QSOX1 Antibody
-
中文名稱:QSOX1兔多克隆抗體
-
貨號:CSB-PA019144LA01HU
-
規格:¥440
-
圖片:
-
Western Blot
Positive WB detected in: Hela whole cell lysate, Rat heart tissue
All lanes: QSOX1 antibody at 5.6μg/ml
Secondary
Goat polyclonal to rabbit IgG at 1/50000 dilution
Predicted band size: 83 kDa
Observed band size: 83 kDa -
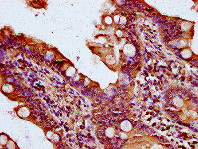
IHC image of CSB-PA019144LA01HU diluted at 1:400 and staining in paraffin-embedded human small intestine tissue performed on a Leica BondTM system. After dewaxing and hydration, antigen retrieval was mediated by high pressure in a citrate buffer (pH 6.0). Section was blocked with 10% normal goat serum 30min at RT. Then primary antibody (1% BSA) was incubated at 4°C overnight. The primary is detected by a biotinylated secondary antibody and visualized using an HRP conjugated SP system.
-
IHC image of CSB-PA019144LA01HU diluted at 1:400 and staining in paraffin-embedded human endometrial cancer performed on a Leica BondTM system. After dewaxing and hydration, antigen retrieval was mediated by high pressure in a citrate buffer (pH 6.0). Section was blocked with 10% normal goat serum 30min at RT. Then primary antibody (1% BSA) was incubated at 4°C overnight. The primary is detected by a biotinylated secondary antibody and visualized using an HRP conjugated SP system.
-
-
其他:
產品詳情
-
產品名稱:Rabbit anti-Homo sapiens (Human) QSOX1 Polyclonal antibody
-
Uniprot No.:
-
基因名:
-
別名:QSOX1; QSCN6; UNQ2520/PRO6013; Sulfhydryl oxidase 1; hQSOX; Quiescin Q6
-
宿主:Rabbit
-
反應種屬:Human, Rat
-
免疫原:Recombinant Human Sulfhydryl oxidase 1 protein (101-175AA)
-
免疫原種屬:Homo sapiens (Human)
-
標記方式:Non-conjugated
本頁面中的產品,QSOX1 Antibody (CSB-PA019144LA01HU),的標記方式是Non-conjugated。對于QSOX1 Antibody,我們還提供其他標記。見下表:
-
克隆類型:Polyclonal
-
抗體亞型:IgG
-
純化方式:>95%, Protein G purified
-
濃度:It differs from different batches. Please contact us to confirm it.
-
保存緩沖液:Preservative: 0.03% Proclin 300
Constituents: 50% Glycerol, 0.01M PBS, pH 7.4 -
產品提供形式:Liquid
-
應用范圍:ELISA, WB, IHC
-
推薦稀釋比:
Application Recommended Dilution WB 1:500-1:5000 IHC 1:200-1:500 -
Protocols:
-
儲存條件:Upon receipt, store at -20°C or -80°C. Avoid repeated freeze.
-
貨期:Basically, we can dispatch the products out in 1-3 working days after receiving your orders. Delivery time maybe differs from different purchasing way or location, please kindly consult your local distributors for specific delivery time.
-
用途:For Research Use Only. Not for use in diagnostic or therapeutic procedures.
相關產品
靶點詳情
-
功能:Catalyzes the oxidation of sulfhydryl groups in peptide and protein thiols to disulfides with the reduction of oxygen to hydrogen peroxide. Plays a role in disulfide bond formation in a variety of extracellular proteins. In fibroblasts, required for normal incorporation of laminin into the extracellular matrix, and thereby for normal cell-cell adhesion and cell migration.
-
基因功能參考文獻:
- This study provides a key example of the effect of glycosylation on Golgi exit and contributes to an understanding of late secretory sorting and quality control. PMID: 29757379
- High QSOX1 expression correlates with tumor invasiveness PMID: 29804717
- High QSOX1 expression is a strong and independent factor of reduced survival in breast cancer and may represent a biomarker for aggressive disease and a potential treatment target PMID: 27562495
- Data indicate ebselen as an in vitro inhibitor of quiescin sulfhydryl oxidase 1 (QSOX1) enzymatic activity. PMID: 26158899
- QSOX1 immunoexpression was observed in the non-neoplastic cerebellum samples and the medulloblastoma samples PMID: 25908093
- High levels of QSOX1 RNA expression is associated with breast cancer. PMID: 23536962
- these studies suggest that QSOX1 is a predictive biomarker for luminal cancers and that it may be a useful target for elusive luminal B disease PMID: 23680167
- QSOX1 may be revealed as an important player in cancer detection and prognosis. Defining the mechanism(s) of QSOX1 activity in tumors and in in vivo models will provide important insights into how to target QSOX1 with anti-neoplastic agents. PMID: 24359107
- Examination of the unusual kinetics of QSOX1 toward cysteine and glutathione at low micromolar concentrations suggests that circulating QSOX1 is unlikely to significantly contribute to the oxidation of these monothiols in plasma PMID: 24468475
- QSOX1 may be involved in neuroblastoma differentiation and regression and may thus function as a biomarker for identifying risk groups for this neoplasm. PMID: 24704990
- QSOX1 is induced by hypoxic stimuli and identified that QSOX1 is a direct target of HIF-1. PMID: 24008827
- Data suggest that isoenzyme QSOX1A is secreted from mammalian cells despite transmembrane domain; QSOX1A is cleaved at internal sites and processed within Golgi apparatus to yield soluble enzyme that forms dimer upon cleavage of C-terminal domain. PMID: 23713614
- QSOX1 is a potential new prognostic marker which may prove of use in the staging of breast tumours and the stratification of breast cancer patients. PMID: 23460839
- QSOX1 activity was required for incorporation of laminin into the extracellular matrix (ECM) synthesized by fibroblasts, and ECM produced without QSOX1 was defective in supporting cell-matrix adhesion. PMID: 23704371
- crystal structure PMID: 22801504
- These results propose for the first time possible roles for QSOX1 in atherosclerosis. PMID: 22069028
- Taken together, our results suggest that the mechanism of QSOX1-mediated tumor cell invasion is by activation of MMP-2 and MMP-9. PMID: 21989104
- Data suggested that the C449-C452 motif was essential for the activity of human QSOX 1b; the C70-C73 motif was fundamental in electron transfer from thiol-containing substrate including reduced proteins, DTT, GSH. PMID: 21148546
- A partial QSOX1 crystal structure reveals a single-chain pseudo-dimer mimicking the quaternary structure of Erv enzymes. PMID: 20211621
- In the plasma peptidome of patients with ductal adenocarcinoma of the pancreas (DAP), a prominent peptide was identified from the QSOX1 parent protein. This peptide was present in 16 of 23 DAP patients and 4 of 5 patients with IPMN. PMID: 19795908
- Data show that the longer version of human QSOX1 protein (hQSOX1a) is a transmembrane protein localized primarily to the Golgi apparatus, and that hQSOX1a can act in vivo as an oxidase. PMID: 17331072
- internal redox steps studied by mutagenesis PMID: 18393449
顯示更多
收起更多
-
亞細胞定位:[Isoform 1]: Golgi apparatus membrane; Single-pass membrane protein. Secreted.; [Isoform 2]: Secreted.
-
蛋白家族:Quiescin-sulfhydryl oxidase (QSOX) family
-
組織特異性:Expressed in heart, placenta, lung, liver, skeletal muscle, pancreas and very weakly in brain and kidney.
-
數據庫鏈接:
Most popular with customers
-
-
YWHAB Recombinant Monoclonal Antibody
Applications: ELISA, WB, IHC, IF, FC
Species Reactivity: Human, Mouse, Rat
-
Phospho-YAP1 (S127) Recombinant Monoclonal Antibody
Applications: ELISA, WB, IHC
Species Reactivity: Human
-
-
-
-
-















