REV1 Antibody
-
中文名稱:REV1兔多克隆抗體
-
貨號:CSB-PA883372LA01HU
-
規格:¥440
-
圖片:
-
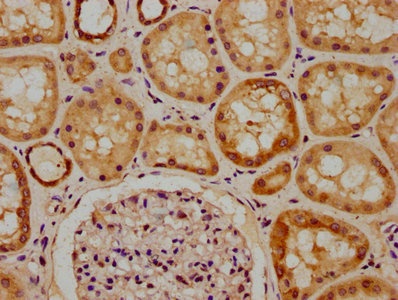
IHC image of CSB-PA883372LA01HU diluted at 1:300 and staining in paraffin-embedded human kidney tissue performed on a Leica BondTM system. After dewaxing and hydration, antigen retrieval was mediated by high pressure in a citrate buffer (pH 6.0). Section was blocked with 10% normal goat serum 30min at RT. Then primary antibody (1% BSA) was incubated at 4°C overnight. The primary is detected by a biotinylated secondary antibody and visualized using an HRP conjugated SP system.
-
IHC image of CSB-PA883372LA01HU diluted at 1:300 and staining in paraffin-embedded human lung cancer performed on a Leica BondTM system. After dewaxing and hydration, antigen retrieval was mediated by high pressure in a citrate buffer (pH 6.0). Section was blocked with 10% normal goat serum 30min at RT. Then primary antibody (1% BSA) was incubated at 4°C overnight. The primary is detected by a biotinylated secondary antibody and visualized using an HRP conjugated SP system.
-
-
其他:
產品詳情
-
產品名稱:Rabbit anti-Homo sapiens (Human) REV1 Polyclonal antibody
-
Uniprot No.:
-
基因名:REV1
-
別名:AIBP 80 antibody; AIBP80 antibody; Alpha integrin binding protein 80 antibody; Alpha integrin-binding protein 80 antibody; DNA repair protein REV 1 antibody; DNA repair protein REV1 antibody; FLJ21523 antibody; MGC163283 antibody; MGC26225 antibody; REV 1 (yeast homolog) like antibody; REV 1 antibody; REV 1 homolog antibody; REV 1 like antibody; REV 1 protein antibody; REV 1L antibody; REV1 (yeast homolog) like antibody; REV1 antibody; REV1 homolog (S. cerevisiae) antibody; REV1 homolog antibody; REV1 like (yeast) antibody; REV1 like antibody; Rev1 like terminal deoxycytidyl transferase antibody; REV1 protein antibody; Rev1-like terminal deoxycytidyl transferase antibody; REV1_HUMAN antibody; REV1L antibody
-
宿主:Rabbit
-
反應種屬:Human
-
免疫原:Recombinant Human DNA repair protein REV1 protein (1035-1160AA)
-
免疫原種屬:Homo sapiens (Human)
-
標記方式:Non-conjugated
本頁面中的產品,REV1 Antibody (CSB-PA883372LA01HU),的標記方式是Non-conjugated。對于REV1 Antibody,我們還提供其他標記。見下表:
-
克隆類型:Polyclonal
-
抗體亞型:IgG
-
純化方式:>95%, Protein G purified
-
濃度:It differs from different batches. Please contact us to confirm it.
-
保存緩沖液:Preservative: 0.03% Proclin 300
Constituents: 50% Glycerol, 0.01M PBS, pH 7.4 -
產品提供形式:Liquid
-
應用范圍:ELISA, IHC
-
推薦稀釋比:
Application Recommended Dilution IHC 1:200-1:500 -
Protocols:
-
儲存條件:Upon receipt, store at -20°C or -80°C. Avoid repeated freeze.
-
貨期:Basically, we can dispatch the products out in 1-3 working days after receiving your orders. Delivery time maybe differs from different purchasing way or location, please kindly consult your local distributors for specific delivery time.
-
用途:For Research Use Only. Not for use in diagnostic or therapeutic procedures.
相關產品
靶點詳情
-
功能:Deoxycytidyl transferase involved in DNA repair. Transfers a dCMP residue from dCTP to the 3'-end of a DNA primer in a template-dependent reaction. May assist in the first step in the bypass of abasic lesions by the insertion of a nucleotide opposite the lesion. Required for normal induction of mutations by physical and chemical agents.
-
基因功能參考文獻:
- These data indicate that dysregulation of cellular Rev1 levels leads to the accumulation of mutations and suppression of cell death, which accelerates the tumorigenic activities of DNA-damaging agents. PMID: 28498946
- The data directly show that, in the human genome, DNA Pol-eta and Rev1 bypass cyclobutane pyrimidine dimers and 6-4PP at replication forks, while only 6-4PP are also tolerated by a Rev3L-dependent gap-filling mechanism, independent of S phase. PMID: 27095204
- the catalytic function of REV1 is moderately or slightly altered by at least nine genetic variations, and the G4 DNA processing function of REV1 is slightly enhanced by the N373S variation, which might provide the possibility that certain germline missense REV1 variations affect the individual susceptibility to carcinogenesis by modifying the capability of REV1 for replicative bypass past DNA lesions and G4 motifs derived PMID: 26914252
- REV1 can promote PCNA monoubiquitylation after UV radiation through interacting with ubiquitylated RAD18. PMID: 26795561
- Saccharomyces cerevisiae PMID: 26903512
- Rev1 is indispensable for Translesion synthesis mediated by Poleta, Poliota, and Polkappa but is not required for TLS by Polzeta. PMID: 26680302
- Data suggest Rev1 protein recognition mechanism by Fanconi anemia-associated protein 20 (FAAP20). PMID: 26318859
- show that REV1 is a novel binding partner of the tumor suppressor p53 and regulates its activity PMID: 25614517
- Our results suggest for the first time that REV1 and REV3L SNPs might serve as potential predictive markers of outcome of cisplatin-based chemotherapy PMID: 24956248
- Structural studies suggest the possible involvement of XRCC1 and its associated repair factors, REV1 in post replication repair. PMID: 24409475
- The results show that human Rev1 disrupts G4 DNA structures and prevents refolding in vitro. PMID: 24366879
- the first structural insights into the regulation of human Rev1 for TLS polymerases. PMID: 23220741
- Rev1 but not Poleta depletion is epistatic to the lack of PCNA ubiquitination. PMID: 23761444
- a structural basis for understanding the recognition of the Rev1-CT by Y-family DNA polymerases PMID: 22691049
- Findings indicate that miR-96 regulates DNA repair and chemosensitivity by repressing RAD51 and REV1. PMID: 22761336
- Results suggest that abasic sites might be bypassed by single B- and Y-family pols or combinations, possibly by REV1 and pols iota, eta, and delta/PCNA at the insertion step opposite the lesion and by pols eta and delta/PCNA at the subsequent extension step. PMID: 20888339
- REV7 subunit of pol zeta mediated the interaction between REV3 and the REV1 C terminus. PMID: 22303021
- FAAP20 binding stabilizes Rev1 nuclear foci and promotes interaction of the Fanconi anemia core with PCNA-Rev1 DNA damage bypass complexes. PMID: 22266823
- Hsp90 promotes folding of REV1 into a stable and/or functional form(s) to bind to monoubiquitinated proliferating cell nuclear antigen in the regulation of translesion DNA synthesis-mediated mutagenesis PMID: 21690293
- WRN facilitates REV1-dependent translesion synthesis. PMID: 20691646
- the interaction between REV7 and REV3 creates a structural interface for REV1 binding PMID: 20164194
- REV1 and Polzeta facilitate repair of interstrand cross-links independently of PCNA monoubiquitination and Poleta, whereas RAD18 plus Poleta, REV1, and Polzeta are all necessary for replicative bypass of cisplatin intrastrand DNA cross-links. PMID: 20028736
- The results suggest that the positive charge on R357 could prevent interaction of REV1 with dGTP. PMID: 20059978
- UV-induced mutant frequencies at the HPRT locus were reduced up to 75% in cells with reduced levels of REV1 mRNA and data support that targeting the mutagenic translesion DNA replication pathway can greatly reduce the frequency of induced mutations. PMID: 12930947
- REV1 interacts with three Y-family DNA polymerases. PMID: 15189446
- REV1 interacts with pol eta in translesion synthesis of damaged DNA PMID: 15380106
- REV1-dependent processes are important determinants of cisplatin-induced genomic instability and the development of resistance. PMID: 16495473
- a novel biochemical activity of human REV1 protein, due to higher affinity for single-stranded DNA (ssDNA) than the primer terminus PMID: 16803901
- Rev1 is a polypeptide associated with Poleta. The study results suggest that arrested replication forks strengthen interactions among Poleta, Rad18/Rad6 and Rev1, consistent with the requirement for effective TLS by Poleta at sites of DNA lesions. PMID: 16824193
- Results support Phe257Ser and Ser257Ser genotypes are associated with a decreased risk for cervical carcinoma, while Asn373Ser and Ser373Ser genotypes increased the risk. PMID: 18470628
- Data show that PCNA ubiquitination and REV1 play distinct roles in the coordination of DNA damage bypass that are temporally separated relative to replication fork arrest. PMID: 18498753
- human REV1, apparently the slowest Y family polymerase, is kinetically highly tolerant to N(2)-adduct at G but not to O(6)-adducts. PMID: 18591245
- plays a role in mutagenesis and translesin DNA synthesis. (review) PMID: 18975621
- Poleta-REV1 interactions prevent spontaneous mutations, probably by promoting accurate translesion DNA synthesis past endogenous DNA lesions PMID: 19157994
- Novel structural features are important for providing Rev1 greater latitude in promoting efficient and error-free translesion DNA synthesis through the diverse array of bulky and potentially carcinogenic N(2)-deoxyguanosine DNA adducts in human cells. PMID: 19464298
顯示更多
收起更多
-
亞細胞定位:Nucleus.
-
蛋白家族:DNA polymerase type-Y family
-
組織特異性:Ubiquitous.
-
數據庫鏈接:
Most popular with customers
-
-
YWHAB Recombinant Monoclonal Antibody
Applications: ELISA, WB, IHC, IF, FC
Species Reactivity: Human, Mouse, Rat
-
Phospho-YAP1 (S127) Recombinant Monoclonal Antibody
Applications: ELISA, WB, IHC
Species Reactivity: Human
-
-
-
-
-















