RBMS1 Antibody
-
中文名稱:RBMS1兔多克隆抗體
-
貨號:CSB-PA265034
-
規格:¥1100
-
圖片:
-
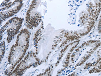
The image on the left is immunohistochemistry of paraffin-embedded Human colon cancer tissue using CSB-PA265034(RBMS1 Antibody) at dilution 1/30, on the right is treated with synthetic peptide. (Original magnification: ×200)
-
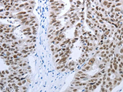
The image on the left is immunohistochemistry of paraffin-embedded Human ovarian cancer tissue using CSB-PA265034(RBMS1 Antibody) at dilution 1/30, on the right is treated with synthetic peptide. (Original magnification: ×200)
-
-
其他:
產品詳情
-
Uniprot No.:
-
基因名:
-
別名:c myc gene single strand binding protein 2 antibody; C2orf12 antibody; Cervical cancer oncogene 4 antibody; HCC 4 antibody; MSSP 2 antibody; MSSP 3 antibody; MSSP antibody; MSSP-1 antibody; MSSP-2 antibody; MSSP-3 antibody; MSSP1 antibody; RBMS1 antibody; RBMS1_HUMAN antibody; RNA binding motif; single stranded interacting protein 1 antibody; RNA-binding motif antibody; SCR2 antibody; Single stranded DNA binding protein MSSP 1 antibody; Single-stranded DNA-binding protein MSSP-1 antibody; single-stranded-interacting protein 1 antibody; suppressor of cdc 2 (cdc13) with RNA binding motif 2 antibody; Suppressor of CDC2 with RNA binding motif 2 antibody; Suppressor of CDC2 with RNA-binding motif 2 antibody; YC1 antibody
-
宿主:Rabbit
-
反應種屬:Human,Mouse,Rat
-
免疫原:Synthetic peptide of Human RBMS1
-
免疫原種屬:Homo sapiens (Human)
-
標記方式:Non-conjugated
-
抗體亞型:IgG
-
純化方式:Antigen affinity purification
-
濃度:It differs from different batches. Please contact us to confirm it.
-
保存緩沖液:-20°C, pH7.4 PBS, 0.05% NaN3, 40% Glycerol
-
產品提供形式:Liquid
-
應用范圍:ELISA,IHC
-
推薦稀釋比:
Application Recommended Dilution ELISA 1:1000-1:5000 IHC 1:25-1:100 -
Protocols:
-
儲存條件:Upon receipt, store at -20°C or -80°C. Avoid repeated freeze.
-
貨期:Basically, we can dispatch the products out in 1-3 working days after receiving your orders. Delivery time maybe differs from different purchasing way or location, please kindly consult your local distributors for specific delivery time.
-
用途:For Research Use Only. Not for use in diagnostic or therapeutic procedures.
相關產品
靶點詳情
-
功能:Single-stranded DNA binding protein that interacts with the region upstream of the MYC gene. Binds specifically to the DNA sequence motif 5'-[AT]CT[AT][AT]T-3'. Probably has a role in DNA replication.
-
基因功能參考文獻:
- study showed that RBMS1 gene rs7593730 and BCAR1 gene rs7202877 were significantly associated with type 2 diabetes in the Chinese population PMID: 30188962
-
亞細胞定位:Nucleus.
-
組織特異性:Highest amounts are found in placenta, lung and heart.
-
數據庫鏈接:
Most popular with customers
-
-
YWHAB Recombinant Monoclonal Antibody
Applications: ELISA, WB, IHC, IF, FC
Species Reactivity: Human, Mouse, Rat
-
Phospho-YAP1 (S127) Recombinant Monoclonal Antibody
Applications: ELISA, WB, IHC
Species Reactivity: Human
-
-
-
-
-















