RXFP3 Antibody
-
中文名稱:RXFP3兔多克隆抗體
-
貨號:CSB-PA873646DSR1HU
-
規格:¥440
-
圖片:
-
Western blot
All lanes: RXFP3 antibody at 3.68µg/ml
Lane 1: Jurkat whole cell lysate
Lane 2: HepG2 whole cell lysate
Secondary
Goat polyclonal to rabbit IgG at 1/10000 dilution
Predicted band size: 51 kDa
Observed band size: 51 kDa -
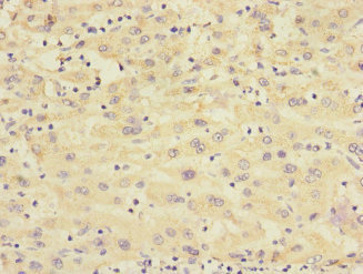
Immunohistochemistry of paraffin-embedded human liver cancer using CSB-PA873646DSR1HU at dilution of 1:100
-
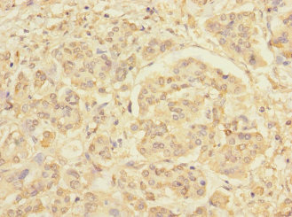
Immunohistochemistry of paraffin-embedded human pancreatic cancer using CSB-PA873646DSR1HU at dilution of 1:100
-
-
其他:
產品詳情
-
產品名稱:Rabbit anti-Homo sapiens (Human) RXFP3 Polyclonal antibody
-
Uniprot No.:
-
基因名:
-
別名:RXFP3; GPCR135; RLN3R1; SALPR; Relaxin-3 receptor 1; RLN3 receptor 1; G protein-coupled receptor SALPR; G-protein coupled receptor GPCR135; Relaxin family peptide receptor 3; Somatostatin- and angiotensin-like peptide receptor
-
宿主:Rabbit
-
反應種屬:Human
-
免疫原:Recombinant Human Relaxin-3 receptor 1 protein (1-80AA)
-
免疫原種屬:Homo sapiens (Human)
-
標記方式:Non-conjugated
-
克隆類型:Polyclonal
-
抗體亞型:IgG
-
純化方式:Antigen Affinity Purified
-
濃度:It differs from different batches. Please contact us to confirm it.
-
保存緩沖液:PBS with 0.02% sodium azide, 50% glycerol, pH7.3.
-
產品提供形式:Liquid
-
應用范圍:ELISA, WB, IHC
-
推薦稀釋比:
Application Recommended Dilution WB 1:1000-1:5000 IHC 1:20-1:200 -
Protocols:
-
儲存條件:Upon receipt, store at -20°C or -80°C. Avoid repeated freeze.
-
貨期:Basically, we can dispatch the products out in 1-3 working days after receiving your orders. Delivery time maybe differs from different purchasing way or location, please kindly consult your local distributors for specific delivery time.
-
用途:For Research Use Only. Not for use in diagnostic or therapeutic procedures.
相關產品
靶點詳情
-
功能:Receptor for RNL3/relaxin-3. Binding of the ligand inhibit cAMP accumulation.
-
基因功能參考文獻:
- This study indicated that RXFP3 mainly localised in the post-acrosomal region of sperm head and neck. PMID: 29159832
- The role of these four INSL5 determinants in distinguishing RXFP4 from RXFP3. PMID: 27404393
- Therefore, we conclude that stapling of the relaxin3 B chain does not compromise its ability to activate RXFP3 and is a promising method for developing stable peptide agonists and antagonists of RXFP3 to aid relaxin-3/RXFP3 research. PMID: 27498038
- the negatively charged transmembrane aspartate residue controls activation of the relaxin-3 receptor RXFP3 PMID: 27353281
- we demonstrated distinct patterns of signalling for H3 and H2 relaxin and R3(BDelta23-27)R/I5 at the RXFP3 receptor PMID: 24641548
- Glu141 and Asp145 of the RXFP3 interact with the highly conserved arginine residues of relaxin-3. PMID: 24615237
- demonstrate the existence of an allosteric site for modulation of RXFP3 PMID: 22347403
- H3 relaxin potently activates all signaling pathways coupled to RXFP3, whereas H2 relaxin is an AP-1-biased ligand relative to H3 relaxin. PMID: 20159943
- GPCR135 (SALPR) is the receptor for relaxin-3 PMID: 14522968
- Substitution of the relaxin-3 A-chain with the A-chain from insulin-like peptide 5 results in a chimeric peptide that selectively activates GPCR135 and GPCR142. PMID: 15465925
- functional response to H3 relaxin and other relaxin/insulin peptides of GPCR135 expressed in CHO-K1 cells was measured in the cytosensor microphysiometer and analyzed using inhibitors of signal transduction proteins PMID: 15956730
- analysis of truncated human relaxin-2 and -3 (H2 and H3) relaxin peptides and their binding and cAMP activities on RXFP1, RXFP2, and RXFP3 PMID: 18434306
- the N-terminus and EL2 domains of RXFP3 and RXFP4 are involved in ligand binding while TM2, 3, and 5 are critical for receptor activation. PMID: 18582868
- Results decribe the structural and functional aspects of the interaction between relaxin-3 and its receptor, RXFP3. PMID: 19152634
顯示更多
收起更多
-
亞細胞定位:Cell membrane; Multi-pass membrane protein.
-
蛋白家族:G-protein coupled receptor 1 family
-
組織特異性:Expressed predominantly in brain regions. Highest expression in substantia nigra and pituitary, followed by hippocampus, spinal cord, amygdala, caudate nucleus and corpus callosum, quite low level in cerebellum. In peripheral tissues, relatively high leve
-
數據庫鏈接:
Most popular with customers
-
-
YWHAB Recombinant Monoclonal Antibody
Applications: ELISA, WB, IHC, IF, FC
Species Reactivity: Human, Mouse, Rat
-
Phospho-YAP1 (S127) Recombinant Monoclonal Antibody
Applications: ELISA, WB, IHC
Species Reactivity: Human
-
-
-
-
-















