RBPJ Antibody
-
中文名稱:RBPJ兔多克隆抗體
-
貨號:CSB-PA019486LA01HU
-
規格:¥440
-
圖片:
-
Western Blot
Positive WB detected in: Hela whole cell lysate, MCF-7 whole cell lysate, HEK293 whole cell lysate, Mouse kidney tissue
All lanes: RBPJ antibody at 3.5μg/ml
Secondary
Goat polyclonal to rabbit IgG at 1/50000 dilution
Predicted band size: 56, 48, 46, 55, 52 kDa
Observed band size: 56, 55 kDa -
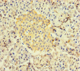
Immunohistochemistry of paraffin-embedded human pancreatic tissue using CSB-PA019486LA01HU at dilution of 1:100
-
Immunofluorescent analysis of Hela cells using CSB-PA019486LA01HU at dilution of 1:100 and Alexa Fluor 488-congugated AffiniPure Goat Anti-Rabbit IgG(H+L)
-
-
其他:
產品詳情
-
產品名稱:Rabbit anti-Homo sapiens (Human) RBPJ Polyclonal antibody
-
Uniprot No.:
-
基因名:
-
別名:AI843960 antibody; AOS3 antibody; CBF 1 antibody; CBF-1 antibody; CBF1 antibody; csl antibody; IGKJRB antibody; IGKJRB1 antibody; J kappa recombination signal binding protein antibody; J kappa-recombination signal-binding protein antibody; KBF2 antibody; NY REN 30 antigen antibody; RBP J antibody; RBP J kappa antibody; RBP JK antibody; RBP-J antibody; RBP-J kappa antibody; RBP-JK antibody; Rbpj antibody; RBPJK antibody; RBPSUH antibody; recombination signal binding protein for immunoglobulin kappa J region antibody; Recombining binding protein suppressor of hairless antibody; Renal carcinoma antigen NY-REN-30 antibody; SUH antibody; SUH_HUMAN antibody
-
宿主:Rabbit
-
反應種屬:Human, Mouse
-
免疫原:Recombinant Human Recombining binding protein suppressor of hairless protein (243-485AA)
-
免疫原種屬:Homo sapiens (Human)
-
標記方式:Non-conjugated
本頁面中的產品,RBPJ Antibody (CSB-PA019486LA01HU),的標記方式是Non-conjugated。對于RBPJ Antibody,我們還提供其他標記。見下表:
-
克隆類型:Polyclonal
-
抗體亞型:IgG
-
純化方式:>95%, Protein G purified
-
濃度:It differs from different batches. Please contact us to confirm it.
-
保存緩沖液:Preservative: 0.03% Proclin 300
Constituents: 50% Glycerol, 0.01M PBS, PH 7.4 -
產品提供形式:Liquid
-
應用范圍:ELISA, WB, IHC, IF
-
推薦稀釋比:
Application Recommended Dilution WB 1:2000-1:5000 IHC 1:20-1:200 IF 1:50-1:200 -
Protocols:
-
儲存條件:Upon receipt, store at -20°C or -80°C. Avoid repeated freeze.
-
貨期:Basically, we can dispatch the products out in 1-3 working days after receiving your orders. Delivery time maybe differs from different purchasing way or location, please kindly consult your local distributors for specific delivery time.
-
用途:For Research Use Only. Not for use in diagnostic or therapeutic procedures.
相關產品
靶點詳情
-
功能:Transcriptional regulator that plays a central role in Notch signaling, a signaling pathway involved in cell-cell communication that regulates a broad spectrum of cell-fate determinations. Acts as a transcriptional repressor when it is not associated with Notch proteins. When associated with some NICD product of Notch proteins (Notch intracellular domain), it acts as a transcriptional activator that activates transcription of Notch target genes. Probably represses or activates transcription via the recruitment of chromatin remodeling complexes containing histone deacetylase or histone acetylase proteins, respectively. Specifically binds to the immunoglobulin kappa-type J segment recombination signal sequence. Binds specifically to methylated DNA. Binds to the oxygen responsive element of COX4I2 and activates its transcription under hypoxia conditions (4% oxygen). Negatively regulates the phagocyte oxidative burst in response to bacterial infection by repressing transcription of NADPH oxidase subunits.
-
基因功能參考文獻:
- this report tried to address the molecular basis for the direct interaction between CSL and SMRT. PMID: 30157580
- Variants rs2270226 and rs2077777 in the RBPJ gene were associated with the risk of cerebral infarction diseases in the Chinese Han population. PMID: 30075508
- RBPJ and MAML3 could be new therapeutic targets for SCLC. PMID: 30061220
- The ULK3 Kinase Is Critical for Convergent Control of Cancer-Associated Fibroblast Activation by CSL and GLI PMID: 28877478
- Notch1 signaling plays an important role in the maintenance of the cancer stem-like phenotype in diffuse type gastric cancer through an RBP-Jkappa dependent pathway; inhibiting Notch1 signaling could be an effective therapy against CD133 positive diffuse type gastric cancers PMID: 27489358
- We show that GIT1, which also contains an ANK domain, inhibits the Notch1-Dll4 signaling pathway by competing with Notch1 ANK domain for binding to RBP-J in stalk cells PMID: 27926858
- RBPJ interacts with L3MBTL3 to promote repression of Notch signaling via histone demethylase KDM1A. PMID: 29030483
- RBPJ links MYC and transcriptional control through CDK9 in brain tumors, providing potential nodes of fragility for therapeutic intervention, potentially distinct from NOTCH PMID: 27322055
- Mean CBF1 expression is significantly increased in isocitrate dehydrogenase 1 (IDH1) R132H mutant glioblastoma. Hypoxic regions of glioblastoma have higher CBF1 activation and exposure to low oxygen can induce its expression in glioma cells in vitro. PMID: 28571041
- structural and biophysical studies demonstrate that RITA binds RBP-J similarly to the RAM (RBP-J-associated molecule) domain of Notch, our biochemical and cellular assays suggest that RITA interacts with additional regions in RBP-J. PMID: 28487372
- The present findings indicate that p53, in turn, decreases CSL expression, which can serve to enhance p53 activity in acute DNA damage response of cells. PMID: 27163456
- RBP-J mediated by miR-133a probably contributed to the regulation of DCs maturation and activation in osteosarcoma PMID: 27794430
- These results suggest that PSK suppresses Hedgehog signaling through down-regulation of MAML3 and RBPJ transcription under hypoxia, inhibiting the induction of a malignant phenotype in pancreatic cancer. Our results may lead to development of new treatments for refractory pancreatic cancer using PSK as a Hedgehog inhibitor PMID: 27466498
- our findings reconcile the 2 biological events and point to a multistep process of CAF activation under convergent CSL and p53 control. Activation of p53 provides a failsafe mechanism against consequences of compromised CSL activity in stromal cells. PMID: 26735629
- RBPJ polymorphism [rs874040(CC) allele] skews memory T cells toward a pro-inflammatory phenotype involving Notch signaling, thus increasing the susceptibility to develop rheumatoid arthritis. PMID: 26604133
- The role of CSL-dependent and independent Notch signaling pathways in cell apoptosis is described in normal tissue homeostasis and in tumorigenesis. (Review) PMID: 26496776
- These results support a model in which EBNA2 and EBNA3s compete for distinct subsets of RBPJ sites to regulate cell genes and where EBNA3 subset specificity is determined by interactions with other cell transcription factors. PMID: 26719268
- Suggest that hypoxia promotes SMO transcription through upregulation of MAML3 and RBPJ to induce proliferation, invasiveness and tumorigenesis in pancreatic cancer. PMID: 26655998
- data suggest that shRNA intervention of RBPJ expression could be a promising therapeutic approach for treating human prostate cancer PMID: 26202358
- Cancer-associated fibroblast activation-stromal co-evolution is under convergent CSL-p53 control. PMID: 26302407
- Single nucleotide polymorphisms in RBPJ, IL1R1, REV3L, TRAF3IP2, IRF1 and ICOS showed association with rheumatoid arthritis in black South Africans. PMID: 25014791
- missense mutations and frameshift deletions identified in leukemia patients PMID: 24549417
- Our data thus suggest that shRNA intervention of RBPJ expression could be a promising therapeutic approach for treating human lung cancer. PMID: 25589461
- RBP-J-interacting and tubulin-associated (RITA) mediates the nuclear export of RBP-J to tubulin fibers and downregulates Notch-mediated transcription. PMID: 25445601
- Data indicate that RBPJ protein depletion induces Notch target genes in a Notch-independent fashion. PMID: 25512468
- DNA methylation-dependent binding of RBPJ to a GC repressor element can negatively regulate smooth muscl myosin heavy chain promoter activity and can inhibit marker gene expression in phenotypically modulated cells PMID: 25324571
- Data suggest that, in B-lymphocytes infected with Epstein-Barr virus (EBV), EBNA3A (EBV nuclear antigen 3A) binds to CBF1-occupied intergenic enhancers located between CXCL10 and CXCL9 and displaces the transactivator EBNA2. PMID: 24068939
- KAP1, RBP-Jkappa, and HIF-1alpha play an essential role in KSHV pathogenesis. PMID: 24696491
- CBF1/CSL acts as a global hub which is used by the virus to coordinate the lytic cascade. PMID: 23696732
- Data indicate that cAMP activates Notch signaling and increases the expression of recombinant recognition sequence binding protein at the Jkappa site (RBP-J) and transducin-like enhancer of Split (TLE). PMID: 23775085
- Authors report that human papillomavirus type 8 E6 subverts NOTCH activation during keratinocyte differentiation by inhibiting RBPJ/MAML1 transcriptional activator complexes at NOTCH target DNA. PMID: 23365452
- RBPJ regulates rhabdomyosarcoma growth. PMID: 22792167
- Characterization of CSL (CBF-1, Su(H), Lag-1) mutants reveals differences in signaling mediated by Notch1 and Notch2. PMID: 22915591
- Unique mutations in RBPJ lead to impaired DNA binding in cases of Adams-Oliver syndrome. PMID: 22883147
- results indicate that PS2 modulates the degradation of RBP-Jk through phosphorylation by p38 MAPK. PMID: 22302987
- Three consensus RBP-Jkappa-binding sites found in the ORF46 promoter are critical for the binding of RBP-Jkappa protein and conferring the ORF50 responsiveness. PMID: 22366521
- Association of CSL with NICD exerts remarkably little effect on the exchange kinetics of the ANK domain, whereas MAML1 binding greatly retards the exchange kinetics of ANK repeats 2-3. PMID: 22325781
- Bacterial translocation is evident in the colonic mucosa of transgenic RBP-J(DeltaIEC) mice before the onset of colitis, suggesting attenuated epithelial barrier functions in these mice. PMID: 22279105
- RBP-Jkappa binding sites within the RTA promoter regulate KSHV latent infection and cell proliferation. PMID: 22253595
- RBP-J binds methylated DNA in the context of a mutated RBP-J consensus motif. PMID: 21991380
- DNA binding and tetramerization mutants of Rta fail to stimulate RBP-Jk binding to Kaposi's sarcoma-associated herpesvirus DNA. PMID: 21880753
- there is a conserved network of cis-regulatory factors that interacts with Notch1 to regulate gene expression in TLL cells, as well as unique classes of divergent RBPJ-only sites that also likely regulate transcription PMID: 21737748
- Collectively, our results demonstrate that APP intracellular domain functions as a negative regulator in Notch1 signaling through the promotion of Notch1 and RBP-Jk protein degradation PMID: 21558417
- The RBP-Jkappa binding site within the KSHV LANA promoter is crucial for HHV8 latency during early primary infection. PMID: 21507979
- These results indicate that EBNA3 proteins interact with multiple RBP/CSL domains, but only N-terminal domain interactions are required for lymphoblastoid cell line growth. PMID: 21440926
- data strongly support a model in which EBNA2 association with NCoR-deficient RBPJ enhances transcription and EBNALP dismisses NCoR and RBPJ repressive complexes from enhancers PMID: 21518914
- Notch target gene activator RBP-J kappa transgene plays no role in Notch target gene repression in Ikaros double-positive thymocytes during leukemia development. PMID: 20511547
- mechanism by which the PhiW PhiP motif of RAM and EBNA2 compete with one another for binding at the hydrophobic pocket of the beta-trefoil domain (BTD) of CSL using overlapping but specific interactions that are unique to each BTD ligand. PMID: 20028974
- Studies indicate that the mechanisms that lead to Notch activity in the receiving cell include the cleavage of Notch at the cell membrane and the assembly of a nuclear complex with the transcription factors CSL. PMID: 19247952
- The interactions of RBPJ with ORF47 and ORF50 human herpesvirus 8 proteins in transactivation are reported. PMID: 20006367
顯示更多
收起更多
-
相關疾病:Adams-Oliver syndrome 3 (AOS3)
-
亞細胞定位:Nucleus. Cytoplasm. Note=Mainly nuclear, upon interaction with RITA/C12orf52, translocates to the cytoplasm, down-regulating the Notch signaling pathway.
-
蛋白家族:Su(H) family
-
數據庫鏈接:
Most popular with customers
-
-
YWHAB Recombinant Monoclonal Antibody
Applications: ELISA, WB, IHC, IF, FC
Species Reactivity: Human, Mouse, Rat
-
Phospho-YAP1 (S127) Recombinant Monoclonal Antibody
Applications: ELISA, WB, IHC
Species Reactivity: Human
-
-
-
-
-















