RAB11FIP5 Antibody
-
中文名稱:RAB11FIP5兔多克隆抗體
-
貨號:CSB-PA863141LA01HU
-
規格:¥440
-
圖片:
-
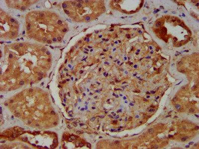
IHC image of CSB-PA863141LA01HU diluted at 1:400 and staining in paraffin-embedded human kidney tissue performed on a Leica BondTM system. After dewaxing and hydration, antigen retrieval was mediated by high pressure in a citrate buffer (pH 6.0). Section was blocked with 10% normal goat serum 30min at RT. Then primary antibody (1% BSA) was incubated at 4°C overnight. The primary is detected by a biotinylated secondary antibody and visualized using an HRP conjugated SP system.
-
IHC image of CSB-PA863141LA01HU diluted at 1:400 and staining in paraffin-embedded human placenta tissue performed on a Leica BondTM system. After dewaxing and hydration, antigen retrieval was mediated by high pressure in a citrate buffer (pH 6.0). Section was blocked with 10% normal goat serum 30min at RT. Then primary antibody (1% BSA) was incubated at 4°C overnight. The primary is detected by a biotinylated secondary antibody and visualized using an HRP conjugated SP system.
-
-
其他:
產品詳情
-
產品名稱:Rabbit anti-Homo sapiens (Human) RAB11FIP5 Polyclonal antibody
-
Uniprot No.:
-
基因名:
-
別名:GAF 1 antibody; Gaf-1 antibody; GAF1 antibody; gamma SNAP associated factor 1 antibody; Gamma-SNAP-associated factor 1 antibody; KIAA0857 antibody; Phosphoprotein pp75 antibody; pp75 antibody; RAB11 family interacting protein 5 (class I) antibody; Rab11 family-interacting protein 5 antibody; Rab11 FIP5 antibody; Rab11 interacting protein antibody; Rab11 interacting protein Rip11 antibody; Rab11-FIP5 antibody; Rab11-interacting protein Rip11 antibody; Rab11fip5 antibody; RFIP5_HUMAN antibody; RIP11 antibody
-
宿主:Rabbit
-
反應種屬:Human
-
免疫原:Recombinant Human Rab11 family-interacting protein 5 protein (374-545AA)
-
免疫原種屬:Homo sapiens (Human)
-
標記方式:Non-conjugated
本頁面中的產品,RAB11FIP5 Antibody (CSB-PA863141LA01HU),的標記方式是Non-conjugated。對于RAB11FIP5 Antibody,我們還提供其他標記。見下表:
-
克隆類型:Polyclonal
-
抗體亞型:IgG
-
純化方式:>95%, Protein G purified
-
濃度:It differs from different batches. Please contact us to confirm it.
-
保存緩沖液:Preservative: 0.03% Proclin 300
Constituents: 50% Glycerol, 0.01M PBS, pH 7.4 -
產品提供形式:Liquid
-
應用范圍:ELISA, IHC
-
推薦稀釋比:
Application Recommended Dilution IHC 1:200-1:500 -
Protocols:
-
儲存條件:Upon receipt, store at -20°C or -80°C. Avoid repeated freeze.
-
貨期:Basically, we can dispatch the products out in 1-3 working days after receiving your orders. Delivery time maybe differs from different purchasing way or location, please kindly consult your local distributors for specific delivery time.
-
用途:For Research Use Only. Not for use in diagnostic or therapeutic procedures.
相關產品
靶點詳情
-
功能:Rab effector involved in protein trafficking from apical recycling endosomes to the apical plasma membrane. Involved in insulin granule exocytosis. May regulate V-ATPase intracellular transport in response to extracellular acidosis.
-
基因功能參考文獻:
- FIP5-T276 phosphorylation occurs specifically during metaphase and anaphase. PMID: 24591568
- FIP5-SNX18 complex plays a pivotal role in the polarized transport of apical proteins during apical lumen initiation in epithelial cells. PMID: 21969467
- These data introduce Rab11b as a crucial regulator and Rip11 as mediator of acidosis-induced V-ATPase traffic in duct cells of submandibular gland. PMID: 20717956
- analysis of the rearrangement breakpoints suggests that the reciprocal translocation may have formed secondary to incorrect repair of double strand breaks (DSBs) by nonhomologous end-joining (NHEJ). PMID: 18384058
-
亞細胞定位:Cytoplasm. Recycling endosome membrane; Peripheral membrane protein. Early endosome membrane; Peripheral membrane protein. Golgi apparatus membrane; Peripheral membrane protein. Cytoplasmic vesicle, secretory vesicle membrane; Peripheral membrane protein. Mitochondrion membrane; Peripheral membrane protein.
-
組織特異性:Detected at low levels in heart, brain, placenta, lung, liver, adipocytes, kidney, spleen, skeletal muscle and pancreas.
-
數據庫鏈接:
Most popular with customers
-
-
YWHAB Recombinant Monoclonal Antibody
Applications: ELISA, WB, IHC, IF, FC
Species Reactivity: Human, Mouse, Rat
-
Phospho-YAP1 (S127) Recombinant Monoclonal Antibody
Applications: ELISA, WB, IHC
Species Reactivity: Human
-
-
-
-
-















