RECK Antibody
-
中文名稱:RECK兔多克隆抗體
-
貨號:CSB-PA019536LA01HU
-
規格:¥440
-
圖片:
-
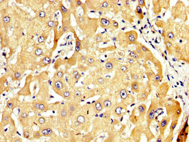
IHC image of CSB-PA019536LA01HU diluted at 1:300 and staining in paraffin-embedded human liver tissue performed on a Leica BondTM system. After dewaxing and hydration, antigen retrieval was mediated by high pressure in a citrate buffer (pH 6.0). Section was blocked with 10% normal goat serum 30min at RT. Then primary antibody (1% BSA) was incubated at 4°C overnight. The primary is detected by a biotinylated secondary antibody and visualized using an HRP conjugated SP system.
-
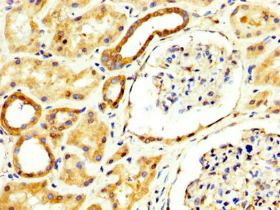
IHC image of CSB-PA019536LA01HU diluted at 1:300 and staining in paraffin-embedded human kidney tissue performed on a Leica BondTM system. After dewaxing and hydration, antigen retrieval was mediated by high pressure in a citrate buffer (pH 6.0). Section was blocked with 10% normal goat serum 30min at RT. Then primary antibody (1% BSA) was incubated at 4°C overnight. The primary is detected by a biotinylated secondary antibody and visualized using an HRP conjugated SP system.
-
Immunofluorescence staining of HepG2 cells with CSB-PA019536LA01HU at 1:100, counter-stained with DAPI. The cells were fixed in 4% formaldehyde, permeabilized using 0.2% Triton X-100 and blocked in 10% normal Goat Serum. The cells were then incubated with the antibody overnight at 4°C. The secondary antibody was Alexa Fluor 488-congugated AffiniPure Goat Anti-Rabbit IgG(H+L).
-
-
其他:
產品詳情
-
產品描述:
The RECK antibody was produced in a rabbit with the recombinant human RECK protein (23-212aa) immunized. It reacts specifically with the human RECK protein. This RECK antibody was protein G-purified to at least 95% purity. Its specificity and reliability have been tested in ELISA, IHC, and IF applications.
The RECK protein acts as a natural inhibitor of matrix metalloproteinases (MMPs), helping to prevent excessive extracellular matrix (ECM) breakdown and maintaining tissue integrity. RECK protein has also been implicated in other cellular processes, including cell migration, proliferation, and apoptosis. Dysregulation of RECK expression has been associated with various pathological conditions, including cancer, inflammation, and fibrosis.
-
產品名稱:Rabbit anti-Homo sapiens (Human) RECK Polyclonal antibody
-
Uniprot No.:
-
基因名:RECK
-
別名:hRECK antibody; Membrane anchored glycoprotein (metastasis and invasion) antibody; RECK antibody; RECK protein antibody; RECK_HUMAN antibody; Reversion inducing cysteine rich protein with Kazal motifs antibody; Reversion-inducing cysteine-rich protein with Kazal motifs antibody; ST15 antibody; Suppression of tumorigenicity 15 (reversion inducing cysteine rich protein with kazal motifs) antibody; Suppressor of tumorigenicity 15 antibody; Suppressor of tumorigenicity 15 protein antibody
-
宿主:Rabbit
-
反應種屬:Human
-
免疫原:Recombinant Human Reversion-inducing cysteine-rich protein with Kazal motifs protein (23-212AA)
-
免疫原種屬:Homo sapiens (Human)
-
標記方式:Non-conjugated
本頁面中的產品,RECK Antibody (CSB-PA019536LA01HU),的標記方式是Non-conjugated。對于RECK Antibody,我們還提供其他標記。見下表:
-
克隆類型:Polyclonal
-
抗體亞型:IgG
-
純化方式:>95%, Protein G purified
-
濃度:It differs from different batches. Please contact us to confirm it.
-
保存緩沖液:Preservative: 0.03% Proclin 300
Constituents: 50% Glycerol, 0.01M PBS, pH 7.4 -
產品提供形式:Liquid
-
應用范圍:ELISA, IHC, IF
-
推薦稀釋比:
Application Recommended Dilution IHC 1:200-1:500 IF 1:50-1:200 -
Protocols:
-
儲存條件:Upon receipt, store at -20°C or -80°C. Avoid repeated freeze.
-
貨期:Basically, we can dispatch the products out in 1-3 working days after receiving your orders. Delivery time maybe differs from different purchasing way or location, please kindly consult your local distributors for specific delivery time.
-
用途:For Research Use Only. Not for use in diagnostic or therapeutic procedures.
相關產品
靶點詳情
-
功能:Functions together with ADGRA2 to enable brain endothelial cells to selectively respond to Wnt7 signals (WNT7A or WNT7B). Plays a key role in Wnt7-specific responses: required for central nervous system (CNS) angiogenesis and blood-brain barrier regulation. Acts as a Wnt7-specific coactivator of canonical Wnt signaling by decoding Wnt ligands: acts by interacting specifically with the disordered linker region of Wnt7, thereby conferring ligand selectivity for Wnt7. ADGRA2 is then required to deliver RECK-bound Wnt7 to frizzled by assembling a higher-order RECK-ADGRA2-Fzd-LRP5-LRP6 complex. Also acts as a serine protease inhibitor: negatively regulates matrix metalloproteinase-9 (MMP9) by suppressing MMP9 secretion and by direct inhibition of its enzymatic activity. Also inhibits metalloproteinase activity of MMP2 and MMP14 (MT1-MMP).
-
基因功能參考文獻:
- Results report that the expression of RECK is significantly lower in cervical cancer cells than in normal cells. The relative protein expression levels of p53 signaling (p21 and Bax) were significantly elevated when RECK was upregulated, suggesting that the overexpression of RECK could promote the activation of p53 signaling pathway. PMID: 29064588
- overexpressed in trophoblasts from preeclampsia PMID: 29108633
- The expression of RECK was inhibited by the transfection of miR-96 mimics. RECK mRNA level was reduced by miR-96 mimics and increased by miR-96 inhibitor. In the invasion assay, miR-96 mimics were shown to promote tumor invasion. PMID: 29599320
- Results suggested that some paracrine substances produced by 786-0 cells may reduce RECK expression of adjacent HMEC-1 cells and enhance their proliferation and in vitro angiogenic capacity. PMID: 28561419
- RECK gene polymorphisms were closely associated with active proliferation, capsular invasion, and clinical recurrence of ameloblastoma. PMID: 28340422
- Collectively, these results demonstrated that IL-32alpha upregulates the atheroprotective genes Timp3 and Reck by downregulating microRNA-205 through regulation of the Rprd2-Dgcr8/Ddx5-Dicer1 biogenesis pathway. PMID: 28740544
- RECK CpG methylation pattern may predict prognosis and drug-sensitivity of breast cancers. PMID: 27058625
- The expression of RECK in human healthy and diseased gingiva may contribute to periodontal physiological and pathological processes; low RECK expression may be associated with the enhanced MMP-2 and MMP-9 production in inflamed gingiva. PMID: 28043014
- the RECK gene polymorphism influences molecular carcinogenesis and clinic pathological features of hepatocellular carcinoma within the Egyptian population PMID: 26921475
- Reversion-inducing, cysteine-rich protein with kazal motifs (RECK) was identified as the direct and functional target of miR-92b in osteosarcoma PMID: 26993249
- RECK expression in uterine leiomyoma is negatively regulated by miR-15b. PMID: 27530410
- RECK could regulate the expressions of MMP-2, 9 and MT1-MMP as a cell surface-signaling molecule. Authors propose that RECK may play an important role in regulating MMPs in the ECM degradation of periodontal diseases. PMID: 27272560
- Low expression of RECK is associated with oral cancer. PMID: 27696293
- RECK Gene Promoter rs10814325 Polymorphism is associated with metastasis in Hepatocellular Carcinoma PMID: 27268601
- the aim of this study was to analyze the effect of RECK gene rs 11788747 single nucleotide polymorphism (SNP) on hepatocellular carcinoma (HCC) susceptibility. PMID: 25278269
- Findings suggest that RECK transcript variants might have opposite roles in GBM biology and the ratio of their expression levels may be informative for the prognostic outcome of GBM patients. PMID: 26431549
- miR-21 has a role in upregulating PTEN, RECK and PDCD4 in glioma PMID: 26284486
- RECK is a regulator of hMSC functions suggesting that modulation of RECK may improve the development of hMSC-based therapeutical approaches in regenerative medicine. PMID: 26459448
- MMP-9/RECK imbalance in cervical smears is significantly associated with high-grade cervical diseases and infection by alpha-9 HPV and C. trachomatis. PMID: 26261088
- RECK is not an independent prognostic marker for breast cancer PMID: 26449734
- miR-221/miR-222-RECK axis might be an important path modulating H. pylori infection-related gastric cancer development PMID: 26364844
- Expression of RECK is associated with the incidence of restenosis after vascular angioplasty. RECK may be induced as a part of the intrinsic defense mechanism against restenosis. PMID: 26004948
- This downregulation of RECK in advanced grades of osteosarcoma and metastatic grades was also associated with the increased expression of invadosome-specific markers like MMP9 PMID: 26130413
- present data indicate that there is a significant association between mutant G of rs11788747 in RECK and WT risk PMID: 26141647
- D90 significantly inhibited the invasion and metastasis of OSCC cells by decreasing the expression of sp1 and increasing the expression of RECK to suppress the expression and activity of MMP-2 and MMP-9. PMID: 25877754
- Loss of RECK expression is associated with metastasis in Hepatoblastoma and Neuroblastoma. PMID: 25987077
- Notably, miR-21 regulated the potential anticancer effects of icariin on cell proliferation and apoptosis by targeting PTEN, RECK and Bcl-2 in the ovarian cancer A2780 cells PMID: 25845681
- RECK promoter activity is suppressed when RbAp46 binds to it and is involved in experimental lung metastasis. PMID: 25885317
- microRNA-200b and microRNA-200c promote colorectal cancer cell proliferation via targeting RECK. PMID: 25826661
- Association between RECK single nucleotide polymorphism and risk of hepatocellular carcinoma in the Han Chinese population PMID: 25412941
- The loss of E-cadherin expression is uncoupled from RECK-upregulation in carcinoma-derived cell lines. PMID: 24691523
- RECK was identified as a target of miR-96 and RECK overexpression abrogates the growth of esophageal cancer cells. PMID: 25465153
- demonstrate that RECK contributes to GA's anti-invasive activity and provide new evidence for GA being served as a therapeutic candidate for cancer metastasis PMID: 24532189
- Suggest that upregulation of miR-374b-5p contributes to gastric cancer cell metastasis and invasion through inhibition of RECK expression. PMID: 25516656
- no association between the RECK polymorphism and chemotherapy response status in non-small-cell lung cancer in Chinese cohort PMID: 24510537
- MiR-25 promotes cell proliferation by targeting RECK in human cervical carcinoma. PMID: 25575057
- A decrease in SPRY2 and RECK expression by nickel-induced miR-21 may promote invasiveness in lung cancer cells. PMID: 26026961
- These findings suggest that immunohistochemical staining for RECK could be useful in the differential diagnosis between CMM and BMN. PMID: 26026078
- RECK controls this angiogenic rheostat through a novel complex with cell surface receptors to regulate STAT3 activation PMID: 24931164
- these findings suggest that dysregulations of RECK and RAGE expressions may be collectively involved in tumor progression of nasopharyngeal carcinoma by regulating MMP9 expression PMID: 25031745
- There was weaker immunohistochemical expression of RECK protein in placental membranes of women with histologic chorioamnionitis compared to control subjects (P=0.0498). PMID: 24227542
- the data show that miR-200c expression sensitizes H460 cells to resveratrol and this is likely due to RECK expression. PMID: 24647918
- Our data suggest that miR-96 might promote the growth and motility of NSCLC cells partially by targeting RECK. PMID: 24469470
- Data indicate a consistent correlation between RECK, MT1MMP, and TIMP2 across different models of clinical samples and cell lines and suggest evidence of the potential use of this subset of genes as a gene signature for diagnosing melanoma. PMID: 24335752
- MiR-92b may promote nonsmall cell lung cancer cell growth and motility partially by inhibiting RECK. PMID: 24162673
- miR-96 promotes cellular proliferation, migration and invasion of MDA-MB-231 cells, at least in part, by targeting RECK. PMID: 24366472
- propose RECK down regulation in renal cell carcinoma to be an early event that facilitates tumor formation and progression PMID: 24131772
- miR-25 might promote gastric cancer cell growth and motility partially by targeting RECK. PMID: 24078004
- Data show that miR-221 is an oncogenic miRNA which may regulate colorectal cancer (CRC) migration and invasion through targeting RECK. PMID: 24269686
- Data indicate that reversion-inducing-cysteine-rich protein with Kazal motifs (RECK) methylation was associated with clinical stage, histological differentiation and lymph node metastasis, but was not associated with gender, age, and tumor location. PMID: 23749490
顯示更多
收起更多
-
亞細胞定位:Cell membrane; Lipid-anchor, GPI-anchor.
-
組織特異性:Expressed in various tissues and untransformed cells. It is undetectable in tumor-derived cell lines and oncogenically transformed cells.
-
數據庫鏈接:
Most popular with customers
-
-
YWHAB Recombinant Monoclonal Antibody
Applications: ELISA, WB, IHC, IF, FC
Species Reactivity: Human, Mouse, Rat
-
Phospho-YAP1 (S127) Recombinant Monoclonal Antibody
Applications: ELISA, WB, IHC
Species Reactivity: Human
-
-
-
-
-















