RALBP1 Antibody
-
中文名稱:RALBP1兔多克隆抗體
-
貨號:CSB-PA618981LA01HU
-
規格:¥440
-
圖片:
-
Western Blot
Positive WB detected in: K562 whole cell lysate, HEK293 whole cell lysate, MCF-7 whole cell lysate
All lanes: RALBP1 antibody at 4μg/ml
Secondary
Goat polyclonal to rabbit IgG at 1/50000 dilution
Predicted band size: 77 kDa
Observed band size: 77 kDa -
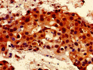
Immunohistochemistry of paraffin-embedded human breast cancer using CSB-PA618981LA01HU at dilution of 1:100
-
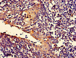
Immunohistochemistry of paraffin-embedded human tonsil tissue using CSB-PA618981LA01HU at dilution of 1:100
-
Immunofluorescent analysis of Hela cells using CSB-PA618981LA01HU at dilution of 1:100 and Alexa Fluor 488-congugated AffiniPure Goat Anti-Rabbit IgG(H+L)
-
-
其他:
產品詳情
-
產品名稱:Rabbit anti-Homo sapiens (Human) RALBP1 Polyclonal antibody
-
Uniprot No.:
-
基因名:
-
別名:RLIP1 antibody; 76 kDa Ral-interacting protein antibody; 76-kDa Ral-interacting protein antibody; Dinitrophenyl S-glutathione ATPase antibody; DNP-SG ATPase antibody; Ral-interacting protein 1 antibody; Ral-interacting protein 1, 76-KD antibody; RalA-binding protein 1 antibody; RalBP1 antibody; RBP1_HUMAN antibody; RIP1 antibody; RLIP1 antibody; RLIP76 antibody
-
宿主:Rabbit
-
反應種屬:Human
-
免疫原:Recombinant Human RalA-binding protein 1 protein (6-105AA)
-
免疫原種屬:Homo sapiens (Human)
-
標記方式:Non-conjugated
本頁面中的產品,RALBP1 Antibody (CSB-PA618981LA01HU),的標記方式是Non-conjugated。對于RALBP1 Antibody,我們還提供其他標記。見下表:
-
克隆類型:Polyclonal
-
抗體亞型:IgG
-
純化方式:>95%, Protein G purified
-
濃度:It differs from different batches. Please contact us to confirm it.
-
保存緩沖液:Preservative: 0.03% Proclin 300
Constituents: 50% Glycerol, 0.01M PBS, pH 7.4 -
產品提供形式:Liquid
-
應用范圍:ELISA, WB, IHC, IF
-
推薦稀釋比:
Application Recommended Dilution WB 1:500-1:5000 IHC 1:20-1:200 IF 1:50-1:200 -
Protocols:
-
儲存條件:Upon receipt, store at -20°C or -80°C. Avoid repeated freeze.
-
貨期:Basically, we can dispatch the products out in 1-3 working days after receiving your orders. Delivery time maybe differs from different purchasing way or location, please kindly consult your local distributors for specific delivery time.
-
用途:For Research Use Only. Not for use in diagnostic or therapeutic procedures.
相關產品
靶點詳情
-
功能:Multifunctional protein that functions as a downstream effector of RALA and RALB. As a GTPase-activating protein/GAP can inactivate CDC42 and RAC1 by stimulating their GTPase activity. As part of the Ral signaling pathway, may also regulate ligand-dependent EGF and insulin receptors-mediated endocytosis. During mitosis, may act as a scaffold protein in the phosphorylation of EPSIN/EPN1 by the mitotic kinase cyclin B-CDK1, preventing endocytosis during that phase of the cell cycle. During mitosis, also controls mitochondrial fission as an effector of RALA. Recruited to mitochondrion by RALA, acts as a scaffold to foster the mitotic kinase cyclin B-CDK1-mediated phosphorylation and activation of DNM1L.; Could also function as a primary ATP-dependent active transporter for glutathione conjugates of electrophiles. May also actively catalyze the efflux of a wide range of substrates including xenobiotics like doxorubicin (DOX) contributing to cell multidrug resistance.
-
基因功能參考文獻:
- RLIP76 plays a critical role in cellular proliferation, apoptosis, cell cycle distribution, cell movement and invasion in melanoma PMID: 28537681
- In the exons and exon-intron boundaries of ABCB5 and RLIP76 genes. PMID: 26975227
- the miR143-3p level was markedly lower in participants with ovarian cancer compared with normal control, while the expression of RALBP1 mRNA and protein were evidently overexpressed in participants with ovarian cancer compared with normal control. PMID: 27748916
- RLIP76 knockdown increased autophagic flux and apoptosis in U251 glioma cells. PMID: 27473470
- Phosphorylation level of Akt declined from 138.45+/-13.8 to 69.9+/-29.7% in SGC-7901, and from 115.5+/-26.6 to 49.07+/-27% in MGC-803 and phosphorylation level of mTOR also significantly decreased.While apoptosis of gastric cancer(GA) cells increased which we verified with apoptosis proteins and staining analysis. Our data showed that RLIP76 plays a significant oncogenic role in GC and it maybe a potential target in GC PMID: 27572296
- Anti-tumor effect was exerted when miR-124 directly targeted RLIP76, a stress-inducible transporter that plays a crucial role in the development of melanoma. PMID: 27657824
- report showed that RLIP76 expression was significantly increased in breast cancer samples and positively correlated with the malignant status of breast cancer patients; results indicated that high RLIP76 expression was associated with poor prognosis of breast cancer patients PMID: 26125275
- RLIP76 expression is induced by TNF-alpha and follows the induction kinetics of inflammation markers, suggesting that inflammation can influence RLIP76 expression at the blood brain barrier. PMID: 26406496
- RLIP76 downregulation in HT29 CRC cells suppressed cell growth, enhanced cell apoptosis, induced cell cycle arrest, and inhibited cell invasion by decreasing MMP2 expression. PMID: 25213293
- High RLIP76 expression is associated with a poor outcome of meningioma. PMID: 25993541
- results revealed that the effect of miR-101 on prostate cancer cell apoptosis was due to RLIP76 regulation of the PI3K/Akt/Bcl-2 signaling pathway PMID: 26067553
- RalBP1 protein is an independent predictor of poor survival and early relapse for CRC patients PMID: 22549157
- RLIP76 is a potential target for developing novel therapeutic strategies for leukemia PMID: 24839008
- RLIP76 is a node for Rho and Ras family signalling. [Review] PMID: 24450627
- Activation of RalBP1 during neoplastic epithelial cell transformation induces cytoplasmic accumulation of p27, this event requires p27 Ser-10 phosphorylation by protein kinase B/Akt. PMID: 23576547
- RLIP76 may suppress apoptosis and promote the proliferation of glioma cells by direct adenosine triphosphate-dependent xenobiotic transport and by activating the Rac1-JNK signaling pathway. PMID: 23276796
- p300 associates with the RLIP76 promoter via an overlapping cMYB and cETS binding site and regulates RLIP76 promoter activity and its expression. PMID: 23419874
- RalB-mediated invadopodium formation was dependent on RalBP1/RLIP76; disruption of the ATPase function of RalBP1 impaired invadopodium formation. PMID: 22331470
- The impairment of RLIP76 by aaRLIP76 can play a role in the damage of vascular cells from females, contributing to the gender-associated pathogenesis of immune-mediated vascular diseases. PMID: 21671802
- Data show that disrupting either RALA or RALBP1 leads to a loss of mitochondrial fission at mitosis, improper segregation of mitochondria during cytokinesis and a decrease in ATP levels and cell number. PMID: 21822277
- studies suggest that the expression of RalBP1 is necessary for human cancer cell metastasis; show that the requirement for RalA expression for manifestation of this phenotype is not entirely dependent on a RalA-RalBP1 interaction PMID: 21170262
- a link between RLIP76 mediated GS-E transport and cell cycle signaling are presented. PMID: 20183533
- Studies offer strong support for the hypothesis that RLIP76 is an overarching anti-apoptosis mechanism that, if inhibited, can be more broadly effective in the treatment of renal cell carcinoma. PMID: 19626587
- We have compared the transport properties of recombinant RLIP76 and human erythrocyte membrane RLIP76. PMID: 11732624
- In this review, RLIP76-mediated transport of organic ions has physiological and toxicological relevance which may play an important role in the mechanism of drug resistance. PMID: 12433796
- RLIP76 activity is a general determinant of 4HNE and DOX resistance. Its activity contributes to the drug-resistant phenotype of NSCLC. PMID: 12527936
- RLIP76 has a role in Doxorubicin transport in lung cancer PMID: 12632060
- RLIP76 has a role in triggering apoptosis in lung cancer cells and synergistically increaseing doxorubicin cytotoxicity PMID: 12632061
- RLIP/RalBP1 is used as a platform by the mitotic cdk1 to facilitate the phosphorylation of Epsin, which makes Epsin incompetent for endocytosis during mitosis, when endocytosis is switched off. PMID: 12775724
- These results show for the first time that POB1 can regulate the transport function of RLIP76 and are consistent with our previous studies showing that inhibition of RLIP76 induces apoptosis in cancer cells. PMID: 15707977
- Results identify targets in RLIP76 for phosphorylation by protein kinase C alpha, which may act as substrates for differential transport of doxorubicin. PMID: 16087181
- RLIP76 is the predominant transporter of antiepileptic drugs in the blood brain barrier and may be involved in mechanisms of drug-resistant epilepsy. PMID: 16188027
- Augmenting cellular levels of RLIP76 using purified recombinant RLIP76 increased growth rate in all cells, and restored the sensitivity of RLIP76-/- mouse embryonic fibroblasts to both inhibition through PKCalpha-depletion and stimulation through PMA. PMID: 16890208
- identify a role for caspase-8 in monocytes undergoing macrophagic differentiation, that is, the enzyme activated in an atypical complex down-regulates NF-kappaB activity through RIP1 cleavage. PMID: 17047155
- phosphoprotein mapping of Ral binding protein 1 (RalBP1/Rip1/RLIP76) PMID: 17706599
- the spatiotemporal mobilization of TICAM-1 in response to dsRNA and the formation of the TICAM-1 speckles containing RIP1 and NAP1 are important for the activation of the TLR3-TICAM-1 pathway. PMID: 17982077
- autoantibodies to RLIP76 play a pathogenetic role in immune-mediated vascular diseases PMID: 17993611
- common variants in RLIP76 are unlikely to contribute to epilepsy drug response. PMID: 18086001
- Hsf-1 causes specific and saturable inhibition of the transport activity of Ralbp1 and that the combination of Hsf-1 and POB1 causes nearly complete inhibition through specific bindings with Ralbp1. PMID: 18474607
- RLIP76 is a fundamental link between biochemical pathways and glutathione-linked metabolism of xenobiotics and stress-degense signaling pathways. PMID: 18628450
- RLIP76 serves a key effector function for survival of prostate cancer cells; depletion of RLIP76 in mice bearing xenografts of prostate cancer cells leads to near complete regression of established subcutaneous xenografts with no apparent toxic effects. PMID: 19073149
- the accumulation-deficient drug-resistance mediated by RLIP76 can be modulated by inhibition of RLIP76 transport activity by cdc2. PMID: 19375851
- RLIP76 is an anticancer for kidney cancer: inhibition of RLIP76 function by antibody or its depletion by small interfering RNA or antisense DNA causes marked regression of kidney xenografts in nude mice. PMID: 19417134
顯示更多
收起更多
-
亞細胞定位:Cell membrane; Peripheral membrane protein. Cytoplasm, cytosol. Cytoplasm, cytoskeleton, spindle pole. Nucleus. Mitochondrion.
-
組織特異性:Expressed ubiquitously but at low levels. Shows a strong expression in the erythrocytes.
-
數據庫鏈接:
Most popular with customers
-
-
YWHAB Recombinant Monoclonal Antibody
Applications: ELISA, WB, IHC, IF, FC
Species Reactivity: Human, Mouse, Rat
-
Phospho-YAP1 (S127) Recombinant Monoclonal Antibody
Applications: ELISA, WB, IHC
Species Reactivity: Human
-
-
-
-
-















