RARS2 Antibody
-
中文名稱:RARS2兔多克隆抗體
-
貨號:CSB-PA732918LA01HU
-
規格:¥440
-
圖片:
-
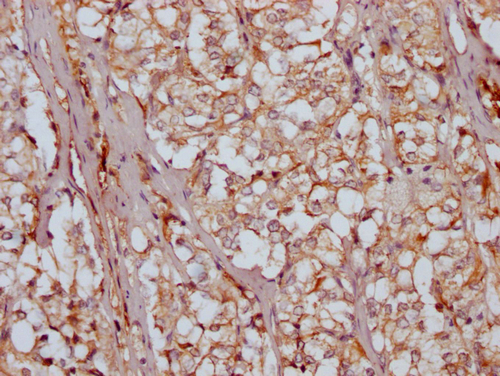
IHC image of CSB-PA732918LA01HU diluted at 1:200 and staining in paraffin-embedded human adrenal gland tissue performed on a Leica BondTM system. After dewaxing and hydration, antigen retrieval was mediated by high pressure in a citrate buffer (pH 6.0). Section was blocked with 10% normal goat serum 30min at RT. Then primary antibody (1% BSA) was incubated at 4°C overnight. The primary is detected by a Goat anti-rabbit IgG labeled by HRP and visualized using 0.05% DAB.
-
-
其他:
產品詳情
-
產品名稱:Rabbit anti-Homo sapiens (Human) RARS2 Polyclonal antibody
-
Uniprot No.:
-
基因名:RARS2
-
別名:Probable arginine--tRNA ligase, mitochondrial (EC 6.1.1.19) (Arginyl-tRNA synthetase) (ArgRS), RARS2, RARSL
-
宿主:Rabbit
-
反應種屬:Human
-
免疫原:Recombinant Human Probable arginine--tRNA ligase, mitochondrial protein (230-578aa)
-
免疫原種屬:Homo sapiens (Human)
-
標記方式:Non-conjugated
本頁面中的產品,RARS2 Antibody (CSB-PA732918LA01HU),的標記方式是Non-conjugated。對于RARS2 Antibody,我們還提供其他標記。見下表:
-
克隆類型:Polyclonal
-
抗體亞型:IgG
-
純化方式:>95%, Protein G purified
-
濃度:It differs from different batches. Please contact us to confirm it.
-
保存緩沖液:Preservative: 0.03% Proclin 300
Constituents: 50% Glycerol, 0.01M PBS, pH 7.4 -
產品提供形式:Liquid
-
應用范圍:ELISA, IHC
-
推薦稀釋比:
Application Recommended Dilution IHC 1:100-1:500 -
Protocols:
-
儲存條件:Upon receipt, store at -20°C or -80°C. Avoid repeated freeze.
-
貨期:Basically, we can dispatch the products out in 1-3 working days after receiving your orders. Delivery time maybe differs from different purchasing way or location, please kindly consult your local distributors for specific delivery time.
-
用途:For Research Use Only. Not for use in diagnostic or therapeutic procedures.
相關產品
靶點詳情
-
基因功能參考文獻:
- Characteristic neuroradiological abnormalities of PCH6 such as vermis and cerebellar hypoplasia and progressive pontocerebellar atrophy may be missing in patients with RARS2 mutations PMID: 27769281
- RARS2 gene mutations can cause a metabolic neurodegenerative disease manifesting primarily as early onset epileptic encephalopathies with post-natal microcephaly, without pontocerebellar hypoplasia. PMID: 26970947
- Mutations in the RARS2 promoter are likely to represent a new causal mechanism of pontocerebellar hypoplasia. PMID: 25809939
- Molecular investigations of RARS2 disclosed the c.25A>G/p.I9V and the c.1586+3A>T in family A. PMID: 22569581
- mutations in the gene encoding mitochondrial arginyl-tRNA synthetase, RARS2, may have a role in pontocerebellar hypoplasia type 6 [case report] PMID: 22086604
顯示更多
收起更多
-
相關疾病:Pontocerebellar hypoplasia 6 (PCH6)
-
亞細胞定位:Mitochondrion matrix.
-
蛋白家族:Class-I aminoacyl-tRNA synthetase family
-
數據庫鏈接:
Most popular with customers
-
-
YWHAB Recombinant Monoclonal Antibody
Applications: ELISA, WB, IHC, IF, FC
Species Reactivity: Human, Mouse, Rat
-
Phospho-YAP1 (S127) Recombinant Monoclonal Antibody
Applications: ELISA, WB, IHC
Species Reactivity: Human
-
-
-
-
-















