REG4 Antibody
-
中文名稱:REG4兔多克隆抗體
-
貨號:CSB-PA887169LA01HU
-
規格:¥440
-
圖片:
-
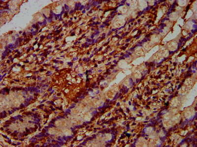
IHC image of CSB-PA887169LA01HU diluted at 1:400 and staining in paraffin-embedded human small intestine tissue performed on a Leica BondTM system. After dewaxing and hydration, antigen retrieval was mediated by high pressure in a citrate buffer (pH 6.0). Section was blocked with 10% normal goat serum 30min at RT. Then primary antibody (1% BSA) was incubated at 4°C overnight. The primary is detected by a biotinylated secondary antibody and visualized using an HRP conjugated SP system.
-
IHC image of CSB-PA887169LA01HU diluted at 1:400 and staining in paraffin-embedded human colon cancer performed on a Leica BondTM system. After dewaxing and hydration, antigen retrieval was mediated by high pressure in a citrate buffer (pH 6.0). Section was blocked with 10% normal goat serum 30min at RT. Then primary antibody (1% BSA) was incubated at 4°C overnight. The primary is detected by a biotinylated secondary antibody and visualized using an HRP conjugated SP system.
-
-
其他:
產品詳情
-
產品名稱:Rabbit anti-Homo sapiens (Human) REG4 Polyclonal antibody
-
Uniprot No.:
-
基因名:REG4
-
別名:Gastrointestinal secretory protein antibody; GISP antibody; Reg IV antibody; REG like protein antibody; REG-4 antibody; REG-like protein antibody; Reg4 antibody; REG4_HUMAN antibody; Regenerating gene type IV antibody; Regenerating islet derived family member 4 antibody; Regenerating islet derived protein 4 precursor antibody; Regenerating islet-derived protein 4 antibody; Regenerating islet-derived protein IV antibody; REGIV antibody; RELP antibody
-
宿主:Rabbit
-
反應種屬:Human
-
免疫原:Recombinant Human Regenerating islet-derived protein 4 protein (27-148AA)
-
免疫原種屬:Homo sapiens (Human)
-
標記方式:Non-conjugated
本頁面中的產品,REG4 Antibody (CSB-PA887169LA01HU),的標記方式是Non-conjugated。對于REG4 Antibody,我們還提供其他標記。見下表:
-
克隆類型:Polyclonal
-
抗體亞型:IgG
-
純化方式:>95%, Protein G purified
-
濃度:It differs from different batches. Please contact us to confirm it.
-
保存緩沖液:Preservative: 0.03% Proclin 300
Constituents: 50% Glycerol, 0.01M PBS, pH 7.4 -
產品提供形式:Liquid
-
應用范圍:ELISA, IHC
-
推薦稀釋比:
Application Recommended Dilution IHC 1:200-1:500 -
Protocols:
-
儲存條件:Upon receipt, store at -20°C or -80°C. Avoid repeated freeze.
-
貨期:Basically, we can dispatch the products out in 1-3 working days after receiving your orders. Delivery time maybe differs from different purchasing way or location, please kindly consult your local distributors for specific delivery time.
-
用途:For Research Use Only. Not for use in diagnostic or therapeutic procedures.
相關產品
靶點詳情
-
功能:Calcium-independent lectin displaying mannose-binding specificity and able to maintain carbohydrate recognition activity in an acidic environment. May be involved in inflammatory and metaplastic responses of the gastrointestinal epithelium.
-
基因功能參考文獻:
- Our study demonstrated that Reg IV positively regulates the expression of SOX9 and is involved in tumor cell invasion and migration in gastric cancer. PMID: 29587675
- Reg4 inhibited apoptosis through regulating MAPK/Erk/Bim signaling pathway and thereby enhanced the resistance of gastric cancer to 5-Fluorouracil. PMID: 28759561
- Data indicate that REG4 tissue expression is a prognostic marker in subgroups of pancreatic ductal adenocarcinoma patients, and Serum REG4 level might be useful in differential diagnosis between pancreatic ductal adenocarcinoma and chronic pancreatitis. PMID: 29542402
- REG4 promotes peritoneal metastasis of gastric cancer through GPR37 and triggers a positive feedback loop. PMID: 27036049
- Study demonstrated that REG4, which is overexpressed in pancreatic ductal adenocarcinoma and secreted by cancer cells, promoted macrophage polarization to M2, through at least in part, activation of ERK1/2 and CREB. PMID: 26531138
- REG4 is a transcriptional target of GATA6 and is essential for colorectal tumorigenesis. PMID: 26387746
- This study identifies REG4 as a potential serum biomarker for histotype-specific detection of mucinous ovarian cancer and suggests serum REG4 measurement as a non-invasive diagnostic tool for follow-up of patients with mucinous ovarian cancer. PMID: 26981633
- aberrant REG4 expression plays an essential role in early ovarian carcinogenesis and is closely linked to mucinous ovarian tumors, differentiation and adverse prognosis of ovarian cancer by modulating proliferation, apoptosis, migration and invasion. PMID: 26077911
- REG4 expression associated with favorable clinicopathological parameters and with higher overall survival from non-mucinous PMID: 25295732
- The Reg IV may be involved in the finetuning of functions exerted by the neuroendocrine cells in the GI-tract. PMID: 23499801
- Colorectal tumor patients with Reg4- and MMP-7-positive tumors had extremely poor overall survival. PMID: 25338725
- High expression of REG4 is associated with poor therapeutic response, adverse outcome and an aggressive phenotype in rectal cancer patients treated with neoadjuvant chemoradiotherapy. PMID: 25155043
- miR-24 functions as a novel tumor suppressor in gastric cancer, and the anti-oncogenic activity may involve its inhibition of the target gene REG4. PMID: 24886316
- REG4 expression is common in mucinous borderline ovarian tumors of the intestinal type as it is absent in the endocervical-like form tumors. PMID: 23958547
- the combination of VEGF-C and Reg IV may be a promising factor for clinical staging to supplement the classical TNM classification system. PMID: 24101199
- the stemness properties of control mammospheres and RegIV knockdown mammospheres were compared by tumourigenicity assay in vivo and plate colony formation assay in vitro. PMID: 24064664
- Reg4-induced mitogenesis involves Akt-GSK3beta-beta-Catenin-TCF-4 signaling in human colorectal cancer. PMID: 24151146
- Immunohistochemistry against known cell-type markers on serial sections has localised the expression of REGs to metaplastic Paneth cells (REG1A, REG1B and REG3A) and enteroendocrine cells (REG4), with a marked expansion of expression during inflammation. PMID: 23519454
- CDX2 protein directly regulates Reg IV expression in gastric cancer PMID: 23133598
- RegIV may play an important role in the intrinsic resistance of gastric cancer cells to 5-FU. PMID: 23010741
- Suggest that Reg IV might accelerate disease progression and act as a candidate prognostic marker for gliomas. PMID: 22713481
- REG4 promotes not only growth but also in vitro invasiveness of pancreatic cancer cells by upregulating MMP-7 and MMP-9. PMID: 22957785
- TGF-beta signalling reduces the expression of ALDH1 and REG4, and the size of the ALDH1+ cell population. PMID: 22430847
- Knockdown of Reg IV impacted the ability of insulin and EGF to stimulate downstream tyrosine phosphorylation. PMID: 21445968
- REG4, BIRC5 and NEIL2 genes might have a role in the sensitivity of cancer patients to radiotherapy PMID: 22199273
- Overexpression of REGIV mRNA is assessed with peritoneal recurrence in gastric adenocarcinoma. PMID: 21780125
- REG4 may be a prognostic indicator and a better serum marker than carcinoembryonic antigen and carbohydrate antigen 19-9 for early diagnosis of gastric cancer. PMID: 21419474
- GLI1 promotes RegIV transcription by binding to the RegIV gene promoter in pancreatic cancer. PMID: 21494603
- The solution structure of hRegIV-P91S was determined, showing that it adopts a typical fold of C-type lectin. Based on the chemical shift perturbations of amide resonances, two calcium-independent mannan-binding sites were proposed PMID: 20692269
- REG4 may play an important role in the development and progression of colorectal cancer, as well as in intestinal morphogenesis and epithelium restitution PMID: 20126989
- RegIV is expressed in the gastrointestinal tract and in digestive tract neuroendocrine tumor PMID: 20349522
- REG IV overexpression may be an early event in colorectal carcinoma carcinogenesis. PMID: 20183800
- RegIV enhances LoVo cell migration and invasion, and its CRD domain is critical for these effects. PMID: 20417867
- REG4 is expressed in pancreatic cancer, and serum levels of REG4 offer a useful indicator for distinguishing between patients with pancreatic cancer and healthy subjects PMID: 19789838
- Reg IV as an important modulator of gastrointestinal cell susceptibility to irradiation; hence, it is a potential target for adjunctive treatments for human colorectal cancer and other gastrointestinal malignancies. PMID: 19900450
- reg4 is amplified in the early stages of pancreatic cancer development PMID: 19834624
- Data demonstrated in vitro and in vivo that REG4 protein overexpression was associated with an unfavorable response to preoperative chemoradiotherapy. PMID: 19546835
- Local Reg IV expression may be influenced by the growth factors basic fibroblast growth factor and somatotropin and dtheri receptors PMID: 19924642
- Results suggest that RELP might be involved in inflammatory and metaplastic responses of the gastrointestinal epithelium. PMID: 12819006
- overexpression of Reg IV may be an early event in colorectal carcinogenesis. PMID: 14550954
- Increased expression of Reg IV is associated wirh hormone refractory metastatic prostate cancer PMID: 15788672
- RELP serves as a marker for appendiceal mucinous cystadenomas and pseudomyxoma peritonei and may contribute to the pathogenesis of these disorders. PMID: 16323007
- Reg IV is a potent activator of the EGF receptor/Akt/AP-1 signaling pathway in colorectal carcinoma PMID: 16401477
- Overexpression of REG4 is associated with pancreatic cancer PMID: 16918991
- serum Reg IV concentration may predict metastatic recurrence of colorectal cancer in the liver.Reg IV protein expression induced by growth factors may function as a growth-promoting and/or an antiapoptotic factor in the peritumoral mucosa of CRC. PMID: 18187959
- RegIV expression was markedly higher in gastric cancer patients with peritoneal metastases compared to those without; level of RegIV mRNA in gastric cancer patients was related to the extent of wall penetration PMID: 18505053
- Reg IV staining can aid in diagnosis of gastrointestinal signet ring cell carcinoma. PMID: 18580680
- These results suggest that Reg IV expression is an independent prognostic indicator of relapse after radical prostatectomy. PMID: 18754868
- Reg IV might accelerate cell growth and disease progression of adenoid cystic carcinomas . PMID: 19076683
- among major urologic cancers, Reg IV is expressed frequently in prostate cancer, and that serum Reg IV represents a novel biomarker for prostate cancer PMID: 19082448
顯示更多
收起更多
-
亞細胞定位:Secreted.
-
組織特異性:Highly expressed in the gastrointestinal tract including the duodenum, jejunum, ileum, ileocecum, appendix, descending colon, pancreas and small intestine. Weakly expressed in normal colon and stomach. Strongly expressed in most colorectal tumors than in
-
數據庫鏈接:
Most popular with customers
-
-
YWHAB Recombinant Monoclonal Antibody
Applications: ELISA, WB, IHC, IF, FC
Species Reactivity: Human, Mouse, Rat
-
Phospho-YAP1 (S127) Recombinant Monoclonal Antibody
Applications: ELISA, WB, IHC
Species Reactivity: Human
-
-
-
-
-















