-
中文名稱:RAF1兔多克隆抗體
-
貨號:CSB-PA019284LA01HU
-
規格:¥440
-
圖片:
-
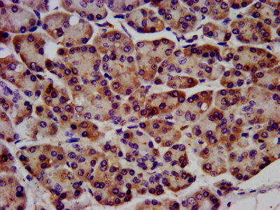
IHC image of CSB-PA019284LA01HU diluted at 1:1200 and staining in paraffin-embedded human pancreatic tissue performed on a Leica BondTM system. After dewaxing and hydration, antigen retrieval was mediated by high pressure in a citrate buffer (pH 6.0). Section was blocked with 10% normal goat serum 30min at RT. Then primary antibody (1% BSA) was incubated at 4°C overnight. The primary is detected by a biotinylated secondary antibody and visualized using an HRP conjugated SP system.
-
Immunofluorescence staining of Hela cells with CSB-PA019284LA01HU at 1:400, counter-stained with DAPI. The cells were fixed in 4% formaldehyde, permeabilized using 0.2% Triton X-100 and blocked in 10% normal Goat Serum. The cells were then incubated with the antibody overnight at 4°C. The secondary antibody was Alexa Fluor 488-congugated AffiniPure Goat Anti-Rabbit IgG(H+L).
-
Immunoprecipitating RAF1 in 293T whole cell lysate
Lane 1: Rabbit control IgG (1µg) instead of CSB-PA019284LA01HU in 293T whole cell lysate. For western blotting, a HRP-conjugated Protein G antibody was used as the secondary antibody (1/2000)
Lane 2: CSB-PA019284LA01HU (6µg) + 293T whole cell lysate (500µg)
Lane 3: 293T whole cell lysate (10µg) -
Western Blot
Positive WB detected in: MCF-7 whole cell lysate
All lanes: RAF1 antibody at 4µg/ml
Secondary
Goat polyclonal to rabbit IgG at 1/50000 dilution
Predicted band size: 74, 76 kDa
Observed band size: 74 kDa
-
-
其他:
產品詳情
-
產品名稱:Rabbit anti-Homo sapiens (Human) RAF1 Polyclonal antibody
-
Uniprot No.:
-
基因名:
-
別名:c Raf antibody; C-raf antibody; C-Raf proto-oncogene, serine/threonine kinase antibody; CMD1NN antibody; Craf 1 transforming gene antibody; cRaf antibody; Craf1 transforming gene antibody; EC 2.7.11.1 antibody; kinase Raf1 antibody; Murine sarcoma 3611 oncogene 1 antibody; NS5 antibody; Oncogene MIL antibody; Oncogene RAF1 antibody; OTTHUMP00000160218 antibody; OTTHUMP00000207813 antibody; OTTHUMP00000209389 antibody; Protein kinase raf 1 antibody; Proto-oncogene c-RAF antibody; Raf 1 antibody; Raf 1 proto oncogene serine/threonine kinase antibody; RAF antibody; Raf proto oncogene serine/threonine protein kinase antibody; RAF proto-oncogene serine/threonine-protein kinase antibody; RAF-1 antibody; RAF1 antibody; RAF1_HUMAN antibody; Similar to murine leukemia viral (V-raf-1) oncogene homolog 1 antibody; TRANSFORMING REPLICATION-DEFECTIVE MURINE RETROVIRUS 3611-MSV antibody; v raf 1 murine leukemia viral oncogene homolog 1 antibody; v-raf murine sarcoma viral oncogene homolog 1 antibody; v-raf-1 murine leukemia viral oncogene-like protein 1 antibody; vraf1 murine leukemia viral oncogene homolog 1 antibody
-
宿主:Rabbit
-
反應種屬:Human
-
免疫原:Recombinant Human RAF proto-oncogene serine/threonine-protein kinase protein (1-648AA)
-
免疫原種屬:Homo sapiens (Human)
-
標記方式:Non-conjugated
本頁面中的產品,RAF1 Antibody (CSB-PA019284LA01HU),的標記方式是Non-conjugated。對于RAF1 Antibody,我們還提供其他標記。見下表:
-
克隆類型:Polyclonal
-
抗體亞型:IgG
-
純化方式:>95%, Protein G purified
-
濃度:It differs from different batches. Please contact us to confirm it.
-
保存緩沖液:Preservative: 0.03% Proclin 300
Constituents: 50% Glycerol, 0.01M PBS, PH 7.4 -
產品提供形式:Liquid
-
應用范圍:ELISA, WB, IHC, IF, IP
-
推薦稀釋比:
Application Recommended Dilution WB 1:500-1:5000 IHC 1:1000-1:2000 IF 1:200-1:500 IP 1:200-1:2000 -
Protocols:
-
儲存條件:Upon receipt, store at -20°C or -80°C. Avoid repeated freeze.
-
貨期:Basically, we can dispatch the products out in 1-3 working days after receiving your orders. Delivery time maybe differs from different purchasing way or location, please kindly consult your local distributors for specific delivery time.
-
用途:For Research Use Only. Not for use in diagnostic or therapeutic procedures.
引用文獻
- L-741626 inhibits hepatocellular carcinoma progression by targeting Ref-1 to suppress MAPK/ERK signalling pathway activity S Jin, Q Zhao, X Sun, J Su, P Wang, P Li, J Guo,Biology Direct,2025
相關產品
靶點詳情
-
功能:Serine/threonine-protein kinase that acts as a regulatory link between the membrane-associated Ras GTPases and the MAPK/ERK cascade, and this critical regulatory link functions as a switch determining cell fate decisions including proliferation, differentiation, apoptosis, survival and oncogenic transformation. RAF1 activation initiates a mitogen-activated protein kinase (MAPK) cascade that comprises a sequential phosphorylation of the dual-specific MAPK kinases (MAP2K1/MEK1 and MAP2K2/MEK2) and the extracellular signal-regulated kinases (MAPK3/ERK1 and MAPK1/ERK2). The phosphorylated form of RAF1 (on residues Ser-338 and Ser-339, by PAK1) phosphorylates BAD/Bcl2-antagonist of cell death at 'Ser-75'. Phosphorylates adenylyl cyclases: ADCY2, ADCY5 and ADCY6, resulting in their activation. Phosphorylates PPP1R12A resulting in inhibition of the phosphatase activity. Phosphorylates TNNT2/cardiac muscle troponin T. Can promote NF-kB activation and inhibit signal transducers involved in motility (ROCK2), apoptosis (MAP3K5/ASK1 and STK3/MST2), proliferation and angiogenesis (RB1). Can protect cells from apoptosis also by translocating to the mitochondria where it binds BCL2 and displaces BAD/Bcl2-antagonist of cell death. Regulates Rho signaling and migration, and is required for normal wound healing. Plays a role in the oncogenic transformation of epithelial cells via repression of the TJ protein, occludin (OCLN) by inducing the up-regulation of a transcriptional repressor SNAI2/SLUG, which induces down-regulation of OCLN. Restricts caspase activation in response to selected stimuli, notably Fas stimulation, pathogen-mediated macrophage apoptosis, and erythroid differentiation.
-
基因功能參考文獻:
- The functional assessment supported the pathogenicity of the RAF1 and RIT1 VUSs, while the significance of two variants of unknown significance in A2ML1 remained unclear. PMID: 29402968
- Our report presents the second familial case of Noonan syndrome due to a germline p.S427G substitution in RAF] with no occurrence of a malignant tumor. It may suggest that carrying a germline mutation in the RAF1 oncogene is not associated with an increased risk of tumor development. Since RAF1 mutations have been observed as a somatic event in many types of cancer. PMID: 30204961
- Data indicate that Raf-1 proto-oncogene, serine-threonine kinase (RAF1) is a negative regulator of hepatocarcinogenesis. PMID: 28000790
- we report a patient with an inherited RAF1-associated Noonan syndrome, presenting with an antenatally diagnosed abnormality of skull shape, bilateral subdural haematomas, of unknown cause, delayed myelination and polymicrogyria. PMID: 27753652
- Raf1 may serve as a novel prognostic factor and potential target for improving the longterm outcome of nonsmall cell lung cancer (NSCLC). PMID: 29484414
- Results provide evidence that RAF1 binding to SPRY4 is regulated by miR-1908 in glioma tumors. PMID: 29048686
- High RAF1 expression is associated with malignant melanoma. PMID: 28677804
- two premature neonates with progressive biventricular hypertrophy found to have RAF1 variants in the CR2 domain, are reported. PMID: 28777121
- Data indicate connector enhancer of kinase suppressor of Ras 1 protein (CNK1) as a molecular platform that controls c-raf protein (RAF) and c-akt protein (AKT) signalling and determines cell fate decisions in a cell type- and cell stage-dependent manner. PMID: 27901111
- CRAF is a bona fide alternative oncogene for BRAF/NRAS/GNAQ/GNA11 wild type melanomas PMID: 27273450
- Authors evaluated the expression of known targets of miR-125a and found that sirtuin-7, matrix metalloproteinase-11, and c-Raf were up-regulated in tumor tissue by 2.2-, 3-, and 1.7-fold, respectively. Overall, these data support a tumor suppressor role for miR-125a. PMID: 28445974
- Overexpression of ciRS-7 in HCT116 and HT29 cells led to the blocking of miR-7 and resulted in a more aggressive oncogenic phenotype, and ciRS-7 overexpression permitted the inhibition of miR-7 and subsequent activation of EGFR and RAF1 oncogenes PMID: 28174233
- miR-497 could serve as a tumor suppressor and a potential early diagnostic marker of gastric cancer by targeting Raf-1 proto-oncogene. PMID: 28586056
- RAF1 may have a role in survival in hepatocellular carcinoma, and indicate whether sorafenib should be used as a postoperative adjuvant PMID: 26981887
- Mutational activation of Kit-, Ras/Raf/Erk- and Akt- pathways indicate the biological importance of these pathways and their components as potential targets for therapy. PMID: 27391150
- Results indicate that des-gamma-carboxy prothrombin (DCP) antagonizes the inhibitory effects of Sorafenib on hepatocellular carcinoma (HCC) through activation of the Raf/MEK/ERK and PI3K/Akt/mTOR signaling pathways. PMID: 27167344
- DiRas3 binds to KSR1 independently of its interaction with activated Ras and RAF. PMID: 27368419
- RhoA/ROCK and Raf-1/CK2 pathway are responsible for TNF-alpha-mediated endothelial cytotoxicity via regulation of the vimentin cytoskeleton. PMID: 28743511
- Although Raf-1 gene is not mutated, an abnormality of Raf-1 kinase feedback regulation enhances its antiapoptotic function, and Raf-1 can still be a pharmaceutical target to increase chemotherapy or radiotherapy sensitivity in these cancer cells. PMID: 27841865
- RAF1 plays a critical role in maintaining the transformed phenotype of CRC cells, including those with mutated KRAS. PMID: 27670374
- This finding suggests that stringent assemblage of Hsp90 keeps CRAF kinase equipped for participating in the MAPK pathway. Thus, the role of Hsp90 in CRAF maturation and activation acts as a limiting factor to maintain the function of a strong client like CRAF kinase. PMID: 27703006
- Oncogenic NFIA:RAF1 fusion activation of the MAPK pathway is associated with pilocytic astrocytoma. PMID: 27810072
- IGF2BP2 as a post-transcriptional regulatory mRNA-binding factor, interfering with Raf-1 degradation by miR-195, that contributes to Colorectal carcinogenesis. PMID: 27153315
- Data show that when microRNA miR-125b was over-expressed in THP-1 macrophages, the expression of Raf1 proto-oncogene serine/threonine protein kinase (RAF1) was reduced to promote the apoptosis of macrophages. PMID: 27363278
- Data show that Griffipavixanthone (GPX), a dimeric xanthone isolated from Garcinia esculenta, is a B-RAF and C-RAF inhibitor against esophageal cancer cells. PMID: 26646323
- Up-regulation of Raf-1 is associated with triple-negative breast cancer. PMID: 26513016
- This study provides the molecular basis for C-Raf C-terminal-derived phosphopeptide interaction with 14-3-3zeta protein and gives structural insights responsible for phosphorylation-mediated protein binding. PMID: 26295714
- a model that CD166 regulates MCAM through a signaling flow from activation of PI3K/AKT and c-Raf/MEK/ERK signaling to the inhibition of potential MCAM ubiquitin E3 ligases, betaTrCP and Smurf1. PMID: 26004137
- Suggest an interrelated kinase module involving c-Raf/PI3K/Lyn and perhaps Fgr functions in a nontraditional way during retinoic acid-induced maturation or during rescue of RA induction therapy using inhibitor co-treatment in RA-resistant leukemia cells. PMID: 25817574
- Abnormal activation of the Ras/MAPK pathway may play a significant role in the development of pulmonary vascular disease in the subset of patients with Noonan syndrome and a specific RAF1 mutation. PMID: 25706034
- Raf-1 may be an important biomarker in predicting the prognosis of chordoma patients. PMID: 25755752
- In the presence of Raf1, the RasQ61L mutant has a rigid switch II relative to the wild-type and increased flexibility at the interface with switch I, which propagates across Raf-Ras binding domain. PMID: 25684575
- Besides mediating the anticancer effect, pDAPK(S308) may serve as a predictive biomarker for Raf inhibitors combination therapy, suggesting an ideal preclinical model that is worthy of clinical translation. PMID: 26100670
- DJ-1 directly binds to the kinase domain of c-Raf to stimulate its self-phosphorylation, followed by phosphorylation of MEK and ERK1/2 in EGF-treated cells. PMID: 26048984
- truncated RAF1 and BRAF proteins, recently described as products of genomic rearrangements in gastric cancer and other malignancies, have the ability to render neoplastic cells resistant to RTK-targeted therapy PMID: 25473895
- our study demonstrated that miR-455-RAF1 may represent a new potential therapeutic target for colorectal carcinoma treatment. PMID: 25355599
- approach identified 18 kinase and kinase-related genes whose overexpression can substitute for EGFR in EGFR-dependent PC9 cells, and these genes include seven of nine Src family kinase genes, FGFR1, FGFR2, ITK, NTRK1, NTRK2, MOS, MST1R, and RAF1. PMID: 25512530
- Aberrant expression of A-, B-, and C-RAF, and COT is frequent in PTC; increased expression of COT is correlated with recurrence of PTC. PMID: 25674762
- Authors demonstrate that the N-terminus of human Raf1 kinase (hRaf11-147aa) binds with human RKIP (hRKIP) at its ligand-binding pocket, loop "127-149", and the C-terminal helix by nuclear magnetic resonance experiments. PMID: 24863296
- Including several anti-apoptotic Bcl-2 family members and c-Raf. PMID: 24969872
- These data suggest that miR-7-5p functions as a tumor suppressor gene to regulate glioblastoma microvascular endothelial cell proliferation potentially by targeting the RAF1 oncogene PMID: 25027403
- A novel mechanism for response was discovered whereby high expression level of CAV-1 at the plasma membrane disrupts the BRaf/CRaf heterodimer and thus inhibits the activation of MAPK pathway during dasatinib treatment. PMID: 24486585
- Results show that ubiquitination and levels of RAF-1 is controlled by both Shoc2 and HUWE1. PMID: 25022756
- Raf-1/JNK /p53/p21 pathway may be involved in apoptosis, and NFkappaB1 may play a possible role in inhibiting apoptosis. PMID: 22282237
- The higher expression of RAF1 mRNA and the activation of AKT/ERK proteins in vinorelbine-resistant non-small cell lung cancer cell lines may confer resistance to vinorelbine PMID: 24427333
- analysis of RAF1 mutations in cohorts of South Indian, North Indian and Japanese patients with childhood-onset dilated cardiomyopathy PMID: 24777450
- Expression of miR-195 or knockdown of Raf-1 can similarly reduce tumor cell survival. PMID: 23760062
- We hypothesize a potential direct or indirect role for SRC, RAF1, PTK2B genes in neurotransmission and in central nervous system signaling processes. PMID: 24108181
- we identified multiple C-RAF mutations that produced biochemical and pharmacologic resistance in melanoma cell lines PMID: 23737487
- ARAF seems to stabilize BRAF:CRAF complexes in cells treated with RAF inhibitors and thereby regulate cell signaling in a subtle manner to ensure signaling efficiency PMID: 22926515
顯示更多
收起更多
-
相關疾病:Noonan syndrome 5 (NS5); LEOPARD syndrome 2 (LPRD2); Cardiomyopathy, dilated 1NN (CMD1NN)
-
亞細胞定位:Cytoplasm. Cell membrane. Mitochondrion. Nucleus. Note=Colocalizes with RGS14 and BRAF in both the cytoplasm and membranes. Phosphorylation at Ser-259 impairs its membrane accumulation. Recruited to the cell membrane by the active Ras protein. Phosphorylation at Ser-338 and Ser-339 by PAK1 is required for its mitochondrial localization. Retinoic acid-induced Ser-621 phosphorylated form of RAF1 is predominantly localized at the nucleus.
-
蛋白家族:Protein kinase superfamily, TKL Ser/Thr protein kinase family, RAF subfamily
-
組織特異性:In skeletal muscle, isoform 1 is more abundant than isoform 2.
-
數據庫鏈接:
Most popular with customers
-
-
YWHAB Recombinant Monoclonal Antibody
Applications: ELISA, WB, IHC, IF, FC
Species Reactivity: Human, Mouse, Rat
-
Phospho-YAP1 (S127) Recombinant Monoclonal Antibody
Applications: ELISA, WB, IHC
Species Reactivity: Human
-
-
-
-
-















