SEC14L4 Antibody
-
中文名稱:SEC14L4兔多克隆抗體
-
貨號:CSB-PA883374LA01HU
-
規格:¥440
-
圖片:
-
其他:
產品詳情
-
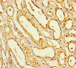
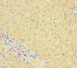
產品名稱:Rabbit anti-Homo sapiens (Human) SEC14L4 Polyclonal antibody
-
Uniprot No.:
-
基因名:SEC14L4
-
別名:AI256582 antibody; AW536553 antibody; dJ130H16 antibody; MGC30313 antibody; RGD1565810 antibody; S14L4_HUMAN antibody; SEC14, S. cerevisiae, homolog of, 4 antibody; SEC14-like 4 (S. cerevisiae) antibody; SEC14-like 4 antibody; SEC14-like protein 4 antibody; Sec14l4 antibody; SEC14p-like protein TAP3 antibody; SPF antibody; TAP antibody; TAP3 antibody; Tocopherol-associated protein 3 antibody
-
宿主:Rabbit
-
反應種屬:Human
-
免疫原:Recombinant Human SEC14-like protein 4 protein (201-360AA)
-
免疫原種屬:Homo sapiens (Human)
-
標記方式:Non-conjugated
本頁面中的產品,SEC14L4 Antibody (CSB-PA883374LA01HU),的標記方式是Non-conjugated。對于SEC14L4 Antibody,我們還提供其他標記。見下表:
-
克隆類型:Polyclonal
-
抗體亞型:IgG
-
純化方式:>95%, Protein G purified
-
濃度:It differs from different batches. Please contact us to confirm it.
-
保存緩沖液:Preservative: 0.03% Proclin 300
Constituents: 50% Glycerol, 0.01M PBS, PH 7.4 -
產品提供形式:Liquid
-
應用范圍:ELISA, IHC
-
推薦稀釋比:
Application Recommended Dilution IHC 1:20-1:200 -
Protocols:
-
儲存條件:Upon receipt, store at -20°C or -80°C. Avoid repeated freeze.
-
貨期:Basically, we can dispatch the products out in 1-3 working days after receiving your orders. Delivery time maybe differs from different purchasing way or location, please kindly consult your local distributors for specific delivery time.
-
用途:For Research Use Only. Not for use in diagnostic or therapeutic procedures.
相關產品
靶點詳情
-
功能:Probable hydrophobic ligand-binding protein; may play a role in the transport of hydrophobic ligands like tocopherol, squalene and phospholipids.
-
基因功能參考文獻:
- Discusses cloning of rat SEC14-like protein 3 and mentions three human SPF-related genes, known as SEC14-like protein 1, 2 and 3. PMID: 15033454
- The isolation of an alternatively spliced hTAP3 cDNA and a polymorphism within the coding region of the hTAP3/SEC14L4 gene, is reported. PMID: 20012369
-
數據庫鏈接:
Most popular with customers
-
YWHAB Recombinant Monoclonal Antibody
Applications: ELISA, WB, IHC, IF, FC
Species Reactivity: Human, Mouse, Rat
-
-
-
-
-
-
-















