SCLY Antibody
-
中文名稱:SCLY兔多克隆抗體
-
貨號:CSB-PA020827LA01HU
-
規格:¥440
-
圖片:
-
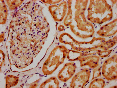
IHC image of CSB-PA020827LA01HU diluted at 1:700 and staining in paraffin-embedded human kidney tissue performed on a Leica BondTM system. After dewaxing and hydration, antigen retrieval was mediated by high pressure in a citrate buffer (pH 6.0). Section was blocked with 10% normal goat serum 30min at RT. Then primary antibody (1% BSA) was incubated at 4°C overnight. The primary is detected by a biotinylated secondary antibody and visualized using an HRP conjugated SP system.
-
-
其他:
產品詳情
-
產品名稱:Rabbit anti-Homo sapiens (Human) SCLY Polyclonal antibody
-
Uniprot No.:
-
基因名:SCLY
-
別名:hSCL antibody; Putative selenocysteine lyase antibody; SCL antibody; scly antibody; SCLY_HUMAN antibody; Selenocysteine lyase antibody
-
宿主:Rabbit
-
反應種屬:Human
-
免疫原:Recombinant Human Selenocysteine lyase protein (3-138AA)
-
免疫原種屬:Homo sapiens (Human)
-
標記方式:Non-conjugated
本頁面中的產品,SCLY Antibody (CSB-PA020827LA01HU),的標記方式是Non-conjugated。對于SCLY Antibody,我們還提供其他標記。見下表:
-
克隆類型:Polyclonal
-
抗體亞型:IgG
-
純化方式:>95%, Protein G purified
-
濃度:It differs from different batches. Please contact us to confirm it.
-
保存緩沖液:Preservative: 0.03% Proclin 300
Constituents: 50% Glycerol, 0.01M PBS, pH 7.4 -
產品提供形式:Liquid
-
應用范圍:ELISA, IHC
-
推薦稀釋比:
Application Recommended Dilution IHC 1:500-1:1000 -
Protocols:
-
儲存條件:Upon receipt, store at -20°C or -80°C. Avoid repeated freeze.
-
貨期:Basically, we can dispatch the products out in 1-3 working days after receiving your orders. Delivery time maybe differs from different purchasing way or location, please kindly consult your local distributors for specific delivery time.
-
用途:For Research Use Only. Not for use in diagnostic or therapeutic procedures.
相關產品
靶點詳情
-
功能:Catalyzes the decomposition of L-selenocysteine to L-alanine and elemental selenium.
-
基因功能參考文獻:
- the X-ray crystal structure of human selenocysteine lyase and the key residue that provides the selenocysteine specificity PMID: 22295093
- A reaction mechanism whereby the Selenocysteine over Cysteine specificity is achieved using a combination of chemical and physico-mechanical control mechanisms. PMID: 22291978
- Results confirm that HCV core protein is associated with specific changes in mRNA expression, including the gene for selenocysteine lyase, which may be involved in the pathophysiology of hepatocellular carcinoma. PMID: 16925092
- PMID:10692412 concerns mostly mouse selenocysteine lyase, however, refers to the sequence of the N-terminal region of putative human protein. PMID: 10692412
-
亞細胞定位:Cytoplasm, cytosol.
-
蛋白家族:Class-V pyridoxal-phosphate-dependent aminotransferase family
-
數據庫鏈接:
Most popular with customers
-
-
Phospho-YAP1 (S127) Recombinant Monoclonal Antibody
Applications: ELISA, WB, IHC
Species Reactivity: Human
-
-
-
-
-
-















