RSPH9 Antibody
-
中文名稱:RSPH9兔多克隆抗體
-
貨號:CSB-PA867129LA01HU
-
規格:¥440
-
圖片:
-
Western Blot
Positive WB detected in: Mouse liver tissue, Mouse skeletal muscle tissue
All lanes: RSPH9 antibody at 3μg/ml
Secondary
Goat polyclonal to rabbit IgG at 1/50000 dilution
Predicted band size: 32, 35 kDa
Observed band size: 32 kDa -
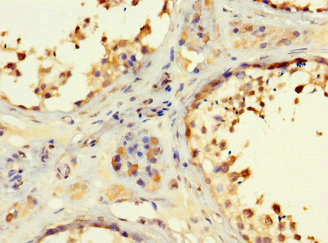
Immunohistochemistry of paraffin-embedded human testis tissue using CSB-PA867129LA01HU at dilution of 1:100
-
Immunohistochemistry of paraffin-embedded human melanoma using CSB-PA867129LA01HU at dilution of 1:100
-
Western Blot
Positive WB detected in: MCF-7 whole cell lysate
All lanes: RSPH9 antibody at 1:2000
Secondary
Goat polyclonal to rabbit IgG at 1/50000 dilution
Predicted band size: 32, 35 kDa
Observed band size: 32 kDa
-
-
其他:
產品詳情
-
產品名稱:Rabbit anti-Homo sapiens (Human) RSPH9 Polyclonal antibody
-
Uniprot No.:
-
基因名:RSPH9
-
別名:C6orf206 antibody; Chromosome 6 open reading frame 206 antibody; CILD12 antibody; FLJ30845 antibody; Mitochondrial ribosomal protein S18A like 1 antibody; MRPS18AL1 antibody; Radial spoke head 9 homolog antibody; Radial spoke head protein 9 homolog antibody; RSPH 9 antibody; rsph9 antibody; RSPH9_HUMAN antibody; Uncharacterized protein C6orf206 antibody
-
宿主:Rabbit
-
反應種屬:Human, Mouse
-
免疫原:Recombinant Human Radial spoke head protein 9 homolog protein (62-171AA)
-
免疫原種屬:Homo sapiens (Human)
-
標記方式:Non-conjugated
本頁面中的產品,RSPH9 Antibody (CSB-PA867129LA01HU),的標記方式是Non-conjugated。對于RSPH9 Antibody,我們還提供其他標記。見下表:
-
克隆類型:Polyclonal
-
抗體亞型:IgG
-
純化方式:>95%, Protein G purified
-
濃度:It differs from different batches. Please contact us to confirm it.
-
保存緩沖液:Preservative: 0.03% Proclin 300
Constituents: 50% Glycerol, 0.01M PBS, PH 7.4 -
產品提供形式:Liquid
-
應用范圍:ELISA, WB, IHC
-
推薦稀釋比:
Application Recommended Dilution WB 1:2000-1:5000 IHC 1:20-1:200 -
Protocols:
-
儲存條件:Upon receipt, store at -20°C or -80°C. Avoid repeated freeze.
-
貨期:Basically, we can dispatch the products out in 1-3 working days after receiving your orders. Delivery time maybe differs from different purchasing way or location, please kindly consult your local distributors for specific delivery time.
-
用途:For Research Use Only. Not for use in diagnostic or therapeutic procedures.
相關產品
靶點詳情
-
功能:Component of the axonemal radial spoke head which plays an important role in ciliary motility. Essential for both the radial spoke head assembly and the central pair microtubule stability in ependymal motile cilia. Required for motility of olfactory and neural cilia and for the structural integrity of ciliary axonemes in both 9+0 and 9+2 motile cilia.
-
基因功能參考文獻:
- Mutations in RSPH9 leads to ultrastructural cilia defects and ciliary dyskinesia. PMID: 22448264
- Study focused on an extended 5 generation Bedouin family, analysed mutation segregation, and calculated the age of the mutated allele in 2 families based on haplotypes and haplotype+microsatellite in an attempt to define the source of the mutation. PMID: 20070851
-
相關疾病:Ciliary dyskinesia, primary, 12 (CILD12)
-
亞細胞定位:Cytoplasm, cytoskeleton, cilium axoneme. Cell projection, cilium, flagellum. Cell projection, kinocilium.
-
蛋白家族:Flagellar radial spoke RSP9 family
-
數據庫鏈接:
Most popular with customers
-
-
YWHAB Recombinant Monoclonal Antibody
Applications: ELISA, WB, IHC, IF, FC
Species Reactivity: Human, Mouse, Rat
-
Phospho-YAP1 (S127) Recombinant Monoclonal Antibody
Applications: ELISA, WB, IHC
Species Reactivity: Human
-
-
-
-
-















