereby increasing CRC risk. PMID: 27234654
- Data show that signal transducing adaptor proteins APPL1 and APPL2 are required for TGFbeta-induced nuclear translocation of TGFbeta type I receptor (TbetaRI)-ICD and for cancer cell invasiveness of prostate and breast cancer cell lines. PMID: 26583432
- Evidence supporting a genetic basis includes the autosomal dominance of Bicuspid aortic valve inheritance patterns, and the identification of mutations in transforming growth factor beta receptor 1. PMID: 26766164
- This work details a novel mechanism by which cellular tension regulates TGFbeta receptor organization, multimerization, and function. PMID: 26652004
- miR-181b functions as a tumor suppressor and has an important role in proliferation, chemosensitivity to DDP and metastasis of NSCLC by targeting TGFbetaR1/Smad signaling pathway. PMID: 26620926
- Protease activated receptor-1 mediated dual kinase receptor transactivation stimulates the expression of glycosaminoglycan synthesizing genes and transforming growth factor beta receptor 1 PMID: 26548632
- Studies indicate that the transforming growth factor beta receptor I 6A (TbetaR-I 6A) allele was associated with breast cancer risk. PMID: 26616150
- Women who carry the TGFBR1*6A allele are at lower risk of developing breast cancer. PMID: 26165686
- Data suggest that transient suppression of TGFbeta receptor I (TGFbeta receptor) signaling may improve the outcome of islet transplantation. PMID: 26872091
- Blocking TGFBR1 receptor up-regulated p21 expression while inhibiting breast tumor cell growth. PMID: 26187313
- Short hairpin-mediated downregulation of either ALK5 or ALK1 resulted in a strong inhibition of TGFbeta-induced chondrogenesis. PMID: 26720610
- MiR-1343 reduces the expression of both TGF-beta receptor 1 and 2 by directly targeting their 3'-UTRs. PMID: 26542979
- these findings demonstrate that syntenin may act as an important positive regulator of TGF-b signaling by regulating caveolin-1-mediated internalization of TbRI; thus, providing a novel function for syntenin that is linked to cancer progression PMID: 25893292
- Int7G24A polymorphism of gene TGFBR1 involved in the TGF-beta signaling pathway had a significantly increased risk for cancer development. (Meta-analysis) PMID: 26074400
- Data show that macitentan interferes with the profibrotic action of transforming growth factor-beta (TGF-beta), blocking the endothelin receptor type A (ET-1 receptor) portion of the ET-1/TGF-beta receptor complex. PMID: 26357964
- Treatment with a TGFBR1 kinase inhibitor, endocytosis inhibitors or a lysosome inhibitor, normalized the levels of TGFBR1 and TGFBR2. PMID: 25882708
- we showed significantly higher HDAC6 levels in GBM from the patients and further showed evidence supporting TGFbeta receptor signaling pathway as a downstream target of HDAC6 in glioblastoma multiforme PMID: 26150340
- results indicate the critical role of TGF-beta R1/Smad2/3 signaling in carbon nanotube-induced fibrogenesis by upregulating collagen production in lung fibroblasts PMID: 26472812
- The direct fusion of clathrin-coated and caveolae vesicles during TGF-beta receptor endocytic trafficking, which leads to the formation of the multifunctional sorting device, caveolin-1-positive early endosomes, for TGF-beta receptors. PMID: 25998683
- Data show that tacrolimus-induced NAD(P)H-oxidase 4 (Nox4) expression in by aberrant TGF-beta receptor signalling. PMID: 24816588
- a case-control study and systematic literature review found that sporadic, but not familial colorectal cancer, was associated with TGFBR1*6A polymorphism. PMID: 24880985
- Chinese Han family a pathogenic mutation (rs111426349, c.1459C >T) (TGFBR1) of familial thoracic aortic aneurysm was confirmed, which result in the amino acid substitution p.R487W. PMID: 25110237
- TGFBR1 mutations in patients with dural ectasia in Loeys-Dietz syndrome PMID: 24344637
- Donor rs868 AA genotype was associated with worse clinical course of recurrent hepatitis C and more severe symptoms of hepatitis C and fibrosis during follow-up after liver transplantation. PMID: 25502482
- Characteristic TGFbetaR1 expression pattern in keratoacanthoma can facilitate histopathologic distinction from squamous cell carcinoma. PMID: 24954139
顯示更多
收起更多
-
相關疾病:Loeys-Dietz syndrome 1 (LDS1); Multiple self-healing squamous epithelioma (MSSE)
-
亞細胞定位:Cell membrane; Single-pass type I membrane protein. Cell junction, tight junction. Cell surface. Membrane raft.
-
蛋白家族:Protein kinase superfamily, TKL Ser/Thr protein kinase family, TGFB receptor subfamily
-
組織特異性:Found in all tissues examined, most abundant in placenta and least abundant in brain and heart. Expressed in a variety of cancer cell lines.
-
數據庫鏈接:
Most popular with customers
-
-
YWHAB Recombinant Monoclonal Antibody
Applications: ELISA, WB, IHC, IF, FC
Species Reactivity: Human, Mouse, Rat
-
Phospho-YAP1 (S127) Recombinant Monoclonal Antibody
Applications: ELISA, WB, IHC
Species Reactivity: Human
-
-
-
-
-















