RFPL2 Antibody
-
中文名稱:RFPL2兔多克隆抗體
-
貨號:CSB-PA019599ESR2HU
-
規格:¥440
-
圖片:
-
Western blot
All lanes: RFPL2 antibody at 3.41µg/ml + MCF-7 whole cell lysate
Secondary
Goat polyclonal to rabbit IgG at 1/10000 dilution
Predicted band size: 43, 33, 36 kDa
Observed band size: 43 kDa -
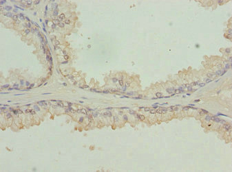
Immunohistochemistry of paraffin-embedded human brain tissue using CSB-PA019599ESR2HU at dilution of 1:100
-
Immunohistochemistry of paraffin-embedded human prostate cancer using CSB-PA019599ESR2HU at dilution of 1:100
-
-
其他:
產品詳情
-
產品名稱:Rabbit anti-Homo sapiens (Human) RFPL2 Polyclonal antibody
-
Uniprot No.:
-
基因名:RFPL2
-
別名:Ret finger protein like 2 antibody; Ret finger protein-like 2 antibody; RFPL 2 antibody; RFPL2 antibody; RFPL2_HUMAN antibody; RING finger protein 79 antibody; RNF79 antibody
-
宿主:Rabbit
-
反應種屬:Human
-
免疫原:Recombinant Human Ret finger protein-like 2 protein (99-378AA)
-
免疫原種屬:Homo sapiens (Human)
-
標記方式:Non-conjugated
-
克隆類型:Polyclonal
-
抗體亞型:IgG
-
純化方式:Antigen Affinity Purified
-
濃度:It differs from different batches. Please contact us to confirm it.
-
保存緩沖液:PBS with 0.02% sodium azide, 50% glycerol, pH7.3.
-
產品提供形式:Liquid
-
應用范圍:ELISA, WB, IHC
-
推薦稀釋比:
Application Recommended Dilution WB 1:1000-1:5000 IHC 1:20-1:200 -
Protocols:
-
儲存條件:Upon receipt, store at -20°C or -80°C. Avoid repeated freeze.
-
貨期:Basically, we can dispatch the products out in 1-3 working days after receiving your orders. Delivery time maybe differs from different purchasing way or location, please kindly consult your local distributors for specific delivery time.
-
用途:For Research Use Only. Not for use in diagnostic or therapeutic procedures.
相關產品
Most popular with customers
-
-
YWHAB Recombinant Monoclonal Antibody
Applications: ELISA, WB, IHC, IF, FC
Species Reactivity: Human, Mouse, Rat
-
Phospho-YAP1 (S127) Recombinant Monoclonal Antibody
Applications: ELISA, WB, IHC
Species Reactivity: Human
-
-
-
-
-















