RTEL1 Antibody
-
中文名稱:RTEL1兔多克隆抗體
-
貨號:CSB-PA020563LA01HU
-
規格:¥440
-
圖片:
-
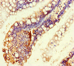
Immunohistochemistry of paraffin-embedded human small intestine tissue using CSB-PA020563LA01HU at dilution of 1:100
-
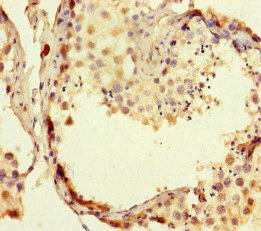
Immunohistochemistry of paraffin-embedded human testis tissue using CSB-PA020563LA01HU at dilution of 1:100
-
Immunofluorescent analysis of HepG2 cells using CSB-PA020563LA01HU at dilution of 1:100 and Alexa Fluor 488-congugated AffiniPure Goat Anti-Rabbit IgG(H+L)
-
-
其他:
產品詳情
-
產品名稱:Rabbit anti-Homo sapiens (Human) RTEL1 Polyclonal antibody
-
Uniprot No.:
-
基因名:RTEL1
-
別名:RTEL1 antibody; C20orf41 antibody; KIAA1088 antibody; NHLRegulator of telomere elongation helicase 1 antibody; EC 3.6.4.12 antibody; Novel helicase-like antibody
-
宿主:Rabbit
-
反應種屬:Human
-
免疫原:Recombinant Human Regulator of telomere elongation helicase 1 protein (975-1219AA)
-
免疫原種屬:Homo sapiens (Human)
-
標記方式:Non-conjugated
本頁面中的產品,RTEL1 Antibody (CSB-PA020563LA01HU),的標記方式是Non-conjugated。對于RTEL1 Antibody,我們還提供其他標記。見下表:
-
克隆類型:Polyclonal
-
抗體亞型:IgG
-
純化方式:>95%, Protein G purified
-
濃度:It differs from different batches. Please contact us to confirm it.
-
保存緩沖液:Preservative: 0.03% Proclin 300
Constituents: 50% Glycerol, 0.01M PBS, PH 7.4 -
產品提供形式:Liquid
-
應用范圍:ELISA, IHC, IF
-
推薦稀釋比:
Application Recommended Dilution IHC 1:20-1:200 IF 1:50-1:200 -
Protocols:
-
儲存條件:Upon receipt, store at -20°C or -80°C. Avoid repeated freeze.
-
貨期:Basically, we can dispatch the products out in 1-3 working days after receiving your orders. Delivery time maybe differs from different purchasing way or location, please kindly consult your local distributors for specific delivery time.
-
用途:For Research Use Only. Not for use in diagnostic or therapeutic procedures.
相關產品
靶點詳情
-
功能:ATP-dependent DNA helicase implicated in telomere-length regulation, DNA repair and the maintenance of genomic stability. Acts as an anti-recombinase to counteract toxic recombination and limit crossover during meiosis. Regulates meiotic recombination and crossover homeostasis by physically dissociating strand invasion events and thereby promotes noncrossover repair by meiotic synthesis dependent strand annealing (SDSA) as well as disassembly of D loop recombination intermediates. Also disassembles T loops and prevents telomere fragility by counteracting telomeric G4-DNA structures, which together ensure the dynamics and stability of the telomere.
-
基因功能參考文獻:
- Observation are firstly, heterozygous LOF RTEL1 variants are associated with myelodysplasia and liver disease in adulthood. Secondly, biallelic RTEL1 variants can present with just bone marrow failure in adulthood. Thirdly, many heterozygous variants, and even some biallelic RTEL1 variants, are bystanders. PMID: 28495916
- a novel association signal in the RTEL1 gene (intronic single nucleotide poly morphism (SNP) rs2297439; P=2.82x10(-7)) that is independent of previously reported Telomere-associated SNPs in this region. PMID: 29151059
- Findings suggest a potential association between regulator of telomere elongation helicase 1 (RTEL1) polymorphisms and lung cancer (LC) risk in a Chinese Han population. PMID: 27765928
- Pulmonary fibrosis patients with mutations in telomerase reverse transcriptase, telomerase RNA component, regulator of telomere elongation helicase 1 and poly(A)-specific ribonuclease were identified and clinical data were analysed. Genetic mutations in telomere related genes lead to a variety of interstitial lung disease diagnoses that are universally progressive. PMID: 27540018
- promoter methylated in 51.4% of lung cancer patients and in 8.8% of healthy individuals PMID: 27485611
- The allele "G" of rs6089953 and rs6010621 and the allele "A" of rs2297441 were associated with decreased risk of High altitude pulmonary edema, haplotype "GG, GT, AT" of rs6089953-rs6010621 were detected significantly associated with High altitude pulmonary edema risk in the Chinese population. PMID: 28953687
- SNPs in the RTEL1 are associated with COPD in a Chinese Han population. It is possible that these variants are COPD risk factors. PMID: 28360516
- This meta-analysis demonstrates that the RTEL1 rs2297440 polymorphism plays a moderate, but significant role in the risk of glioma. PMID: 26939676
- Genetic risk variants in the RTEL1 gene is associated with somatic biomarkers in glioma. PMID: 26839018
- Deletion in the RTEL1 gene is associated with metastatic glioblastoma. PMID: 26803811
- Telomere length is associated with Esophageal squamous cell carcinoma risk in a U-shaped pattern and demonstrates that TL-SNPs may not be important in carcinogenesis in Chinese population. PMID: 26581417
- Heterozygous RTEL1 mutations are responsible for familial pulmonary fibrosis (FPF) and, thereby, extend the clinical spectrum of RTEL1 deficiency. Thus, RTEL1 enlarges the number of telomere-associated genes implicated in FPF. PMID: 26022962
- results suggest a significant association between the RETL1, TREH, and PHLDB1 genes and GBM development in the Han Chinese population PMID: 26156397
- A homozygous mutation of RTEL1 in a child presenting with an apparently isolated natural killer cell deficiency. PMID: 26025130
- RTEL1 single nucleotide polymorphisms are associated with decreased susceptibility to pediatric brain astrocytoma. PMID: 26014354
- Association between the RTEL1 rs6010620 polymorphism and glioma risk was significant. [Meta-Analysis] PMID: 25556444
- PARN and RTEL1 mutation carriers had shortened leukocyte telomere lengths. PMID: 25848748
- This work unravels completely unanticipated roles for RTEL1 in RNP trafficking and strongly suggests that defects in RNP biogenesis pathways contribute to the pathology of Hoyeraal-Hreidarsson syndrome PMID: 25628358
- rs6010620 polymorphism in the RTEL1 gene is associated with increased risk of glioma in both Caucasians and Asians. [Meta-Analysis] PMID: 25227808
- Rare loss-of-function variants in RTEL1 represent a newly defined genetic predisposition for FIP, supporting the importance of telomere-related pathways in pulmonary fibrosis. PMID: 25607374
- The shelterin protein TRF2 recruits RTEL1 to telomeres in S phase, which is required to prevent catastrophic t-loop processing by structure-specific nucleases. PMID: 25620558
- Authors propose that RTEL1 serves as a human analog of Srs2 to inhibit (CTGCAG) repeat expansions and fragility, likely by unwinding problematic hairpins. PMID: 24561255
- The C-terminal extension of RTEL1, downstream of its catalytic domain and including several HHS-associated mutations, contains a yet unidentified tandem of harmonin-N-like domains. PMID: 24130156
- suggested that RTEL1 rs6010620 polymorphism is likely to be associated with increased glioma risk, which lends further biological plausibility to these findings PMID: 24523019
- The molecular data and the patterns of inheritance are consistent with a hypomorphic mutation in RTEL1 as the underlying basis of the clinical and cellular phenotypes. PMID: 24009516
- Results indicate the potential roles of regulator of telomere elongation helicase 1 (RTEL1) and telomerase reverse transcriptase (TERT) in astrocytoma development. PMID: 23812731
- results identify RTEL1 as a novel Hoyeraal-Hreidarsson syndrome-causing gene and highlight its role as a genomic caretaker in humans. PMID: 23591994
- Data show that RTEL1 interacts with the shelterin protein TRF1, indicating a potential recruitment mechanism of RTEL1 to telomeres. PMID: 23959892
- Two significant Ten candidate tagging SNPs in RTEL1 gene were observed to be associated with glioma risk PMID: 23683922
- These biallelic RTEL1 mutations are responsible for a major subgroup ( approximately 29%) of HHS. PMID: 23453664
- The nonsense mutations both cause truncation of the RTEL1 protein, resulting in loss of the PIP box; this may abrogate an important protein-protein interaction. These findings implicate a new telomere biology gene, RTEL1, in the etiology of DC. PMID: 23329068
- rs6010620 (RTEL1) was associated with an increased risk of glioma when restricting to cases with family history of brain tumours. PMID: 23115063
- rs6010620 a genetic variant of RTEL1, was one of 3 genetic variants implicated in a pool of US epidemiologic studies of glioma risk PMID: 21920947
- SUSCEPTIBILITY LOCI FOR GLIOMA AND GLIOBLASTOMA RISK IN A CHINESE POPULATION INCLUDED RTEL1 PMID: 21350045
- Polymorphisms in the LIG4, BTBD2, HMGA2, and RTEL1 genes, which are involved in the double-strand break repair pathway, are associated with glioblastoma multiforme survival. PMID: 20368557
- Study finds that rtel-1 mutant worms and RTEL1-depleted human cells share characteristic phenotypes with yeast srs2 mutants: lethality upon deletion of the sgs1/BLM homolog, hyperrecombination, and DNA damage sensitivity.[RTEL1] PMID: 18957201
- On 9p21, rs1412829 near CDKN2B had discovery P = 3.4 x 10(-8), replication P = 0.0038 and combined P = 1.85 x 10(-10). On 20q13.3, rs6010620 intronic to RTEL1 had discovery P = 1.5 x 10(-7), replication P = 0.00035 and combined P = 3.40 x 10(-9). PMID: 19578366
- Observational study, meta-analysis, and genome-wide association study of gene-disease association. (HuGE Navigator) PMID: 19578367
顯示更多
收起更多
-
相關疾病:Dyskeratosis congenita, autosomal recessive, 5 (DKCB5); Dyskeratosis congenita, autosomal dominant, 4 (DKCA4); Pulmonary fibrosis, and/or bone marrow failure, telomere-related, 3 (PFBMFT3)
-
亞細胞定位:Nucleus.
-
蛋白家族:Helicase family, RAD3/XPD subfamily
-
數據庫鏈接:
Most popular with customers
-
-
YWHAB Recombinant Monoclonal Antibody
Applications: ELISA, WB, IHC, IF, FC
Species Reactivity: Human, Mouse, Rat
-
Phospho-YAP1 (S127) Recombinant Monoclonal Antibody
Applications: ELISA, WB, IHC
Species Reactivity: Human
-
-
-
-
-















