RNF103 Antibody
-
中文名稱:RNF103兔多克隆抗體
-
貨號:CSB-PA019815LA01HU
-
規格:¥440
-
圖片:
-
Immunofluorescent analysis of MCF-7 cells using CSB-PA019815LA01HU at dilution of 1:100 and Alexa Fluor 488-congugated AffiniPure Goat Anti-Rabbit IgG(H+L)
-
Immunohistochemistry of paraffin-embedded human endometrial tissue using CSB-PA019815LA01HU at dilution of 1:100
-
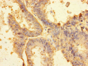
Immunohistochemistry of paraffin-embedded human breast cancer using CSB-PA019815LA01HU at dilution of 1:100
-
-
其他:
產品詳情
-
產品名稱:Rabbit anti-Homo sapiens (Human) RNF103 Polyclonal antibody
-
Uniprot No.:
-
基因名:RNF103
-
別名:RNF103; ZFP103; E3 ubiquitin-protein ligase RNF103; KF-1; hKF-1; RING finger protein 103; RING-type E3 ubiquitin transferase RNF103; Zinc finger protein 103 homolog; Zfp-103
-
宿主:Rabbit
-
反應種屬:Human
-
免疫原:Recombinant Human E3 ubiquitin-protein ligase RNF103 protein (432-685AA)
-
免疫原種屬:Homo sapiens (Human)
-
標記方式:Non-conjugated
本頁面中的產品,RNF103 Antibody (CSB-PA019815LA01HU),的標記方式是Non-conjugated。對于RNF103 Antibody,我們還提供其他標記。見下表:
-
克隆類型:Polyclonal
-
抗體亞型:IgG
-
純化方式:>95%, Protein G purified
-
濃度:It differs from different batches. Please contact us to confirm it.
-
保存緩沖液:Preservative: 0.03% Proclin 300
Constituents: 50% Glycerol, 0.01M PBS, PH 7.4 -
產品提供形式:Liquid
-
應用范圍:ELISA, IHC, IF
-
推薦稀釋比:
Application Recommended Dilution IHC 1:20-1:200 IF 1:50-1:200 -
Protocols:
-
儲存條件:Upon receipt, store at -20°C or -80°C. Avoid repeated freeze.
-
貨期:Basically, we can dispatch the products out in 1-3 working days after receiving your orders. Delivery time maybe differs from different purchasing way or location, please kindly consult your local distributors for specific delivery time.
-
用途:For Research Use Only. Not for use in diagnostic or therapeutic procedures.
相關產品
靶點詳情
-
功能:Acts as an E2-dependent E3 ubiquitin-protein ligase, probably involved in the ER-associated protein degradation pathway.
-
基因功能參考文獻:
- Analysis reveals that the main determinants of selectivity between ubiquitin ligases RNF103 and E2 ubiquitin-conjugating enzymes resides on ring domains, rather than on the E2s. PMID: 18615712
- Kf-1 is an ER ubiquitin ligase involved in the endoplasmic reticulum-associated degradation pathway. PMID: 18675248
-
亞細胞定位:Endoplasmic reticulum membrane; Multi-pass membrane protein.
-
組織特異性:Highly expressed in the normal cerebellum but not in the cerebral cortex.
-
數據庫鏈接:
Most popular with customers
-
-
Phospho-YAP1 (S127) Recombinant Monoclonal Antibody
Applications: ELISA, WB, IHC
Species Reactivity: Human
-
-
-
-
-
-















